相关产品推荐更多 >

CD63 (Late Endosomes Marker) Antibody抗体,orb388930,biorbyt
¥4420
fibroblast growth factor 12 Antibody 抗体,orb1742525,Biorbyt
¥7735
Hepacam2 Antibody - N-terminal region : HRP 抗体,orb2118641,Biorbyt
¥8216
HMGA2 Antibody 抗体,orb1945144,Biorbyt
¥5226
Phospho-Glycogen synthase 1 (Ser641) Recombinant Rabbit Monoclonal Antibody抗体,orb559107,biorbyt
¥4160
万千商家帮你免费找货
0 人在求购买到急需产品
- 详细信息
- 技术资料
- 抗体名:
ACSS1 rabbit pAb抗体
- 抗体英文名:
ACSS1 rabbit pAb
- 浓度:
1 mg/ml
- 应用范围:
ELISA, IHC-P, WB
- 适应物种:
Human, Mouse
- 保质期:
6-12个月
- 抗原来源:
详询
- 目录编号:
orb764463
- 级别:
科研级
- 库存:
88
- 供应商:
biorbyt
- 标记物:
Unconjugated
- 克隆性:
Polyclonal
- 亚型:
IgG
- 免疫原:
The antiserum was produced against synthesized peptide derived from human ACSS1. AA range:611-660
- 规格:
50 ul
产品描述:Rabbit polyclonal antibody to ACSS1
别名:Anti-ACSS1 antibody, anti-ACAS2L antibody, anti-KIAA1846 antibody, anti-Acetyl-coenzyme A synthetase 2-like antibody, anti- mitochondrial antibody, anti-Acetate--CoA ligase 2 antibody, anti-Acetyl-CoA synthetase 2 antibody, anti-AceCS2 antibody, anti-Acyl-CoA synthetase short-chain family member 1 antibody
免疫原:The antiserum was produced against synthesized peptide derived from human ACSS1. AA range:611-660
分子量:75
应用稀释比例:Western Blot: 1/500 - 1/2000. Immunohistochemistry: 1/100 - 1/300. ELISA: 1/40000. Not yet tested in other applications.
防腐剂:PBS with 0.02% sodium azide and 50% glycerol pH 7.4.
纯化:The antibody was affinity-purified from rabbit antiserum by affinity-chromatography using epitope-specific immunogen.
来源:Rabbit
保存说明:Maintain refrigerated at 2-8°C for up to 2 weeks. For long term storage store at -20°C in small aliquots to prevent freeze-thaw cycles.
Note:For research use only.




别名:Anti-ACSS1 antibody, anti-ACAS2L antibody, anti-KIAA1846 antibody, anti-Acetyl-coenzyme A synthetase 2-like antibody, anti- mitochondrial antibody, anti-Acetate--CoA ligase 2 antibody, anti-Acetyl-CoA synthetase 2 antibody, anti-AceCS2 antibody, anti-Acyl-CoA synthetase short-chain family member 1 antibody
免疫原:The antiserum was produced against synthesized peptide derived from human ACSS1. AA range:611-660
分子量:75
应用稀释比例:Western Blot: 1/500 - 1/2000. Immunohistochemistry: 1/100 - 1/300. ELISA: 1/40000. Not yet tested in other applications.
防腐剂:PBS with 0.02% sodium azide and 50% glycerol pH 7.4.
纯化:The antibody was affinity-purified from rabbit antiserum by affinity-chromatography using epitope-specific immunogen.
来源:Rabbit
保存说明:Maintain refrigerated at 2-8°C for up to 2 weeks. For long term storage store at -20°C in small aliquots to prevent freeze-thaw cycles.
Note:For research use only.

Western Blot analysis of various cells using ACSS1 Polyclonal Antibody.

Western Blot analysis of HT29 cells using ACSS1 Polyclonal Antibody.

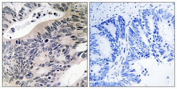
Immunohistochemistry analysis of paraffin-embedded human colon carcinoma tissue, using ACSS1 Antibody. The picture on the right is blocked with the synthesized peptide.

Western blot analysis of lysates from HT-29 cells, using ACSS1 Antibody. The lane on the right is blocked with the synthesized peptide.
风险提示:丁香通仅作为第三方平台,为商家信息发布提供平台空间。用户咨询产品时请注意保护个人信息及财产安全,合理判断,谨慎选购商品,商家和用户对交易行为负责。对于医疗器械类产品,请先查证核实企业经营资质和医疗器械产品注册证情况。
技术资料暂无技术资料 索取技术资料
ACSS1 rabbit pAb抗体,orb764463,biorbyt
¥3250





