相关产品推荐更多 >
万千商家帮你免费找货
0 人在求购买到急需产品
- 详细信息
- 技术资料
- 抗体名:
Villin antibody抗体
- 抗体英文名:
Villin antibody
- 靶点:
Villin
- 浓度:
1.29 mg/ml
- 应用范围:
ICC, IHC-Fr, IHC-P, WB
- 宿主:
Rabbit
- 适应物种:
Canine, Feline, Human, Mouse, Rat
- 保质期:
6-12个月
- 抗原来源:
详询
- 目录编号:
orb556653
- 级别:
科研级
- 库存:
88
- 供应商:
biorbyt
- 标记物:
Unconjugated
- 克隆性:
Polyclonal
- 形态:
Liquid: 1XPBS, 20% Glycerol (pH7). 0.025% ProClin 300 was added as a preservative.
- 亚型:
IgG
- 免疫原:
Recombinant protein encompassing a sequence within the N-terminus region of human Villin. The exact sequence is proprietary.
- 规格:
100 ul
产品描述:Rabbit polyclonal antibody to Villin
别名:villin 1 , D2S1471 , VIL
免疫原:Recombinant protein encompassing a sequence within the N-terminus region of human Villin. The exact sequence is proprietary.
分子量:93
应用稀释比例:WB: 1:500-1:10000 , IF: 1:100-1:1000 , IHC-P: 1:100-1:1000
应用注释:Positive control: rat kidney , mouse kidney , HepG2
纯度:Purified by antigen-affinity chromatography.
防腐剂:0.025% ProClin 300. 1XPBS (pH7), 20% Glycerol
纯化:Purified by antigen-affinity chromatography.
保存说明:Store as concentrated solution. Centrifuge briefly prior to opening vial. For short-term storage (1-2 weeks), store at 4°C. For long-term storage, aliquot and store at -20°lC or below. Avoid multiple freeze-thaw cycles.
UniProt ID:P09327
Note:For research use only.





别名:villin 1 , D2S1471 , VIL
免疫原:Recombinant protein encompassing a sequence within the N-terminus region of human Villin. The exact sequence is proprietary.
分子量:93
应用稀释比例:WB: 1:500-1:10000 , IF: 1:100-1:1000 , IHC-P: 1:100-1:1000
应用注释:Positive control: rat kidney , mouse kidney , HepG2
纯度:Purified by antigen-affinity chromatography.
防腐剂:0.025% ProClin 300. 1XPBS (pH7), 20% Glycerol
纯化:Purified by antigen-affinity chromatography.
保存说明:Store as concentrated solution. Centrifuge briefly prior to opening vial. For short-term storage (1-2 weeks), store at 4°C. For long-term storage, aliquot and store at -20°lC or below. Avoid multiple freeze-thaw cycles.
UniProt ID:P09327
Note:For research use only.

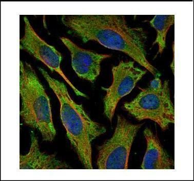
Immunofluorescence analysis of HeLa cells using Villin antibody

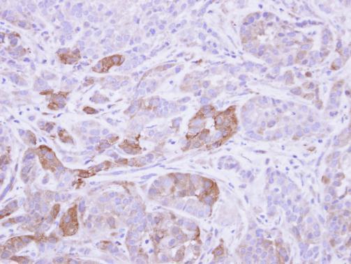
Immunohistochemical staining of A549 xenograft using Villin antibody

Western blot analysis of Whole cell extract using Villin antibody

Western blot analysis of Mouse tissue using Villin antibody

Western blot analysis of rat kidney lysate using Villin antibody
风险提示:丁香通仅作为第三方平台,为商家信息发布提供平台空间。用户咨询产品时请注意保护个人信息及财产安全,合理判断,谨慎选购商品,商家和用户对交易行为负责。对于医疗器械类产品,请先查证核实企业经营资质和医疗器械产品注册证情况。
技术资料暂无技术资料 索取技术资料
Villin antibody抗体,orb556653,biorbyt
¥6890










