相关产品推荐更多 >
万千商家帮你免费找货
0 人在求购买到急需产品
- 详细信息
- 技术资料
- 抗体名:
Histone H4 (Acetyl Lys8) rabbit pAb抗体
- 抗体英文名:
Histone H4 (Acetyl Lys8) rabbit pAb
- 浓度:
1 mg/ml
- 应用范围:
ELISA, IF, IHC-P, WB
- 适应物种:
Human, Monkey, Mouse, Rat
- 保质期:
6-12个月
- 抗原来源:
详询
- 目录编号:
orb763967
- 级别:
科研级
- 库存:
88
- 供应商:
biorbyt
- 标记物:
Unconjugated
- 克隆性:
Polyclonal
- 亚型:
IgG
- 免疫原:
The antiserum was produced against synthesized peptide derived from human Histone H4 around the acetylated site of Lys8. AA range:1-50
- 规格:
50 ul
产品描述:Rabbit polyclonal antibody to Histone H4 (Acetyl Lys8)
别名:Anti-HIST1H4A antibody, anti-H4/A antibody, anti-H4FA antibody, anti-HIST1H4B antibody, anti-H4/I antibody, anti-H4FI antibody, anti-HIST1H4C antibody, anti-H4/G antibody, anti-H4FG antibody, anti-HIST1H4D antibody, anti-H4/B antibody, anti-H4FB antibody, anti-HIST1H4E antibody, anti-H4/J antibody, anti-H4FJ antibody, anti-HIST1H4F antibody, anti-H4/C antibody, anti-H4FC antibody, anti-HIST1H4H antibody, anti-H4/H antibody, anti-H4FH antibody, anti-HIST1H4I antibody, anti-H4/M antibody, anti-H4FM antibody, anti-HIST1H4J antibody, anti-H4/E antibody, anti-H4FE antibody, anti-HI antibody
免疫原:The antiserum was produced against synthesized peptide derived from human Histone H4 around the acetylated site of Lys8. AA range:1-50
分子量:11
应用稀释比例:Western Blot: 1/500 - 1/2000. Immunohistochemistry: 1/100 - 1/300. Immunofluorescence: 1/200 - 1/1000. ELISA: 1/5000. Not yet tested in other applications.
防腐剂:PBS with 0.02% sodium azide and 50% glycerol pH 7.4.
纯化:The antibody was affinity-purified from rabbit antiserum by affinity-chromatography using epitope-specific immunogen.
来源:Rabbit
保存说明:Maintain refrigerated at 2-8°C for up to 2 weeks. For long term storage store at -20°C in small aliquots to prevent freeze-thaw cycles.
Note:For research use only.




别名:Anti-HIST1H4A antibody, anti-H4/A antibody, anti-H4FA antibody, anti-HIST1H4B antibody, anti-H4/I antibody, anti-H4FI antibody, anti-HIST1H4C antibody, anti-H4/G antibody, anti-H4FG antibody, anti-HIST1H4D antibody, anti-H4/B antibody, anti-H4FB antibody, anti-HIST1H4E antibody, anti-H4/J antibody, anti-H4FJ antibody, anti-HIST1H4F antibody, anti-H4/C antibody, anti-H4FC antibody, anti-HIST1H4H antibody, anti-H4/H antibody, anti-H4FH antibody, anti-HIST1H4I antibody, anti-H4/M antibody, anti-H4FM antibody, anti-HIST1H4J antibody, anti-H4/E antibody, anti-H4FE antibody, anti-HI antibody
免疫原:The antiserum was produced against synthesized peptide derived from human Histone H4 around the acetylated site of Lys8. AA range:1-50
分子量:11
应用稀释比例:Western Blot: 1/500 - 1/2000. Immunohistochemistry: 1/100 - 1/300. Immunofluorescence: 1/200 - 1/1000. ELISA: 1/5000. Not yet tested in other applications.
防腐剂:PBS with 0.02% sodium azide and 50% glycerol pH 7.4.
纯化:The antibody was affinity-purified from rabbit antiserum by affinity-chromatography using epitope-specific immunogen.
来源:Rabbit
保存说明:Maintain refrigerated at 2-8°C for up to 2 weeks. For long term storage store at -20°C in small aliquots to prevent freeze-thaw cycles.
Note:For research use only.

Immunofluorescence analysis of Hela cell. 1, Histone H4 (Acetyl Lys8) Polyclonal Antibody (red) was diluted at 1:200 (4°C overnight). HER2 Monoclonal Antibody (11H9) (green) was diluted at 1:200 (4°C overnight). 2, Goat Anti Rabbit Alexa Fluor 594 was diluted at 1:1000 (room temperature, 50min). Goat Anti Mouse Alexa Fluor 488 was diluted at 1:1000 (room temperature, 50min).

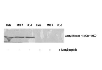
Western Blot analysis of various cells using Acetyl-Histone H4 was diluted at 1:20000.

Western Blot analysis of KB cells using Acetyl-Histone H4 was diluted at 1:20000.

Immunofluorescence analysis of HeLa cells, using Histone H4 (Acetyl-Lys8) Antibody. The picture on the right is blocked with the synthesized peptide.
风险提示:丁香通仅作为第三方平台,为商家信息发布提供平台空间。用户咨询产品时请注意保护个人信息及财产安全,合理判断,谨慎选购商品,商家和用户对交易行为负责。对于医疗器械类产品,请先查证核实企业经营资质和医疗器械产品注册证情况。
技术资料暂无技术资料 索取技术资料
Histone H4 (Acetyl Lys8) rabbit pAb抗体,orb763967,biorbyt
¥3250










