相关产品推荐更多 >
万千商家帮你免费找货
0 人在求购买到急需产品
- 详细信息
- 技术资料
- 抗体名:
TGFBI Antibody抗体
- 抗体英文名:
TGFBI Antibody
- 靶点:
TGFBI
- 应用范围:
ELISA, IHC, IP, WB
- 宿主:
Mouse
- 适应物种:
Human, Mouse
- 保质期:
6-12个月
- 抗原来源:
详询
- 目录编号:
orb631852
- 级别:
科研级
- 库存:
88
- 供应商:
biorbyt
- 标记物:
Unconjugated
- 克隆性:
Monoclonal
- 形态:
liquid
- 亚型:
IgG1
- 免疫原:
transforming growth factor, beta-induced, 68kDa
- 规格:
50 ug
产品描述:Mouse monoclonal antibody to TGFBI
免疫原:transforming growth factor, beta-induced, 68kDa
应用稀释比例:WB: 1:500-1:1000; IP: 1:200-1:1000; IHC : 1:20-1:200
纯度:≥95% as determined by SDS-PAGE
纯化:Protein A+G purified
保存说明:Maintain refrigerated at 2-8°C for up to 2 weeks. For long term storage store at -20°C in small aliquots to prevent freeze-thaw cycles.
UniProt ID:Q15582
Note:For research use only.



免疫原:transforming growth factor, beta-induced, 68kDa
应用稀释比例:WB: 1:500-1:1000; IP: 1:200-1:1000; IHC : 1:20-1:200
纯度:≥95% as determined by SDS-PAGE
纯化:Protein A+G purified
保存说明:Maintain refrigerated at 2-8°C for up to 2 weeks. For long term storage store at -20°C in small aliquots to prevent freeze-thaw cycles.
UniProt ID:Q15582
Note:For research use only.

Hela cells were subjected to SDS PAGE followed by western blot with orb631852 (TGFBI antibody) at dilution of 1:600.

IP Result of anti-TGFBI / BIGH3 (IP: orb631852, 3 ug; Detection: orb631852 1:300) with HeLa cells lysate 1000 ug.

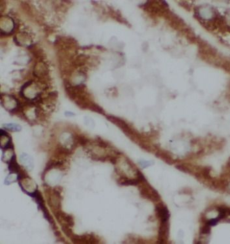
Immunohistochemistry of paraffin-embedded human kidney using orb631852 (BIGH3 antibody) at dilution of 1:50.
风险提示:丁香通仅作为第三方平台,为商家信息发布提供平台空间。用户咨询产品时请注意保护个人信息及财产安全,合理判断,谨慎选购商品,商家和用户对交易行为负责。对于医疗器械类产品,请先查证核实企业经营资质和医疗器械产品注册证情况。
技术资料暂无技术资料 索取技术资料
TGFBI Antibody抗体,orb631852,biorbyt
¥3120









