相关产品推荐更多 >

Anti-Sphingosine Kinase 2 (N-terminal region) Antibody 抗体,orb1821989,Biorbyt
¥7410
TNFSF11 Antibody抗体,orb630512,biorbyt
¥3250
PSD3 Antibody - middle region : FITC 抗体,orb2122185,Biorbyt
¥7345
Anti-phospho-JNK1 + 2 + 3 (Thr183+Tyr185)/RBITC 抗体,orb1051135,Biorbyt
¥4796
NCBP1 Antibody (C-term) 抗体,orb1931999,Biorbyt
¥7293
万千商家帮你免费找货
0 人在求购买到急需产品
- 详细信息
- 文献和实验
- 技术资料
- 抗体名:
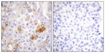
Integrin β1 (phospho Thr788) rabbit pAb抗体
- 抗体英文名:
Integrin β1 (phospho Thr788) rabbit pAb
- 浓度:
1 mg/ml
- 应用范围:
ELISA, IHC-P, WB
- 适应物种:
Human, Mouse, Rat
- 保质期:
6-12个月
- 抗原来源:
详询
- 目录编号:
orb764213
- 级别:
科研级
- 库存:
88
- 供应商:
biorbyt
- 标记物:
Unconjugated
- 克隆性:
Polyclonal
- 亚型:
IgG
- 免疫原:
The antiserum was produced against synthesized peptide derived from human Integrin beta1 around the phosphorylation site of Thr788. AA range:749-798
- 规格:
50 ul
别名:Anti-ITGB1 antibody, anti-FNRB antibody, anti-MDF2 antibody, anti-MSK12 antibody, anti-Integrin beta-1 antibody, anti-Fibronectin receptor subunit beta antibody, anti-VLA-4 subunit beta antibody, anti-CD antigen CD29 antibody
免疫原:The antiserum was produced against synthesized peptide derived from human Integrin beta1 around the phosphorylation site of Thr788. AA range:749-798
分子量:135
应用稀释比例:Western Blot: 1/500 - 1/2000. Immunohistochemistry: 1/100 - 1/300. ELISA: 1/20000. Not yet tested in other applications.
防腐剂:PBS with 0.02% sodium azide and 50% glycerol pH 7.4.
纯化:The antibody was affinity-purified from rabbit antiserum by affinity-chromatography using epitope-specific immunogen.
来源:Rabbit
保存说明:Maintain refrigerated at 2-8°C for up to 2 weeks. For long term storage store at -20°C in small aliquots to prevent freeze-thaw cycles.
Note:For research use only.




风险提示:丁香通仅作为第三方平台,为商家信息发布提供平台空间。用户咨询产品时请注意保护个人信息及财产安全,合理判断,谨慎选购商品,商家和用户对交易行为负责。对于医疗器械类产品,请先查证核实企业经营资质和医疗器械产品注册证情况。
文献和实验伸展有两条杆状结构穿过细胞膜的磷脂双层。 (二)粘合素超家族的组成 目前已知至少有14种α亚单位和8种β亚单位,除α7和αIEL外,其它粘合素分子亚单位均已基因克隆成功。α亚单位和β亚单位组合构成粘合素分子并不是随机的,多数α亚单位只能与一种β亚单位结合构成异源双体,但也有的α亚单位可与几种不同的β亚单位组合,如αV(CD51)可分别同β1、β3、β5、β6和β8亚单位组成integrin分子,而大部分β单位则可以结合数种不同的α亚单位。目前按β亚单位的不同可将粘合
secondary antibody review -- data from 99 publications
IgG Alexa Fluor 488 1:250 Molecular Probes 10 goat Cy3 immunocytochemistry detect NMDA receptors in HEK293 cells Jackson ImmunoResearch Laboratories 10 FITC immunocytochemistry 1:100 detect phospho-CREB in human colonic
技术资料暂无技术资料 索取技术资料






