相关产品推荐更多 >
万千商家帮你免费找货
0 人在求购买到急需产品
- 详细信息
- 技术资料
- 抗体名:
AIF1 Recombinant Rabbit Monoclonal Antibody抗体
- 抗体英文名:
AIF1 Recombinant Rabbit Monoclonal Antibody
- 靶点:
AIF1
- 浓度:
1mg/ml
- 应用范围:
IF, IHC-Fr, IHC-P, WB
- 宿主:
Rabbit
- 适应物种:
Human, Mouse, Rat
- 保质期:
6-12个月
- 抗原来源:
详询
- 目录编号:
orb704471
- 级别:
科研级
- 库存:
88
- 供应商:
biorbyt
- 标记物:
Unconjugated
- 克隆性:
Recombinant
- 形态:
Liquid
- 亚型:
IgG
- 免疫原:
A synthesized peptide derived from human IBA1 (1-38aa)
- 规格:
25 ul
产品描述:AIF1 Recombinant Rabbit Monoclonal Antibody
别名:AIF 1; AIF1; AIF1 protein; IBa1; iba-1; IBa 1; allograft inflammatory factor 1; Allograft inflammatory factor 1 splice variant G; balloon angioplasty responsive transcription; BART 1; G1; G1 putative splice variant of allograft inflamatory factor 1; IBA 1; IBA1; interferon gamma responsive transcript; Ionized calcium binding adapter molecule 1; ionized calcium-binding adapter molecule; IRT 1; IRT1; Microglia response factor; MRF1; Protein G1.
免疫原:A synthesized peptide derived from human IBA1 (1-38aa)
预测反应性:Mouse, Rat
克隆性:9A3
分子量:17 kDa
应用稀释比例:WB=1:500-1000, IHC-P=1:50-200, IHC-F=1:50-200, IF=1:50-200
防腐剂:0.01M TBS (pH7.4) with 1% rAlbumin, 0.02% Proclin300 and 50% Glycerol.
纯化:Affinity purified by Protein A
保存说明:Maintain refrigerated at 2-8°C for up to 2 weeks. For long term storage store at -20°C in small aliquots to prevent freeze-thaw cycles.
UniProt ID:P55008
Note:For research use only.










别名:AIF 1; AIF1; AIF1 protein; IBa1; iba-1; IBa 1; allograft inflammatory factor 1; Allograft inflammatory factor 1 splice variant G; balloon angioplasty responsive transcription; BART 1; G1; G1 putative splice variant of allograft inflamatory factor 1; IBA 1; IBA1; interferon gamma responsive transcript; Ionized calcium binding adapter molecule 1; ionized calcium-binding adapter molecule; IRT 1; IRT1; Microglia response factor; MRF1; Protein G1.
免疫原:A synthesized peptide derived from human IBA1 (1-38aa)
预测反应性:Mouse, Rat
克隆性:9A3
分子量:17 kDa
应用稀释比例:WB=1:500-1000, IHC-P=1:50-200, IHC-F=1:50-200, IF=1:50-200
防腐剂:0.01M TBS (pH7.4) with 1% rAlbumin, 0.02% Proclin300 and 50% Glycerol.
纯化:Affinity purified by Protein A
保存说明:Maintain refrigerated at 2-8°C for up to 2 weeks. For long term storage store at -20°C in small aliquots to prevent freeze-thaw cycles.
UniProt ID:P55008
Note:For research use only.

25 ug total protein per lane of various lysates probed with AIF1 (9A3) monoclonal antibody, unconjugated (orb704471) at 1:1000 dilution and 4°C overnight incubation. Followed by conjugated secondary antibody incubation at r.t. for 60 min.

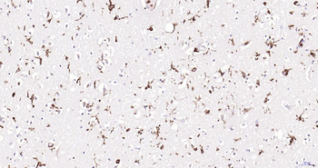
Fixative-fixed, paraffin embedded Human Cerebrum, Antigen retrieval by boiling in sodium citrate buffer (pH6.0) for 15 min, Antibody incubation with AIF1 (9A3) Monoclonal Antibody, Unconjugated (orb704471) at 1:200 overnight at 4°C, followed by conjugation to the SP Kit (Rabbit) and DAB staining.

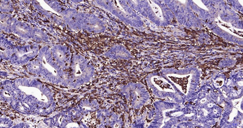
Fixative-fixed, paraffin embedded Human Colon Cancer, Antigen retrieval by boiling in sodium citrate buffer (pH6.0) for 15 min, Antibody incubation with AIF1 (9A3) Monoclonal Antibody, Unconjugated (orb704471) at 1:200 overnight at 4°C, followed by conjugation to the SP Kit (Rabbit) and DAB staining.

Fixative-fixed, paraffin embedded Human Left Parietal Lobe, Antigen retrieval by boiling in sodium citrate buffer (pH6.0) for 15 min, Antibody incubation with AIF1 (9A3) Monoclonal Antibody, Unconjugated (orb704471) at 1:200 overnight at 4°C, followed by conjugation to the SP Kit (Rabbit) and DAB staining.

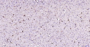
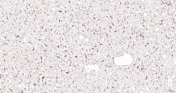
Fixative-fixed, paraffin embedded Human Liver, Antigen retrieval by boiling in sodium citrate buffer (pH6.0) for 15 min, Antibody incubation with AIF1 (9A3) Monoclonal Antibody, Unconjugated (orb704471) at 1:200 overnight at 4°C, followed by conjugation to the SP Kit (Rabbit) and DAB staining.

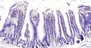
Fixative-fixed, paraffin embedded Human Small Intestine, Antigen retrieval by boiling in sodium citrate buffer (pH6.0) for 15 min, Antibody incubation with AIF1 (9A3) Monoclonal Antibody, Unconjugated (orb704471) at 1:200 overnight at 4°C, followed by conjugation to the SP Kit (Rabbit) and DAB staining.

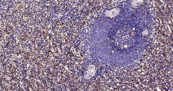
Fixative-fixed, paraffin embedded Human Spleen, Antigen retrieval by boiling in sodium citrate buffer (pH6.0) for 15 min, Antibody incubation with AIF1 (9A3) Monoclonal Antibody, Unconjugated (orb704471) at 1:200 overnight at 4°C, followed by conjugation to the SP Kit (Rabbit) and DAB staining.

Fixative-fixed, paraffin embedded Mouse Cerebrum, Antigen retrieval by boiling in sodium citrate buffer (pH6.0) for 15 min, Antibody incubation with AIF1 (9A3) Monoclonal Antibody, Unconjugated (orb704471) at 1:200 overnight at 4°C, followed by conjugation to the SP Kit (Rabbit) and DAB staining.

Fixative-fixed, paraffin embedded Mouse Liver, Antigen retrieval by boiling in sodium citrate buffer (pH6.0) for 15 min, Antibody incubation with AIF1 (9A3) Monoclonal Antibody, Unconjugated (orb704471) at 1:200 overnight at 4°C, followed by conjugation to the SP Kit (Rabbit) and DAB staining.

Fixative-fixed, paraffin embedded Mouse Small Intestine, Antigen retrieval by boiling in sodium citrate buffer (pH6.0) for 15 min, Antibody incubation with AIF1 (9A3) Monoclonal Antibody, Unconjugated (orb704471) at 1:200 overnight at 4°C, followed by conjugation to the SP Kit (Rabbit) and DAB staining.
风险提示:丁香通仅作为第三方平台,为商家信息发布提供平台空间。用户咨询产品时请注意保护个人信息及财产安全,合理判断,谨慎选购商品,商家和用户对交易行为负责。对于医疗器械类产品,请先查证核实企业经营资质和医疗器械产品注册证情况。
技术资料暂无技术资料 索取技术资料
AIF1 Recombinant Rabbit Monoclonal Antibody抗体,orb704471,biorbyt
¥2600










