相关产品推荐更多 >
万千商家帮你免费找货
0 人在求购买到急需产品
- 详细信息
- 技术资料
- 抗体名:
JNK1/2/3 (phospho Tyr185) rabbit pAb抗体
- 抗体英文名:
JNK1/2/3 (phospho Tyr185) rabbit pAb
- 浓度:
1 mg/ml
- 应用范围:
ELISA, IF, IHC-P, WB
- 适应物种:
Human, Mouse, Rat
- 保质期:
6-12个月
- 抗原来源:
详询
- 目录编号:
orb764374
- 级别:
科研级
- 库存:
88
- 供应商:
biorbyt
- 标记物:
Unconjugated
- 克隆性:
Polyclonal
- 亚型:
IgG
- 免疫原:
The antiserum was produced against synthesized peptide derived from human SAPK/JNK around the phosphorylation site of Tyr185. AA range:151-200
- 规格:
50 ul
产品描述:Rabbit polyclonal antibody to JNK1/2/3 (phospho-Tyr185)
别名:Anti-MAPK8 antibody, anti-JNK1 antibody, anti-PRKM8 antibody, anti-SAPK1 antibody, anti-SAPK1C antibody, anti-Mitogen-activated protein kinase 8 antibody, anti-MAP kinase 8 antibody, anti-MAPK 8 antibody, anti-JNK-46 antibody, anti-Stress-activated protein kinase 1c antibody, anti-SAPK1c antibody, anti-Stress-activated protein kinase JNK1 antibody, anti-c-Jun N-terminal antibody
免疫原:The antiserum was produced against synthesized peptide derived from human SAPK/JNK around the phosphorylation site of Tyr185. AA range:151-200
分子量:45
应用稀释比例:IF: 1:50-200 Western Blot: 1/500 - 1/2000. Immunohistochemistry: 1/100 - 1/300. ELISA: 1/20000. Not yet tested in other applications.
防腐剂:PBS with 0.02% sodium azide and 50% glycerol pH 7.4.
纯化:The antibody was affinity-purified from rabbit antiserum by affinity-chromatography using epitope-specific immunogen.
来源:Rabbit
保存说明:Maintain refrigerated at 2-8°C for up to 2 weeks. For long term storage store at -20°C in small aliquots to prevent freeze-thaw cycles.
Note:For research use only.




别名:Anti-MAPK8 antibody, anti-JNK1 antibody, anti-PRKM8 antibody, anti-SAPK1 antibody, anti-SAPK1C antibody, anti-Mitogen-activated protein kinase 8 antibody, anti-MAP kinase 8 antibody, anti-MAPK 8 antibody, anti-JNK-46 antibody, anti-Stress-activated protein kinase 1c antibody, anti-SAPK1c antibody, anti-Stress-activated protein kinase JNK1 antibody, anti-c-Jun N-terminal antibody
免疫原:The antiserum was produced against synthesized peptide derived from human SAPK/JNK around the phosphorylation site of Tyr185. AA range:151-200
分子量:45
应用稀释比例:IF: 1:50-200 Western Blot: 1/500 - 1/2000. Immunohistochemistry: 1/100 - 1/300. ELISA: 1/20000. Not yet tested in other applications.
防腐剂:PBS with 0.02% sodium azide and 50% glycerol pH 7.4.
纯化:The antibody was affinity-purified from rabbit antiserum by affinity-chromatography using epitope-specific immunogen.
来源:Rabbit
保存说明:Maintain refrigerated at 2-8°C for up to 2 weeks. For long term storage store at -20°C in small aliquots to prevent freeze-thaw cycles.
Note:For research use only.

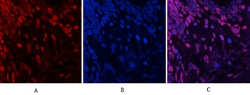
Immunofluorescence analysis of human-lung tissue. 1, JNK1/2/3 (phospho Tyr185) Polyclonal Antibody (red) was diluted at 1:200 (4°C, overnight). 2, Cy3 labled Secondary antibody was diluted at 1:300 (room temperature, 50min).3, Picture B: DAPI (blue) 10min. Picture A:Target. Picture B: DAPI. Picture C: merge of A + B.

Immunofluorescence analysis of human-lung tissue. 1, JNK1/2/3 (phospho Tyr185) Polyclonal Antibody (red) was diluted at 1:200 (4°C, overnight). 2, Cy3 labled Secondary antibody was diluted at 1:300 (room temperature, 50min).3, Picture B: DAPI (blue) 10min. Picture A:Target. Picture B: DAPI. Picture C: merge of A + B.

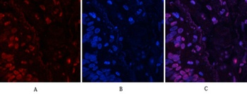
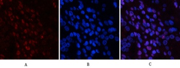
Immunofluorescence analysis of human-stomach tissue. 1, JNK1/2/3 (phospho Tyr185) Polyclonal Antibody (red) was diluted at 1:200 (4°C, overnight). 2, Cy3 labled Secondary antibody was diluted at 1:300 (room temperature, 50min).3, Picture B: DAPI (blue) 10min. Picture A:Target. Picture B: DAPI. Picture C: merge of A + B.

Immunofluorescence analysis of human-stomach tissue. 1, JNK1/2/3 (phospho Tyr185) Polyclonal Antibody (red) was diluted at 1:200 (4°C, overnight). 2, Cy3 labled Secondary antibody was diluted at 1:300 (room temperature, 50min).3, Picture B: DAPI (blue) 10min. Picture A:Target. Picture B: DAPI. Picture C: merge of A + B.
风险提示:丁香通仅作为第三方平台,为商家信息发布提供平台空间。用户咨询产品时请注意保护个人信息及财产安全,合理判断,谨慎选购商品,商家和用户对交易行为负责。对于医疗器械类产品,请先查证核实企业经营资质和医疗器械产品注册证情况。
技术资料暂无技术资料 索取技术资料
JNK1/2/3 (phospho Tyr185) rabbit pAb抗体,orb764374,biorbyt
¥3250










