相关产品推荐更多 >
万千商家帮你免费找货
0 人在求购买到急需产品
- 详细信息
- 文献和实验
- 技术资料
- 抗体名:
hnRNP A2/B1 rabbit pAb抗体
- 抗体英文名:
hnRNP A2/B1 rabbit pAb
- 浓度:
1 mg/ml
- 应用范围:
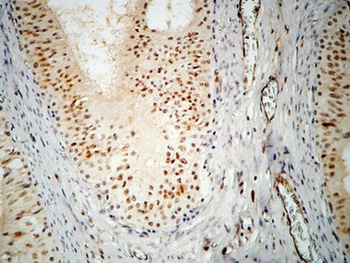
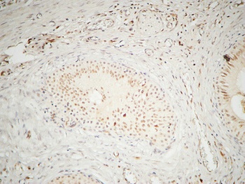
ELISA, IF, IHC-P, WB
- 适应物种:
Human, Mouse
- 保质期:
6-12个月
- 抗原来源:
详询
- 目录编号:
orb765420
- 级别:
科研级
- 库存:
88
- 供应商:
biorbyt
- 标记物:
Unconjugated
- 克隆性:
Polyclonal
- 亚型:
IgG
- 免疫原:
The antiserum was produced against synthesized peptide derived from human hnRNP A2/B1. AA range:1-50
- 规格:
50 ul
别名:Anti-HNRNPA2B1 antibody, anti-HNRPA2B1 antibody, anti-Heterogeneous nuclear ribonucleoproteins A2/B1 antibody, anti-hnRNP A2/B1 antibody
免疫原:The antiserum was produced against synthesized peptide derived from human hnRNP A2/B1. AA range:1-50
分子量:36+38
应用稀释比例:Western Blot: 1/500 - 1/2000. Immunohistochemistry: 1/100 - 1/300. Immunofluorescence: 1/200 - 1/1000. ELISA: 1/20000. Not yet tested in other applications.
防腐剂:PBS with 0.02% sodium azide and 50% glycerol pH 7.4.
纯化:The antibody was affinity-purified from rabbit antiserum by affinity-chromatography using epitope-specific immunogen.
来源:Rabbit
保存说明:Maintain refrigerated at 2-8°C for up to 2 weeks. For long term storage store at -20°C in small aliquots to prevent freeze-thaw cycles.
Note:For research use only.




风险提示:丁香通仅作为第三方平台,为商家信息发布提供平台空间。用户咨询产品时请注意保护个人信息及财产安全,合理判断,谨慎选购商品,商家和用户对交易行为负责。对于医疗器械类产品,请先查证核实企业经营资质和医疗器械产品注册证情况。
文献和实验|998894|gb|S78179.1|S78179 Oryctolagus cuniculus type XII... 32 0.037 gi|31072033|gb|AC122153.4| Oryctolagus cuniculus clone LB1-... 28 0.58 gi|1496|emb|X52496.1|OCCAATP Rabbit mRNA for calcium ATPase 28 0.58 gi|1468|emb|X02814.1|OCATPDR Rabbit mRNA
[资源] 所有的看家基因(housekeeping genes)列表+引物设计服务
, H+ transporting, lysosomal interacting protein 1 (ATP6IP1), mRNA 1089 NM_003526 Homo sapiens H2B histone family, member L (H2BFL), mRNA 2232 NM_004718 Homo sapiens cytochrome c oxidase subunit VIIa polypeptide 2 like (COX7A2L), nuclear gene
secondary antibody review -- data from 99 publications
data
技术资料暂无技术资料 索取技术资料










