相关产品推荐更多 >
万千商家帮你免费找货
0 人在求购买到急需产品
- 详细信息
- 文献和实验
- 技术资料
- 抗体名:
STT3A Antibody抗体
- 抗体英文名:
STT3A Antibody
- 靶点:
STT3A
- 应用范围:
ELISA, IF, IHC, WB
- 宿主:
Rabbit
- 适应物种:
Human, Mouse, Rat
- 保质期:
6-12个月
- 抗原来源:
详询
- 目录编号:
orb631616
- 级别:
科研级
- 库存:
88
- 供应商:
biorbyt
- 标记物:
Unconjugated
- 克隆性:
Polyclonal
- 形态:
liquid
- 亚型:
IgG
- 免疫原:
STT3, subunit of the oligosaccharyltransferase complex, homolog A(S. cerevisiae)
- 规格:
50 ug
产品描述:Rabbit polyclonal antibody to STT3A
别名:ITM1, TMC
免疫原:STT3, subunit of the oligosaccharyltransferase complex, homolog A(S. cerevisiae)
应用稀释比例:WB: 1:1000-1:5000; IHC: 1:20-1:200; IF: 1:20-1:200
纯度:≥95% as determined by SDS-PAGE
纯化:Immunogen affinity purified
保存说明:Maintain refrigerated at 2-8°C for up to 2 weeks. For long term storage store at -20°C in small aliquots to prevent freeze-thaw cycles.
UniProt ID:P46977
Note:For research use only.



别名:ITM1, TMC
免疫原:STT3, subunit of the oligosaccharyltransferase complex, homolog A(S. cerevisiae)
应用稀释比例:WB: 1:1000-1:5000; IHC: 1:20-1:200; IF: 1:20-1:200
纯度:≥95% as determined by SDS-PAGE
纯化:Immunogen affinity purified
保存说明:Maintain refrigerated at 2-8°C for up to 2 weeks. For long term storage store at -20°C in small aliquots to prevent freeze-thaw cycles.
UniProt ID:P46977
Note:For research use only.

HEK-293 cells were subjected to SDS PAGE followed by western blot with orb631616 (STT3A Antibody) at dilution of 1:2000.

Immunofluorescent analysis of HEK-293 cells using orb631616 (STT3A antibody) at dilution of 1:50 and Alexa Fluor 488-conjugated Goat Anti-Rabbit IgG (H+L).

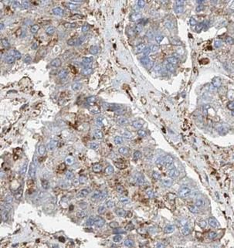
Immunohistochemistry of paraffin-embedded human pancreas cancer using orb631616 (STT3A antibody) at dilution of 1:50.
风险提示:丁香通仅作为第三方平台,为商家信息发布提供平台空间。用户咨询产品时请注意保护个人信息及财产安全,合理判断,谨慎选购商品,商家和用户对交易行为负责。对于医疗器械类产品,请先查证核实企业经营资质和医疗器械产品注册证情况。
文献和实验相关实验
10.15 Mol Cell 利用 Cas13 开发出经编程后杀死人细胞中 RNA 病毒的新技术——CARVER
of Virology:拉沙热病毒囊膜糖蛋白 N-糖基化修饰新机制拉沙热病毒(Lassa virus,LASV)囊膜糖蛋白 GP 高度糖基化,在其躲避宿主抗体中和过程中起重要作用,但是其糖基化过程的具体机制仍不明确。近日,生物安全大科学中心/武汉病毒所肖庚富团队利用质谱技术对 LASV GP 蛋白的互作宿主蛋白进行鉴定,发现宿主寡糖转移酶(OST)复合物中 STT3B 和 LASV GP 蛋白存在较强互作。哺乳动物细胞内 OST 复合物的催化亚基存在 STT3A 和 STT3B 两种亚型,通常情况下,STT3B 型
技术资料暂无技术资料 索取技术资料
STT3A Antibody抗体,orb631616,biorbyt
¥3120











