相关产品推荐更多 >
万千商家帮你免费找货
0 人在求购买到急需产品
- 详细信息
- 技术资料
- 抗体名:
MKP-1/2 (phospho Ser296/318) rabbit pAb抗体
- 抗体英文名:
MKP-1/2 (phospho Ser296/318) rabbit pAb
- 浓度:
1 mg/ml
- 应用范围:
ELISA, IHC-P, WB
- 适应物种:
Human, Mouse, Rat
- 保质期:
6-12个月
- 抗原来源:
详询
- 目录编号:
orb764373
- 级别:
科研级
- 库存:
88
- 供应商:
biorbyt
- 标记物:
Unconjugated
- 克隆性:
Polyclonal
- 亚型:
IgG
- 免疫原:
The antiserum was produced against synthesized peptide derived from human MKP-1/2 around the phosphorylation site of Ser296/318. AA range:261-310
- 规格:
50 ul
产品描述:Rabbit polyclonal antibody to MKP-1/2 (phospho-Ser296/318)
别名:Anti-DUSP1 antibody, anti-CL100 antibody, anti-MKP1 antibody, anti-PTPN10 antibody, anti-VH1 antibody, anti-Dual specificity protein phosphatase 1 antibody, anti-Dual specificity protein phosphatase hVH1 antibody, anti-Mitogen-activated protein kinase phosphatase 1 antibody, anti-MAP kinase phosphatase 1 antibody, anti-MKP-1 antibody, anti-Pro antibody
免疫原:The antiserum was produced against synthesized peptide derived from human MKP-1/2 around the phosphorylation site of Ser296/318. AA range:261-310
分子量:45
应用稀释比例:Western Blot: 1/500 - 1/2000. Immunohistochemistry: 1/100 - 1/300. ELISA: 1/5000. Not yet tested in other applications.
防腐剂:PBS with 0.02% sodium azide and 50% glycerol pH 7.4.
纯化:The antibody was affinity-purified from rabbit antiserum by affinity-chromatography using epitope-specific immunogen.
来源:Rabbit
保存说明:Maintain refrigerated at 2-8°C for up to 2 weeks. For long term storage store at -20°C in small aliquots to prevent freeze-thaw cycles.
Note:For research use only.




别名:Anti-DUSP1 antibody, anti-CL100 antibody, anti-MKP1 antibody, anti-PTPN10 antibody, anti-VH1 antibody, anti-Dual specificity protein phosphatase 1 antibody, anti-Dual specificity protein phosphatase hVH1 antibody, anti-Mitogen-activated protein kinase phosphatase 1 antibody, anti-MAP kinase phosphatase 1 antibody, anti-MKP-1 antibody, anti-Pro antibody
免疫原:The antiserum was produced against synthesized peptide derived from human MKP-1/2 around the phosphorylation site of Ser296/318. AA range:261-310
分子量:45
应用稀释比例:Western Blot: 1/500 - 1/2000. Immunohistochemistry: 1/100 - 1/300. ELISA: 1/5000. Not yet tested in other applications.
防腐剂:PBS with 0.02% sodium azide and 50% glycerol pH 7.4.
纯化:The antibody was affinity-purified from rabbit antiserum by affinity-chromatography using epitope-specific immunogen.
来源:Rabbit
保存说明:Maintain refrigerated at 2-8°C for up to 2 weeks. For long term storage store at -20°C in small aliquots to prevent freeze-thaw cycles.
Note:For research use only.

Western Blot analysis of various cells using Phospho-MKP-1/2 (S296/318) Polyclonal Antibody cells nucleus extracted by Minute TM Cytoplasmic and Nuclear Fractionation kit (SC-003, Inventbiotech, MN, USA).

Western Blot analysis of JK cells using Phospho-MKP-1/2 (S296/318) Polyclonal Antibody cells nucleus extracted by Minute TM Cytoplasmic and Nuclear Fractionation kit (SC-003, Inventbiotech, MN, USA).

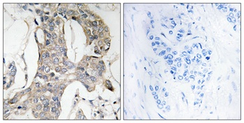
Immunohistochemistry analysis of paraffin-embedded human breast carcinoma, using MKP-1/2 (Phospho-Ser296/318) Antibody. The picture on the right is blocked with the phospho peptide.

Western blot analysis of lysates from K562 cells treated with heat shock, using MKP-1/2 (Phospho-Ser296/318) Antibody. The lane on the right is blocked with the phospho peptide.
风险提示:丁香通仅作为第三方平台,为商家信息发布提供平台空间。用户咨询产品时请注意保护个人信息及财产安全,合理判断,谨慎选购商品,商家和用户对交易行为负责。对于医疗器械类产品,请先查证核实企业经营资质和医疗器械产品注册证情况。
技术资料暂无技术资料 索取技术资料
MKP-1/2 (phospho Ser296/318) rabbit pAb抗体,orb764373,biorbyt
¥3250










