相关产品推荐更多 >
万千商家帮你免费找货
0 人在求购买到急需产品
- 详细信息
- 技术资料
- 抗体名:
BST2 Recombinant Rabbit Monoclonal Antibody抗体
- 抗体英文名:
BST2 Recombinant Rabbit Monoclonal Antibody
- 靶点:
BST2
- 浓度:
1mg/ml
- 应用范围:
FC, IF, IHC-Fr, IHC-P, WB
- 宿主:
Rabbit
- 适应物种:
Human
- 保质期:
6-12个月
- 抗原来源:
详询
- 目录编号:
orb704295
- 级别:
科研级
- 库存:
88
- 供应商:
biorbyt
- 标记物:
Unconjugated
- 克隆性:
Recombinant
- 形态:
Liquid
- 亚型:
IgG
- 免疫原:
KLH conjugated synthetic peptide derived from human BST2
- 规格:
50 ul
产品描述:BST2 Recombinant Rabbit Monoclonal Antibody
别名:Bone marrow stromal antigen 2; Bone marrow stromal cell antigen 2; Bone marrow stromal cell antigen; BST 2; BST-2; BST2_HUMAN; CD 317; CD317; CD317 antigen; HM1.24 antigen; NPC A 7; Tetherin.
免疫原:KLH conjugated synthetic peptide derived from human BST2
克隆性:1C3
分子量:18 kDa
应用稀释比例:WB=1:500-2000, IHC-P=1:50-200, IHC-F=1:50-200, IF=1:100-500, Flow-Cyt=1:50-200
防腐剂:0.01M TBS (pH7.4) with 1% rAlbumin, 0.02% Proclin300 and 50% Glycerol.
纯化:Affinity purified by Protein A
保存说明:Maintain refrigerated at 2-8°C for up to 2 weeks. For long term storage store at -20°C in small aliquots to prevent freeze-thaw cycles.
UniProt ID:Q10589
Note:For research use only.






别名:Bone marrow stromal antigen 2; Bone marrow stromal cell antigen 2; Bone marrow stromal cell antigen; BST 2; BST-2; BST2_HUMAN; CD 317; CD317; CD317 antigen; HM1.24 antigen; NPC A 7; Tetherin.
免疫原:KLH conjugated synthetic peptide derived from human BST2
克隆性:1C3
分子量:18 kDa
应用稀释比例:WB=1:500-2000, IHC-P=1:50-200, IHC-F=1:50-200, IF=1:100-500, Flow-Cyt=1:50-200
防腐剂:0.01M TBS (pH7.4) with 1% rAlbumin, 0.02% Proclin300 and 50% Glycerol.
纯化:Affinity purified by Protein A
保存说明:Maintain refrigerated at 2-8°C for up to 2 weeks. For long term storage store at -20°C in small aliquots to prevent freeze-thaw cycles.
UniProt ID:Q10589
Note:For research use only.

Blank control: Jurkat. Primary Antibody (green line): Rabbit Anti-BST2 antibody (orb704295), dilution: 1:50, Isotype Control Antibody (orange line): Rabbit IgG. Secondary Antibody: Goat anti-rabbit IgG-AF488, dilution: 1:1000. Protocol, The cells were fixed with 4% PFA (10 min at room temperature) and then permeabilized with 90% ice-cold methanol for 20 min at -20°C. The cells were then incubated in 5% BSA to block non-specific protein-protein interactions for 30 min at room temperature. Cells stained with Primary Antibody for 30 min at room temperature. The secondary antibody used for 40 min at room temperature. Acquisition of 20000 events was performed.

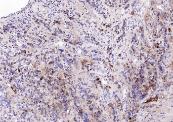
Fixative-fixed, paraffin embedded (human breast carcinoma), Antigen retrieval by boiling in sodium citrate buffer (pH6.0) for 15 min, Block endogenous peroxidase by 3% hydrogen peroxide for 20 minutes, Blocking buffer (normal goat serum) at 37°C for 30 min, Antibody incubation with (BST2) Monoclonal Antibody, Unconjugated (orb704295) at 1:200 overnight at 4°C, followed by operating according to SP Kit (Rabbit) instructionsand DAB staining.

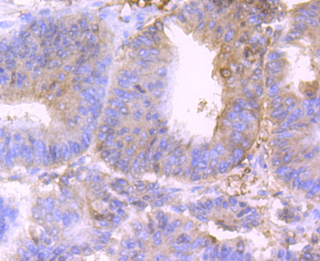
Fixative-fixed, paraffin embedded (human colon cancer), Antigen retrieval by boiling in sodium citrate buffer (pH6.0) for 15 min, Block endogenous peroxidase by 3% hydrogen peroxide for 20 minutes, Blocking buffer (normal goat serum) at 37°C for 30 min, Antibody incubation with (BST2) Monoclonal Antibody, Unconjugated (orb704295) at 1:50 overnight at 4°C, followed by operating according to SP Kit (Rabbit) instructionsand DAB staining.

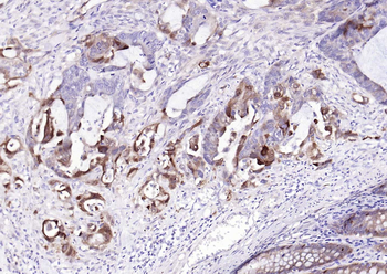
Fixative-fixed, paraffin embedded (human colon carcinoma), Antigen retrieval by boiling in sodium citrate buffer (pH6.0) for 15 min, Block endogenous peroxidase by 3% hydrogen peroxide for 20 minutes, Blocking buffer (normal goat serum) at 37°C for 30 min, Antibody incubation with (BST2) Monoclonal Antibody, Unconjugated (orb704295) at 1:200 overnight at 4°C, followed by operating according to SP Kit (Rabbit) instructionsand DAB staining.

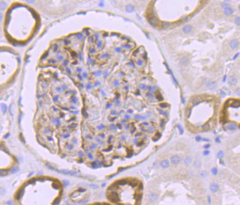
Fixative-fixed, paraffin embedded (human kidney), Antigen retrieval by boiling in sodium citrate buffer (pH6.0) for 15 min, Block endogenous peroxidase by 3% hydrogen peroxide for 20 minutes, Blocking buffer (normal goat serum) at 37°C for 30 min, Antibody incubation with (BST2) Monoclonal Antibody, Unconjugated (orb704295) at 1:50 overnight at 4°C, followed by operating according to SP Kit (Rabbit) instructionsand DAB staining.

Sample: Lane 1: Hela cell lysate, Lane 2: Siha cell lysatee, Primary: Anti-BST2 (orb704295) at 1:500 dilution, Secondary: Goat Anti-Rabbit IgG - HRP at 1:5000 dilution, Predicted band size: 18 kD, Observed band size: 40 kD.
风险提示:丁香通仅作为第三方平台,为商家信息发布提供平台空间。用户咨询产品时请注意保护个人信息及财产安全,合理判断,谨慎选购商品,商家和用户对交易行为负责。对于医疗器械类产品,请先查证核实企业经营资质和医疗器械产品注册证情况。
技术资料暂无技术资料 索取技术资料
BST2 Recombinant Rabbit Monoclonal Antibody抗体,orb704295,biorbyt
¥4160










