相关产品推荐更多 >
万千商家帮你免费找货
0 人在求购买到急需产品
- 详细信息
- 技术资料
- 抗体名:
eEF2K (phospho Ser366) rabbit pAb抗体
- 抗体英文名:
eEF2K (phospho Ser366) rabbit pAb
- 浓度:
1 mg/ml
- 应用范围:
ELISA, IHC-P, WB
- 适应物种:
Human, Rat
- 保质期:
6-12个月
- 抗原来源:
详询
- 目录编号:
orb764345
- 级别:
科研级
- 库存:
88
- 供应商:
biorbyt
- 标记物:
Unconjugated
- 克隆性:
Polyclonal
- 亚型:
IgG
- 免疫原:
The antiserum was produced against synthesized peptide derived from human eEF2K around the phosphorylation site of Ser366. AA range:331-380
- 规格:
50 ul
产品描述:Rabbit polyclonal antibody to eEF2K (phospho-Ser366)
别名:Anti-EEF2K antibody, anti-Eukaryotic elongation factor 2 kinase antibody, anti-eEF-2 kinase antibody, anti-eEF-2K antibody, anti-Calcium/calmodulin-dependent eukaryotic elongation factor 2 kinase antibody
免疫原:The antiserum was produced against synthesized peptide derived from human eEF2K around the phosphorylation site of Ser366. AA range:331-380
分子量:105
应用稀释比例:Western Blot: 1/500 - 1/2000. Immunohistochemistry: 1/100 - 1/300. ELISA: 1/40000. Not yet tested in other applications.
防腐剂:PBS with 0.02% sodium azide and 50% glycerol pH 7.4.
纯化:The antibody was affinity-purified from rabbit antiserum by affinity-chromatography using epitope-specific immunogen.
来源:Rabbit
保存说明:Maintain refrigerated at 2-8°C for up to 2 weeks. For long term storage store at -20°C in small aliquots to prevent freeze-thaw cycles.
Note:For research use only.




别名:Anti-EEF2K antibody, anti-Eukaryotic elongation factor 2 kinase antibody, anti-eEF-2 kinase antibody, anti-eEF-2K antibody, anti-Calcium/calmodulin-dependent eukaryotic elongation factor 2 kinase antibody
免疫原:The antiserum was produced against synthesized peptide derived from human eEF2K around the phosphorylation site of Ser366. AA range:331-380
分子量:105
应用稀释比例:Western Blot: 1/500 - 1/2000. Immunohistochemistry: 1/100 - 1/300. ELISA: 1/40000. Not yet tested in other applications.
防腐剂:PBS with 0.02% sodium azide and 50% glycerol pH 7.4.
纯化:The antibody was affinity-purified from rabbit antiserum by affinity-chromatography using epitope-specific immunogen.
来源:Rabbit
保存说明:Maintain refrigerated at 2-8°C for up to 2 weeks. For long term storage store at -20°C in small aliquots to prevent freeze-thaw cycles.
Note:For research use only.

Western Blot analysis of various cells using Phospho-eEF2K (S366) Polyclonal Antibody diluted at 1:1000.

Enzyme-Linked Immunosorbent Assay (Phospho-ELISA) for Immunogen Phosphopeptide (Phospho-left) and Non-Phosphopeptide (Phospho-right), using eEF2K (Phospho-Ser366) Antibody.

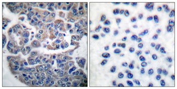
Immunohistochemistry analysis of paraffin-embedded human breast carcinoma, using eEF2K (Phospho-Ser366) Antibody. The picture on the right is blocked with the phospho peptide.

Western blot analysis of lysates from HeLa cells treated with serum 10% 15', using eEF2K (Phospho-Ser366) Antibody. The lane on the right is blocked with the phospho peptide.
风险提示:丁香通仅作为第三方平台,为商家信息发布提供平台空间。用户咨询产品时请注意保护个人信息及财产安全,合理判断,谨慎选购商品,商家和用户对交易行为负责。对于医疗器械类产品,请先查证核实企业经营资质和医疗器械产品注册证情况。
技术资料暂无技术资料 索取技术资料
eEF2K (phospho Ser366) rabbit pAb抗体,orb764345,biorbyt
¥3250









