相关产品推荐更多 >
万千商家帮你免费找货
0 人在求购买到急需产品
- 详细信息
- 技术资料
- 抗体名:
NAMPT Antibody抗体
- 抗体英文名:
NAMPT Antibody
- 靶点:
NAMPT
- 应用范围:
ELISA, IF, IHC, WB
- 宿主:
Mouse
- 适应物种:
Human, Mouse, Rat
- 保质期:
6-12个月
- 抗原来源:
详询
- 目录编号:
orb632924
- 级别:
科研级
- 库存:
88
- 供应商:
biorbyt
- 标记物:
Unconjugated
- 克隆性:
Monoclonal
- 形态:
liquid
- 亚型:
IgG2b
- 免疫原:
nicotinamide phosphoribosyltransferase
- 规格:
50 ug
产品描述:Mouse monoclonal antibody to Visfatin 1
别名:1110035O14Rik, DKFZp666B131, NAmPRTase, NAMPT, PBEF, PBEF1, Pre B cell enhancing factor, VF, VISFATIN
免疫原:nicotinamide phosphoribosyltransferase
分子量:52 kDa
应用稀释比例:WB: 1:1000-1:4000; IHC: 1:50-1:500; IF: 1:50-1:500
纯度:≥95% as determined by SDS-PAGE
纯化:protein A+G purified
保存说明:Maintain refrigerated at 2-8°C for up to 2 weeks. For long term storage store at -20°C in small aliquots to prevent freeze-thaw cycles.
UniProt ID:P43490
Note:For research use only.



别名:1110035O14Rik, DKFZp666B131, NAmPRTase, NAMPT, PBEF, PBEF1, Pre B cell enhancing factor, VF, VISFATIN
免疫原:nicotinamide phosphoribosyltransferase
分子量:52 kDa
应用稀释比例:WB: 1:1000-1:4000; IHC: 1:50-1:500; IF: 1:50-1:500
纯度:≥95% as determined by SDS-PAGE
纯化:protein A+G purified
保存说明:Maintain refrigerated at 2-8°C for up to 2 weeks. For long term storage store at -20°C in small aliquots to prevent freeze-thaw cycles.
UniProt ID:P43490
Note:For research use only.

rat heart tissue were subjected to SDS PAGE followed by western blot with orb632924 (Visfatin antibody) at dilution of 1:2000.

Immunofluorescent analysis of (-20℃ Ethanol) fixed HeLa cells using orb632924 (Visfatin antibody) at dilution of 1:100 and Alexa Fluor 488-conjugated Goat Anti-Mouse IgG (H+L).

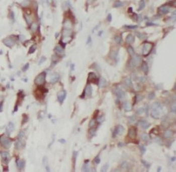
Immunohistochemistry of paraffin-embedded human breast cancer tissue slide using orb632924 (Visfatin antibody ) at dilution of 1:200.
风险提示:丁香通仅作为第三方平台,为商家信息发布提供平台空间。用户咨询产品时请注意保护个人信息及财产安全,合理判断,谨慎选购商品,商家和用户对交易行为负责。对于医疗器械类产品,请先查证核实企业经营资质和医疗器械产品注册证情况。
技术资料暂无技术资料 索取技术资料
NAMPT Antibody抗体,orb632924,biorbyt
¥2860










