相关产品推荐更多 >

GPRC5A / RAI3 Antibody (Transmembrane Domain) 抗体,orb1533988,Biorbyt
¥8255
ZNF34 Antibody抗体,orb632773,biorbyt
¥3250
TXNIP Antibody - C-terminal region : Biotin 抗体,orb2109679,Biorbyt
¥8216
14-3-3 theta/tau (Phospho-S232) Antibody抗体,orb315829,biorbyt
¥1820
A830053O21Rik Antibody - middle region : Biotin 抗体,orb2130332,Biorbyt
¥8216
万千商家帮你免费找货
0 人在求购买到急需产品
- 详细信息
- 技术资料
- 抗体名:
CD95 rabbit pAb抗体
- 抗体英文名:
CD95 rabbit pAb
- 浓度:
1 mg/ml
- 应用范围:
ELISA, IHC-P, WB
- 适应物种:
Human, Mouse, Rat
- 保质期:
6-12个月
- 抗原来源:
详询
- 目录编号:
orb764795
- 级别:
科研级
- 库存:
88
- 供应商:
biorbyt
- 标记物:
Unconjugated
- 克隆性:
Polyclonal
- 亚型:
IgG
- 免疫原:
The antiserum was produced against synthesized peptide derived from human FAS. AA range:281-330
- 规格:
50 ul
产品描述:Rabbit polyclonal antibody to CD95
别名:Anti-FAS antibody, anti-APT1 antibody, anti-FAS1 antibody, anti-TNFRSF6 antibody, anti-Tumor necrosis factor receptor superfamily member 6 antibody, anti-Apo-1 antigen antibody, anti-Apoptosis-mediating surface antigen FAS antibody, anti-FASLG receptor antibody, anti-CD antigen CD95 antibody
免疫原:The antiserum was produced against synthesized peptide derived from human FAS. AA range:281-330
分子量:50
应用稀释比例:Western Blot: 1/500 - 1/2000. Immunohistochemistry: 1/100 - 1/300. ELISA: 1/20000. Not yet tested in other applications.
防腐剂:PBS with 0.02% sodium azide and 50% glycerol pH 7.4.
纯化:The antibody was affinity-purified from rabbit antiserum by affinity-chromatography using epitope-specific immunogen.
来源:Rabbit
保存说明:Maintain refrigerated at 2-8°C for up to 2 weeks. For long term storage store at -20°C in small aliquots to prevent freeze-thaw cycles.
Note:For research use only.




别名:Anti-FAS antibody, anti-APT1 antibody, anti-FAS1 antibody, anti-TNFRSF6 antibody, anti-Tumor necrosis factor receptor superfamily member 6 antibody, anti-Apo-1 antigen antibody, anti-Apoptosis-mediating surface antigen FAS antibody, anti-FASLG receptor antibody, anti-CD antigen CD95 antibody
免疫原:The antiserum was produced against synthesized peptide derived from human FAS. AA range:281-330
分子量:50
应用稀释比例:Western Blot: 1/500 - 1/2000. Immunohistochemistry: 1/100 - 1/300. ELISA: 1/20000. Not yet tested in other applications.
防腐剂:PBS with 0.02% sodium azide and 50% glycerol pH 7.4.
纯化:The antibody was affinity-purified from rabbit antiserum by affinity-chromatography using epitope-specific immunogen.
来源:Rabbit
保存说明:Maintain refrigerated at 2-8°C for up to 2 weeks. For long term storage store at -20°C in small aliquots to prevent freeze-thaw cycles.
Note:For research use only.

Western Blot analysis of various cells using CD95 Polyclonal Antibody diluted at 1:500.

Western Blot analysis of 823 cells using CD95 Polyclonal Antibody diluted at 1:500.

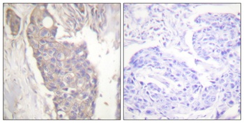
Immunohistochemistry analysis of paraffin-embedded human breast carcinoma tissue, using FAS Antibody. The picture on the right is blocked with the synthesized peptide.

Western blot analysis of lysates from LOVO cells, using FAS Antibody. The lane on the right is blocked with the synthesized peptide.
风险提示:丁香通仅作为第三方平台,为商家信息发布提供平台空间。用户咨询产品时请注意保护个人信息及财产安全,合理判断,谨慎选购商品,商家和用户对交易行为负责。对于医疗器械类产品,请先查证核实企业经营资质和医疗器械产品注册证情况。
技术资料暂无技术资料 索取技术资料
CD95 rabbit pAb抗体,orb764795,biorbyt
¥3250





