相关产品推荐更多 >
万千商家帮你免费找货
0 人在求购买到急需产品
- 详细信息
- 技术资料
- 抗体名:
MSH2 Antibody抗体
- 抗体英文名:
MSH2 Antibody
- 靶点:
MSH2
- 浓度:
Approximately 1mg/ml (varies from batch to batch). Please inquire for precise concentration.
- 应用范围:
FC, ICC, IHC, WB
- 宿主:
Mouse
- 适应物种:
Human, Mouse
- 保质期:
6-12个月
- 抗原来源:
详询
- 目录编号:
orb757150
- 级别:
科研级
- 库存:
88
- 供应商:
biorbyt
- 标记物:
Unconjugated
- 克隆性:
Monoclonal
- 亚型:
Mouse IgG2a
- 免疫原:
Purified recombinant fragment of human MSH2 (AA: 442-586) expressed in E. Coli.
- 规格:
100 ul
产品描述:Mouse monoclonal antibody to MSH2
别名:FCC1; COCA1; HNPCC; LCFS2; hMSH2; HNPCC1
免疫原:Purified recombinant fragment of human MSH2 (AA: 442-586) expressed in E. Coli.
克隆性:2E2C7
分子量:104.7kDa
应用稀释比例:WB: 1/500 - 1/2000; IHC: 1/200 - 1/1000; ICC: 1/200 - 1/1000; FCM: 1/200 - 1/400; ELISA: 1/10000
防腐剂:Purified antibody in PBS with 0.05% sodium azide
保存说明:Maintain refrigerated at 2-8°C for up to 2 weeks. For long term storage store at -20°C in small aliquots to prevent freeze-thaw cycles.
Entrez:4436
UniProt ID:P43246
Note:For research use only.









别名:FCC1; COCA1; HNPCC; LCFS2; hMSH2; HNPCC1
免疫原:Purified recombinant fragment of human MSH2 (AA: 442-586) expressed in E. Coli.
克隆性:2E2C7
分子量:104.7kDa
应用稀释比例:WB: 1/500 - 1/2000; IHC: 1/200 - 1/1000; ICC: 1/200 - 1/1000; FCM: 1/200 - 1/400; ELISA: 1/10000
防腐剂:Purified antibody in PBS with 0.05% sodium azide
保存说明:Maintain refrigerated at 2-8°C for up to 2 weeks. For long term storage store at -20°C in small aliquots to prevent freeze-thaw cycles.
Entrez:4436
UniProt ID:P43246
Note:For research use only.

Line graph illustrates about the Ag-Ab reactions using different concentrations of antigen and serial dilutions of MSH2 antibody.

Western blot analysis of human MSH2 (AA: 442-586) recombinant protein using MSH2 antibody.

Western blot analysis of t HEK293 (1) and MSH2 (AA: 442-586)-hIgGFc transfected HEK293 (2) cell lysate using MSH2 antibody.

Western blot analysis of Hela (1), NIH/3T3 (2), A549 (3), and A431 (4) cell lysate using MSH2 antibody.

Immunofluorescence analysis of Hela cells using MSH2 antibody.

Immunofluorescence analysis of Hela cells using MSH2 antibody.

Flow cytometric analysis of Hela cells using MSH2 antibody.

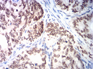
Immunohistochemical analysis of paraffin-embedded cervical cancer tissues using MSH2 antibody.

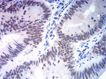
Immunohistochemical analysis of paraffin-embedded rectum cancer tissues using MSH2 antibody.
风险提示:丁香通仅作为第三方平台,为商家信息发布提供平台空间。用户咨询产品时请注意保护个人信息及财产安全,合理判断,谨慎选购商品,商家和用户对交易行为负责。对于医疗器械类产品,请先查证核实企业经营资质和医疗器械产品注册证情况。
技术资料暂无技术资料 索取技术资料
MSH2 Antibody抗体,orb757150,biorbyt
¥4550










