相关产品推荐更多 >

Immunosuppression PathPlex Panel (CD3E, Cytokeratin, CD8 alpha, CD68, PD-L1, FOXP3)抗体,orb1519156,biorbyt
¥34840
ITM2A Antibody抗体,orb1263672,biorbyt
¥11440
Integrin beta 1/CD29 Antibody (BF555) 抗体,orb1598840,Biorbyt
¥4796
MLF2 Antibody - C-terminal region : Biotin 抗体,orb2116630,Biorbyt
¥8216
CCDC106 Rabbit Polyclonal Antibody抗体,orb100277,biorbyt
¥3120
万千商家帮你免费找货
0 人在求购买到急需产品
- 详细信息
- 技术资料
- 抗体名:
CD90/Thy-1 Recombinant Rabbit Monoclonal Antibody抗体
- 抗体英文名:
CD90/Thy-1 Recombinant Rabbit Monoclonal Antibody
- 靶点:
THY1
- 浓度:
1mg/ml
- 应用范围:
IF, IHC-Fr, IHC-P, WB
- 宿主:
Rabbit
- 适应物种:
Human, Rat
- 保质期:
6-12个月
- 抗原来源:
详询
- 目录编号:
orb704497
- 级别:
科研级
- 库存:
88
- 供应商:
biorbyt
- 标记物:
Unconjugated
- 克隆性:
Recombinant
- 保存条件:
参考说明书
- 形态:
Liquid
- 亚型:
IgG
- 免疫原:
A synthesized peptide derived from human THY1 (60-85aa)
- 规格:
50 ul
产品描述:CD90/Thy-1 Recombinant Rabbit Monoclonal Antibody
别名:CD90/Thy1; CD7; CD90 antigen; CDw90; FLJ33325; MGC128895; T25; Theta antigen; Thy-1; Thy 1; Thy 1 cell surface antigen; Thy 1 membrane glycoprotein; Thy 1 membrane glycoprotein precursor; Thy 1.2; Thy-1 T-cell antigen; Thy1 antigen; Thy1 T cell antigen; Thy1.1; Thy1.2; Thymus cell antigen 1, theta; THY1_RAT; THY1_HUMAN.
免疫原:A synthesized peptide derived from human THY1 (60-85aa)
预测反应性:Rat
克隆性:2F7
分子量:18 kDa
应用稀释比例:WB=1:500-2000, IHC-P=1:100-500, IHC-F=1:100-500, IF=1:100-500
防腐剂:0.01M TBS (pH7.4) with 1% rAlbumin, 0.02% Proclin300 and 50% Glycerol.
纯化:Affinity purified by Protein A
保存说明:Maintain refrigerated at 2-8°C for up to 2 weeks. For long term storage store at -20°C in small aliquots to prevent freeze-thaw cycles.
UniProt ID:P04216
Note:For research use only.



别名:CD90/Thy1; CD7; CD90 antigen; CDw90; FLJ33325; MGC128895; T25; Theta antigen; Thy-1; Thy 1; Thy 1 cell surface antigen; Thy 1 membrane glycoprotein; Thy 1 membrane glycoprotein precursor; Thy 1.2; Thy-1 T-cell antigen; Thy1 antigen; Thy1 T cell antigen; Thy1.1; Thy1.2; Thymus cell antigen 1, theta; THY1_RAT; THY1_HUMAN.
免疫原:A synthesized peptide derived from human THY1 (60-85aa)
预测反应性:Rat
克隆性:2F7
分子量:18 kDa
应用稀释比例:WB=1:500-2000, IHC-P=1:100-500, IHC-F=1:100-500, IF=1:100-500
防腐剂:0.01M TBS (pH7.4) with 1% rAlbumin, 0.02% Proclin300 and 50% Glycerol.
纯化:Affinity purified by Protein A
保存说明:Maintain refrigerated at 2-8°C for up to 2 weeks. For long term storage store at -20°C in small aliquots to prevent freeze-thaw cycles.
UniProt ID:P04216
Note:For research use only.

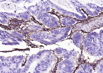
paraffin embedded (human colon carcinoma), Antigen retrieval by boiling in sodium citrate buffer (pH6.0) for 15 min, Block endogenous peroxidase by 3% hydrogen peroxide for 20 minutes, Blocking buffer (normal goat serum) at 37°C for 30 min, Antibody incubation with (CD90) Monoclonal Antibody, Unconjugated (orb704497) at 1:200 overnight at 4°C, followed by operating according to SP Kit (Rabbit) instructionsand DAB staining.

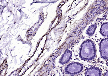
Fixative-fixed, paraffin embedded (human colon), Antigen retrieval by boiling in sodium citrate buffer (pH6.0) for 15 min, Block endogenous peroxidase by 3% hydrogen peroxide for 20 minutes, Blocking buffer (normal goat serum) at 37°C for 30 min, Antibody incubation with (CD90) Monoclonal Antibody, Unconjugated (orb704497) at 1:200 overnight at 4°C, followed by operating according to SP Kit (Rabbit) instructionsand DAB staining.

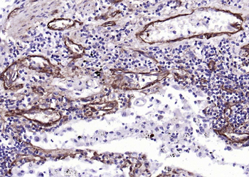
Fixative-fixed, paraffin embedded (human lung carcinoma), Antigen retrieval by boiling in sodium citrate buffer (pH6.0) for 15 min, Block endogenous peroxidase by 3% hydrogen peroxide for 20 minutes, Blocking buffer (normal goat serum) at 37°C for 30 min, Antibody incubation with (CD90) Monoclonal Antibody, Unconjugated (orb704497) at 1:200 overnight at 4°C, followed by operating according to SP Kit (Rabbit) instructionsand DAB staining.
风险提示:丁香通仅作为第三方平台,为商家信息发布提供平台空间。用户咨询产品时请注意保护个人信息及财产安全,合理判断,谨慎选购商品,商家和用户对交易行为负责。对于医疗器械类产品,请先查证核实企业经营资质和医疗器械产品注册证情况。
技术资料暂无技术资料 索取技术资料
CD90/Thy-1 Recombinant Rabbit Monoclonal Antibody抗体,orb704497,biorbyt
¥4160





