相关产品推荐更多 >

(Mouse) Cldn6 Antibody (C-term) 抗体,orb1926717,Biorbyt
¥7293
hCG_2007354 Antibody - N-terminal region : HRP 抗体,orb2110991,Biorbyt
¥8216
CORIN Antibody - C-terminal region : Biotin 抗体,orb2116477,Biorbyt
¥7345
HIF-1 Alpha Antibody (Cy7) 抗体,orb1586078,Biorbyt
¥4796
RABBIT ANTI HUMAN HISTONE H4 抗体,orb1784924,Biorbyt
¥9711
万千商家帮你免费找货
0 人在求购买到急需产品
- 详细信息
- 技术资料
- 抗体名:
PRDM12 rabbit pAb抗体
- 抗体英文名:
PRDM12 rabbit pAb
- 浓度:
1 mg/ml
- 应用范围:
ELISA, IF, WB
- 适应物种:
Human, Mouse
- 保质期:
6-12个月
- 抗原来源:
详询
- 目录编号:
orb766133
- 级别:
科研级
- 库存:
88
- 供应商:
biorbyt
- 标记物:
Unconjugated
- 克隆性:
Polyclonal
- 亚型:
IgG
- 免疫原:
The antiserum was produced against synthesized peptide derived from human PRDM12. AA range:191-240
- 规格:
50 ul
产品描述:Rabbit polyclonal antibody to PRDM12
别名:Anti-PRDM12 antibody, anti-PFM9 antibody, anti-PR domain zinc finger protein 12 antibody, anti-PR domain-containing protein 12 antibody
免疫原:The antiserum was produced against synthesized peptide derived from human PRDM12. AA range:191-240
分子量:40
应用稀释比例:IF/ICC 1:50-300; ELISA 1:2000-20000; IHC-p 1:50-200
防腐剂:PBS with 0.02% sodium azide and 50% glycerol pH 7.4.
纯化:The antibody was affinity-purified from rabbit antiserum by affinity-chromatography using epitope-specific immunogen.
来源:Rabbit
保存说明:Maintain refrigerated at 2-8°C for up to 2 weeks. For long term storage store at -20°C in small aliquots to prevent freeze-thaw cycles.
Note:For research use only.



别名:Anti-PRDM12 antibody, anti-PFM9 antibody, anti-PR domain zinc finger protein 12 antibody, anti-PR domain-containing protein 12 antibody
免疫原:The antiserum was produced against synthesized peptide derived from human PRDM12. AA range:191-240
分子量:40
应用稀释比例:IF/ICC 1:50-300; ELISA 1:2000-20000; IHC-p 1:50-200
防腐剂:PBS with 0.02% sodium azide and 50% glycerol pH 7.4.
纯化:The antibody was affinity-purified from rabbit antiserum by affinity-chromatography using epitope-specific immunogen.
来源:Rabbit
保存说明:Maintain refrigerated at 2-8°C for up to 2 weeks. For long term storage store at -20°C in small aliquots to prevent freeze-thaw cycles.
Note:For research use only.

Western Blot analysis of various cells using PRDM12 Polyclonal Antibody cells nucleus extracted by Minute TM Cytoplasmic and Nuclear Fractionation kit.

Western blot analysis of lysates from HUVEC and A549 cells, using PRDM12 Antibody. The lane on the right is blocked with the synthesized peptide.

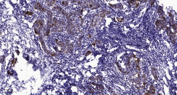
Immunohistochemical analysis of paraffin-embedded human Breast cancer. 1, Antibody was diluted at 1:200 (4°C overnight). 2, Tris-EDTA, pH9.0 was used for antigen retrieval. 3, Secondary antibody was diluted at 1:200 (room temperature, 45min).
风险提示:丁香通仅作为第三方平台,为商家信息发布提供平台空间。用户咨询产品时请注意保护个人信息及财产安全,合理判断,谨慎选购商品,商家和用户对交易行为负责。对于医疗器械类产品,请先查证核实企业经营资质和医疗器械产品注册证情况。
技术资料暂无技术资料 索取技术资料
PRDM12 rabbit pAb抗体,orb766133,biorbyt
¥3250






