相关产品推荐更多 >
万千商家帮你免费找货
0 人在求购买到急需产品
- 详细信息
- 文献和实验
- 技术资料
- 抗体名:
NFκB-p100 rabbit pAb抗体
- 抗体英文名:
NFκB-p100 rabbit pAb
- 浓度:
1 mg/ml
- 应用范围:
ELISA, IF, IHC-P, IP, WB
- 适应物种:
Human, Mouse, Rat
- 保质期:
6-12个月
- 抗原来源:
详询
- 目录编号:
orb765818
- 级别:
科研级
- 库存:
88
- 供应商:
biorbyt
- 标记物:
Unconjugated
- 克隆性:
Polyclonal
- 亚型:
IgG
- 免疫原:
The antiserum was produced against synthesized peptide derived from human NF-kappaB p100/p52. AA range:833-882
- 规格:
50 ul
产品描述:Rabbit polyclonal antibody to NF kappa B-p100
别名:Anti-NFKB2 antibody, anti-LYT10 antibody, anti-Nuclear factor NF-kappa-B p100 subunit antibody, anti-DNA-binding factor KBF2 antibody, anti-H2TF1 antibody, anti-Lymphocyte translocation chromosome 10 protein antibody, anti-Nuclear factor of kappa light polypeptide gene enhancer in B-cells antibody
免疫原:The antiserum was produced against synthesized peptide derived from human NF-kappaB p100/p52. AA range:833-882
分子量:97kD
应用稀释比例:Western Blot: 1/500 - 1/2000. Immunohistochemistry: 1/100 - 1/300. Immunoprecipitation: 2-5 ug/mg lysate. Immunofluorescence: 1/200 - 1/1000. ELISA: 1/20000. Not yet tested in other applications.
防腐剂:PBS with 0.02% sodium azide and 50% glycerol pH 7.4.
纯化:The antibody was affinity-purified from rabbit antiserum by affinity-chromatography using epitope-specific immunogen.
来源:Rabbit
保存说明:Maintain refrigerated at 2-8°C for up to 2 weeks. For long term storage store at -20°C in small aliquots to prevent freeze-thaw cycles.
Note:For research use only.




别名:Anti-NFKB2 antibody, anti-LYT10 antibody, anti-Nuclear factor NF-kappa-B p100 subunit antibody, anti-DNA-binding factor KBF2 antibody, anti-H2TF1 antibody, anti-Lymphocyte translocation chromosome 10 protein antibody, anti-Nuclear factor of kappa light polypeptide gene enhancer in B-cells antibody
免疫原:The antiserum was produced against synthesized peptide derived from human NF-kappaB p100/p52. AA range:833-882
分子量:97kD
应用稀释比例:Western Blot: 1/500 - 1/2000. Immunohistochemistry: 1/100 - 1/300. Immunoprecipitation: 2-5 ug/mg lysate. Immunofluorescence: 1/200 - 1/1000. ELISA: 1/20000. Not yet tested in other applications.
防腐剂:PBS with 0.02% sodium azide and 50% glycerol pH 7.4.
纯化:The antibody was affinity-purified from rabbit antiserum by affinity-chromatography using epitope-specific immunogen.
来源:Rabbit
保存说明:Maintain refrigerated at 2-8°C for up to 2 weeks. For long term storage store at -20°C in small aliquots to prevent freeze-thaw cycles.
Note:For research use only.

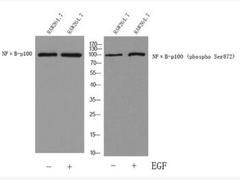
Western blot analysis of lysates from RAW264.7 cells treated with EGF 200ng/ml 30', using NF-kappaB p100 Antibody. Primary Antibody was diluted at 1:1000 4°C over night, secondary antibody (Immunoway was diluted at 1:10000, 37°C 1 hour.

Immunofluorescence analysis of Hela cell. 1, NFκB-p100 Polyclonal Antibody (red) was diluted at 1:200 (4°C overnight). ATG5 mouse Monoclonal Antibody (3C7) (green) was diluted at 1:200 (4°C overnight). 2, Goat Anti Rabbit Alexa Fluor 594 was diluted at 1:1000 (room temperature, 50min). Goat Anti Mouse Alexa Fluor 488 was diluted at 1:1000 (room temperature, 50min).

Western Blot analysis of various cells using NFκB-p100 Polyclonal Antibody diluted at 1:1000.

Western Blot analysis of K562 cells using NFκB-p100 Polyclonal Antibody diluted at 1:1000.
风险提示:丁香通仅作为第三方平台,为商家信息发布提供平台空间。用户咨询产品时请注意保护个人信息及财产安全,合理判断,谨慎选购商品,商家和用户对交易行为负责。对于医疗器械类产品,请先查证核实企业经营资质和医疗器械产品注册证情况。
文献和实验相关实验
涕零! yanranpiaoyun MARK hypercyte 这里有NFκB (p65) Rabbit Polyclonal和NFκB (p65) Mouse Monoclonal的产品链接: http://www.hypercyte.com/product/showproduct.php?id=1316&lang=cn http://www.hypercyte.com/product/showproduct.php?id
技术资料暂无技术资料 索取技术资料
NFκB-p100 rabbit pAb抗体,orb765818,biorbyt
¥3250











