相关产品推荐更多 >
万千商家帮你免费找货
0 人在求购买到急需产品
- 详细信息
- 文献和实验
- 技术资料
- 抗体名:
TRIM9 Antibody抗体
- 抗体英文名:
TRIM9 Antibody
- 靶点:
TRIM9
- 应用范围:
ELISA, IHC, IP, WB
- 宿主:
Rabbit
- 适应物种:
Human, Mouse, Rat
- 保质期:
6-12个月
- 抗原来源:
详询
- 目录编号:
orb632157
- 级别:
科研级
- 库存:
88
- 供应商:
biorbyt
- 标记物:
Unconjugated
- 克隆性:
Polyclonal
- 形态:
liquid
- 亚型:
IgG
- 免疫原:
tripartite motif-containing 9
- 规格:
50 ug
产品描述:Rabbit polyclonal antibody to TRIM9
别名:KIAA0282, RING finger protein 91, RNF91, SPRING, TRIM9, tripartite motif containing 9
免疫原:tripartite motif-containing 9
分子量:57 kDa
应用稀释比例:WB: 1:500-1:5000; IP: 1:500-1:5000; IHC: 1:100-1:400
纯度:≥95% as determined by SDS-PAGE
纯化:Immunogen affinity purified
保存说明:Maintain refrigerated at 2-8°C for up to 2 weeks. For long term storage store at -20°C in small aliquots to prevent freeze-thaw cycles.
UniProt ID:Q9C026
Note:For research use only.



别名:KIAA0282, RING finger protein 91, RNF91, SPRING, TRIM9, tripartite motif containing 9
免疫原:tripartite motif-containing 9
分子量:57 kDa
应用稀释比例:WB: 1:500-1:5000; IP: 1:500-1:5000; IHC: 1:100-1:400
纯度:≥95% as determined by SDS-PAGE
纯化:Immunogen affinity purified
保存说明:Maintain refrigerated at 2-8°C for up to 2 weeks. For long term storage store at -20°C in small aliquots to prevent freeze-thaw cycles.
UniProt ID:Q9C026
Note:For research use only.

HepG2 cells were subjected to SDS PAGE followed by western blot with orb632157 (TRIM9 antibody) at dilution of 1:500.

IP Result of anti-TRIM9 (IP: orb632157, 4 ug; Detection: orb632157 1:1000) with mouse brain tissue lysate 4000 ug.

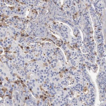
Immunohistochemistry of paraffin-embedded human prostate cancer tissue slide using orb632157 (TRIM9 Antibody) at dilution of 1:200 heat mediated antigen retrieved with Tris-EDTA buffer (pH9).
风险提示:丁香通仅作为第三方平台,为商家信息发布提供平台空间。用户咨询产品时请注意保护个人信息及财产安全,合理判断,谨慎选购商品,商家和用户对交易行为负责。对于医疗器械类产品,请先查证核实企业经营资质和医疗器械产品注册证情况。
文献和实验相关实验
, ZBTB46, B4GALT2, SETDB2, NR4A1, ZNF221, NR4A3, ACACB, ATP13A3, CYB561, PRPSAP2, ZNF629, TRIM56, KCNJ9, TMLHE, ZNF385D, SPTA1, TRAFD1, GLRA1, MLPH, GLRA3, CYP11B2, PDIA4, KCNJ11, KCNIP1, USP19, SMAP2, GFI1B, STAC2, TRIM9, DBR1, NSF, NT5C, POGZ, MICAL3
技术资料暂无技术资料 索取技术资料
TRIM9 Antibody抗体,orb632157,biorbyt
¥3120











