相关产品推荐更多 >
万千商家帮你免费找货
0 人在求购买到急需产品
- 详细信息
- 技术资料
- 抗体名:
PNPase antibody抗体
- 抗体英文名:
PNPase antibody
- 靶点:
PNPase
- 浓度:
1 mg/ml
- 应用范围:
IHC-P, IP, WB
- 宿主:
Rabbit
- 适应物种:
Human, Mouse
- 保质期:
6-12个月
- 抗原来源:
详询
- 目录编号:
orb556969
- 级别:
科研级
- 库存:
88
- 供应商:
biorbyt
- 标记物:
Unconjugated
- 克隆性:
Polyclonal
- 形态:
Liquid: 0.1M Tris, 0.1M Glycine, 20% Glycerol (pH7). 0.01% Thimerosal was added as a preservative.
- 亚型:
IgG
- 免疫原:
Recombinant protein encompassing a sequence within the N-terminus region of human PNPase. The exact sequence is proprietary.
- 规格:
100 ul
产品描述:Rabbit polyclonal antibody to PNPase
别名:polyribonucleotide nucleotidyltransferase 1 , COXPD13 , DFNB70 , OLD35 , PNPASE , old-35
免疫原:Recombinant protein encompassing a sequence within the N-terminus region of human PNPase. The exact sequence is proprietary.
分子量:86
应用稀释比例:WB: 1:500-1:3000 , IHC-P: 1:100-1:1000
应用注释:Positive control: Mouse liver , Jurkat
纯度:Purified by antigen-affinity chromatography.
防腐剂:0.01% Thimerosal. 0.1M Tris-Glycine (pH7), 20% Glycerol
纯化:Purified by antigen-affinity chromatography.
保存说明:Store as concentrated solution. Centrifuge briefly prior to opening vial. For short-term storage (1-2 weeks), store at 4°C. For long-term storage, aliquot and store at -20°lC or below. Avoid multiple freeze-thaw cycles.
UniProt ID:Q8TCS8
Note:For research use only.



别名:polyribonucleotide nucleotidyltransferase 1 , COXPD13 , DFNB70 , OLD35 , PNPASE , old-35
免疫原:Recombinant protein encompassing a sequence within the N-terminus region of human PNPase. The exact sequence is proprietary.
分子量:86
应用稀释比例:WB: 1:500-1:3000 , IHC-P: 1:100-1:1000
应用注释:Positive control: Mouse liver , Jurkat
纯度:Purified by antigen-affinity chromatography.
防腐剂:0.01% Thimerosal. 0.1M Tris-Glycine (pH7), 20% Glycerol
纯化:Purified by antigen-affinity chromatography.
保存说明:Store as concentrated solution. Centrifuge briefly prior to opening vial. For short-term storage (1-2 weeks), store at 4°C. For long-term storage, aliquot and store at -20°lC or below. Avoid multiple freeze-thaw cycles.
UniProt ID:Q8TCS8
Note:For research use only.

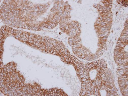
Immunohistochemical staining of human colon carcinoma using PNPase antibody

Western blot analysis of Jurkat lysate using PNPase antibody

Western blot analysis of mouse liver using PNPase antibody
风险提示:丁香通仅作为第三方平台,为商家信息发布提供平台空间。用户咨询产品时请注意保护个人信息及财产安全,合理判断,谨慎选购商品,商家和用户对交易行为负责。对于医疗器械类产品,请先查证核实企业经营资质和医疗器械产品注册证情况。
技术资料暂无技术资料 索取技术资料
PNPase antibody抗体,orb556969,biorbyt
¥6890










