相关产品推荐更多 >
万千商家帮你免费找货
0 人在求购买到急需产品
- 详细信息
- 技术资料
- 抗体名:
PD-L1 Recombinant Rabbit Monoclonal Antibody抗体
- 抗体英文名:
PD-L1 Recombinant Rabbit Monoclonal Antibody
- 靶点:
CD274
- 浓度:
1mg/ml
- 应用范围:
WB
- 宿主:
Rabbit
- 适应物种:
Human
- 保质期:
6-12个月
- 抗原来源:
详询
- 目录编号:
orb704273
- 级别:
科研级
- 库存:
88
- 供应商:
biorbyt
- 标记物:
Unconjugated
- 克隆性:
Recombinant
- 形态:
Liquid
- 亚型:
IgG
- 免疫原:
KLH conjugated synthetic peptide derived from human PD-L1
- 规格:
25 ul
产品描述:PD-L1 Recombinant Rabbit Monoclonal Antibody
别名:Programmed cell death 1 ligand 1; CD274; B7 H; B7 H1; B7 homolog 1; B7-H1; B7H; B7H1; CD 274; CD274 antigen; CD274 molecule; MGC142294; MGC142296; OTTHUMP00000021029; PD L1; PD1L1_HUMAN; PDCD1 ligand 1; PDCD1L1; PDCD1LG1; PDL 1; PDL1; Programmed death ligand 1; RGD1566211.
免疫原:KLH conjugated synthetic peptide derived from human PD-L1
预测反应性:Rat
克隆性:8C14
分子量:33 kDa
应用稀释比例:WB=1:500-2000
防腐剂:0.01M TBS (pH7.4) with 1% rAlbumin, 0.02% Proclin300 and 50% Glycerol.
纯化:Affinity purified by Protein A
保存说明:Maintain refrigerated at 2-8°C for up to 2 weeks. For long term storage store at -20°C in small aliquots to prevent freeze-thaw cycles.
UniProt ID:Q9NZQ7
Note:For research use only.




别名:Programmed cell death 1 ligand 1; CD274; B7 H; B7 H1; B7 homolog 1; B7-H1; B7H; B7H1; CD 274; CD274 antigen; CD274 molecule; MGC142294; MGC142296; OTTHUMP00000021029; PD L1; PD1L1_HUMAN; PDCD1 ligand 1; PDCD1L1; PDCD1LG1; PDL 1; PDL1; Programmed death ligand 1; RGD1566211.
免疫原:KLH conjugated synthetic peptide derived from human PD-L1
预测反应性:Rat
克隆性:8C14
分子量:33 kDa
应用稀释比例:WB=1:500-2000
防腐剂:0.01M TBS (pH7.4) with 1% rAlbumin, 0.02% Proclin300 and 50% Glycerol.
纯化:Affinity purified by Protein A
保存说明:Maintain refrigerated at 2-8°C for up to 2 weeks. For long term storage store at -20°C in small aliquots to prevent freeze-thaw cycles.
UniProt ID:Q9NZQ7
Note:For research use only.

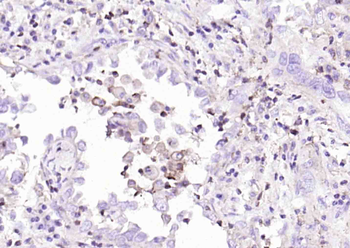
paraffin embedded (human cervical carcinoma), Antigen retrieval by boiling in sodium citrate buffer (pH6.0) for 15 min, Block endogenous peroxidase by 3% hydrogen peroxide for 20 minutes, Blocking buffer (normal goat serum) at 37°C for 30 min, Incubation with (PD-L1) Monoclonal Antibody, Unconjugated (orb704273) at 1:200 overnight at 4°C, followed by operating according to SP Kit (Rabbit) instructionsand DAB staining.

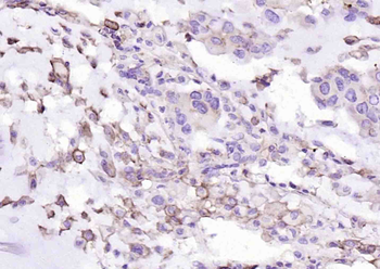
Fixative-fixed, paraffin embedded (human lung carcinoma), Antigen retrieval by boiling in sodium citrate buffer (pH6.0) for 15 min, Block endogenous peroxidase by 3% hydrogen peroxide for 20 minutes, Blocking buffer (normal goat serum) at 37°C for 30 min, Incubation with (PD-L1) Monoclonal Antibody, Unconjugated (orb704273) at 1:200 overnight at 4°C, followed by operating according to SP Kit (Rabbit) instructionsand DAB staining.

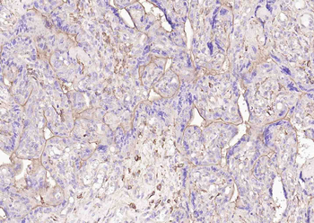
Fixative-fixed, paraffin embedded (human placenta), Antigen retrieval by boiling in sodium citrate buffer (pH6.0) for 15 min, Block endogenous peroxidase by 3% hydrogen peroxide for 20 minutes, Blocking buffer (normal goat serum) at 37°C for 30 min, Incubation with (PD-L1) Monoclonal Antibody, Unconjugated (orb704273) at 1:200 overnight at 4°C, followed by operating according to SP Kit (Rabbit) instructionsand DAB staining.

Sample: Lane 1: Lung (Mouse) Lysate at 40 ug, Lane 2: Placenta (Mouse) Lysate at 40 ug, Lane 3: Jurkat (Human) Cell Lysate at 30 ug, Lane 4: MDA-MB-231 (Human) Cell Lysate at 30 ug, Lane 5: A549 (Human) Cell Lysate at 30 ug, Primary: Anti-PD-L1 (orb704273) at 1/1000 dilution, Secondary: IRDye800CW Goat Anti-Rabbit IgG at 1/20000 dilution, Predicted band size: 33 kD, Observed band size: 45 kD.
风险提示:丁香通仅作为第三方平台,为商家信息发布提供平台空间。用户咨询产品时请注意保护个人信息及财产安全,合理判断,谨慎选购商品,商家和用户对交易行为负责。对于医疗器械类产品,请先查证核实企业经营资质和医疗器械产品注册证情况。
技术资料暂无技术资料 索取技术资料
PD-L1 Recombinant Rabbit Monoclonal Antibody抗体,orb704273,biorbyt
¥2600










