相关产品推荐更多 >
万千商家帮你免费找货
0 人在求购买到急需产品
- 详细信息
- 技术资料
- 抗体名:
Bcl-w rabbit pAb抗体
- 抗体英文名:
Bcl-w rabbit pAb
- 浓度:
1 mg/ml
- 应用范围:
ELISA, IF, IHC-P, WB
- 适应物种:
Human, Mouse, Rat
- 保质期:
6-12个月
- 抗原来源:
详询
- 目录编号:
orb764635
- 级别:
科研级
- 库存:
88
- 供应商:
biorbyt
- 标记物:
Unconjugated
- 克隆性:
Polyclonal
- 亚型:
IgG
- 免疫原:
The antiserum was produced against synthesized peptide derived from human BCLW. AA range:131-180
- 规格:
50 ul
产品描述:Rabbit polyclonal antibody to Bcl-w
别名:Anti-BCL2L2 antibody, anti-BCLW antibody, anti-KIAA0271 antibody, anti-Bcl-2-like protein 2 antibody, anti-Bcl2-L-2 antibody, anti-Apoptosis regulator Bcl-W antibody
免疫原:The antiserum was produced against synthesized peptide derived from human BCLW. AA range:131-180
分子量:25
应用稀释比例:Western Blot: 1/500 - 1/2000. Immunohistochemistry: 1/100 - 1/300. Immunofluorescence: 1/200 - 1/1000. ELISA: 1/10000. Not yet tested in other applications.
防腐剂:PBS with 0.02% sodium azide and 50% glycerol pH 7.4.
纯化:The antibody was affinity-purified from rabbit antiserum by affinity-chromatography using epitope-specific immunogen.
来源:Rabbit
保存说明:Maintain refrigerated at 2-8°C for up to 2 weeks. For long term storage store at -20°C in small aliquots to prevent freeze-thaw cycles.
Note:For research use only.




别名:Anti-BCL2L2 antibody, anti-BCLW antibody, anti-KIAA0271 antibody, anti-Bcl-2-like protein 2 antibody, anti-Bcl2-L-2 antibody, anti-Apoptosis regulator Bcl-W antibody
免疫原:The antiserum was produced against synthesized peptide derived from human BCLW. AA range:131-180
分子量:25
应用稀释比例:Western Blot: 1/500 - 1/2000. Immunohistochemistry: 1/100 - 1/300. Immunofluorescence: 1/200 - 1/1000. ELISA: 1/10000. Not yet tested in other applications.
防腐剂:PBS with 0.02% sodium azide and 50% glycerol pH 7.4.
纯化:The antibody was affinity-purified from rabbit antiserum by affinity-chromatography using epitope-specific immunogen.
来源:Rabbit
保存说明:Maintain refrigerated at 2-8°C for up to 2 weeks. For long term storage store at -20°C in small aliquots to prevent freeze-thaw cycles.
Note:For research use only.

Western Blot analysis of various cells using Bcl-w Polyclonal Antibody diluted at 1:2000.

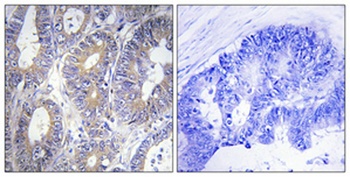
Immunohistochemical analysis of paraffin-embedded Human colon cancer. Antibody was diluted at 1:100 (4°C overnight). High-pressure and temperature Tris-EDTA, pH8.0 was used for antigen retrieval. Negetive control (right) obtaned from antibody was pre-absorbed by immunogen peptide.

Immunofluorescence analysis of HepG2 cells, using BCLW Antibody. The picture on the right is blocked with the synthesized peptide.

Western blot analysis of lysates from COLO cells, using BCLW Antibody. The lane on the right is blocked with the synthesized peptide.
风险提示:丁香通仅作为第三方平台,为商家信息发布提供平台空间。用户咨询产品时请注意保护个人信息及财产安全,合理判断,谨慎选购商品,商家和用户对交易行为负责。对于医疗器械类产品,请先查证核实企业经营资质和医疗器械产品注册证情况。
技术资料暂无技术资料 索取技术资料
Bcl-w rabbit pAb抗体,orb764635,biorbyt
¥3250










