相关产品推荐更多 >

Thomsen-Friedenreich Antigen / CD176 (Pan Carcinoma Marker) Antibody - With BSA and Azide 抗体,orb1789472,Biorbyt
¥5889
ABCG1 Antibody (PerCP) 抗体,orb1577753,Biorbyt
¥4796
IDH3B Antibody - N-terminal region : HRP 抗体,orb2090240,Biorbyt
¥8216
Pan myristoylation rabbit pAb抗体,orb771427,biorbyt
¥3250
Synaptotagmin XII Antibody (BF680) 抗体,orb1598221,Biorbyt
¥4796
万千商家帮你免费找货
0 人在求购买到急需产品
- 详细信息
- 技术资料
- 抗体名:
Connexin 43 rabbit pAb抗体
- 抗体英文名:
Connexin 43 rabbit pAb
- 浓度:
1 mg/ml
- 应用范围:
ELISA, IF, IHC-P, WB
- 适应物种:
Human, Mouse, Rat
- 保质期:
6-12个月
- 抗原来源:
详询
- 目录编号:
orb764903
- 级别:
科研级
- 库存:
88
- 供应商:
biorbyt
- 标记物:
Unconjugated
- 克隆性:
Polyclonal
- 亚型:
IgG
- 免疫原:
The antiserum was produced against synthesized peptide derived from human Connexin 43. AA range:333-382
- 规格:
50 ul
产品描述:Rabbit polyclonal antibody to Connexin 43
别名:Anti-GJA1 antibody, anti-GJAL antibody, anti-Gap junction alpha-1 protein antibody, anti-Connexin-43 antibody, anti-Cx43 antibody, anti-Gap junction 43 kDa heart protein antibody
免疫原:The antiserum was produced against synthesized peptide derived from human Connexin 43. AA range:333-382
分子量:43
应用稀释比例:Western Blot: 1/500 - 1/2000. IHC-p: 1:100-300 ELISA: 1/20000. IF 1:100-300 Not yet tested in other applications.
防腐剂:PBS with 0.02% sodium azide and 50% glycerol pH 7.4.
纯化:The antibody was affinity-purified from rabbit antiserum by affinity-chromatography using epitope-specific immunogen.
来源:Rabbit
保存说明:Maintain refrigerated at 2-8°C for up to 2 weeks. For long term storage store at -20°C in small aliquots to prevent freeze-thaw cycles.
Note:For research use only.




别名:Anti-GJA1 antibody, anti-GJAL antibody, anti-Gap junction alpha-1 protein antibody, anti-Connexin-43 antibody, anti-Cx43 antibody, anti-Gap junction 43 kDa heart protein antibody
免疫原:The antiserum was produced against synthesized peptide derived from human Connexin 43. AA range:333-382
分子量:43
应用稀释比例:Western Blot: 1/500 - 1/2000. IHC-p: 1:100-300 ELISA: 1/20000. IF 1:100-300 Not yet tested in other applications.
防腐剂:PBS with 0.02% sodium azide and 50% glycerol pH 7.4.
纯化:The antibody was affinity-purified from rabbit antiserum by affinity-chromatography using epitope-specific immunogen.
来源:Rabbit
保存说明:Maintain refrigerated at 2-8°C for up to 2 weeks. For long term storage store at -20°C in small aliquots to prevent freeze-thaw cycles.
Note:For research use only.

Immunofluorescence analysis of A549. 1, primary Antibody (red) was diluted at 1:200 (4°C overnight). 2, Goat Anti Rabbit IgG (H&L) - Alexa Fluor 594 Secondary antibody was diluted at 1:1000 (room temperature, 50min). 3, Picture B: DAPI (blue) 10min.

Immunofluorescence analysis of Hela cell. 1, Connexin 43 Polyclonal Antibody (green) was diluted at 1:200 (4°C overnight). 2, Goat Anti Rabbit Alexa Fluor 488 was diluted at 1:1000 (room temperature, 50min). 3 DAPI (blue) 10min.

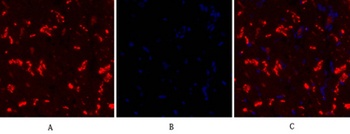
Immunofluorescence analysis of rat-heart tissue. 1, Connexin 43 Polyclonal Antibody (red) was diluted at 1:200 (4°C, overnight). 2, Cy3 labled Secondary antibody was diluted at 1:300 (room temperature, 50min). 3, Picture B: DAPI (blue) 10min. Picture A:Target. Picture B: DAPI. Picture C: merge of A + B.

Immunofluorescence analysis of rat-heart tissue. 1, Connexin 43 Polyclonal Antibody (red) was diluted at 1:200 (4°C, overnight). 2, Cy3 labled Secondary antibody was diluted at 1:300 (room temperature, 50min). 3, Picture B: DAPI (blue) 10min. Picture A:Target. Picture B: DAPI. Picture C: merge of A + B.
风险提示:丁香通仅作为第三方平台,为商家信息发布提供平台空间。用户咨询产品时请注意保护个人信息及财产安全,合理判断,谨慎选购商品,商家和用户对交易行为负责。对于医疗器械类产品,请先查证核实企业经营资质和医疗器械产品注册证情况。
技术资料暂无技术资料 索取技术资料
Connexin 43 rabbit pAb抗体,orb764903,biorbyt
¥3250





