相关产品推荐更多 >
万千商家帮你免费找货
0 人在求购买到急需产品
- 详细信息
- 技术资料
- 抗体名:
EPS8 antibody [C3], C-term抗体
- 抗体英文名:
EPS8 antibody [C3], C-term
- 靶点:
EPS8
- 浓度:
1 mg/ml
- 应用范围:
IHC-P, IP, WB
- 宿主:
Rabbit
- 适应物种:
Human, Mouse, Rat
- 保质期:
6-12个月
- 抗原来源:
详询
- 目录编号:
orb555896
- 级别:
科研级
- 库存:
88
- 供应商:
biorbyt
- 标记物:
Unconjugated
- 克隆性:
Polyclonal
- 形态:
Liquid: 1XPBS, 20% Glycerol (pH7). 0.01% Thimerosal was added as a preservative.
- 亚型:
IgG
- 免疫原:
Carrier-protein conjugated synthetic peptide encompassing a sequence within the C-terminus region of human EPS8. The exact sequence is proprietary.
- 规格:
100 ul
产品描述:Rabbit polyclonal antibody to EPS8
别名:epidermal growth factor receptor pathway substrate 8 , DFNB102
免疫原:Carrier-protein conjugated synthetic peptide encompassing a sequence within the C-terminus region of human EPS8. The exact sequence is proprietary.
分子量:92
应用稀释比例:WB: 1:500-1:3000 , IHC-P: 1:100-1:1000 , IP: 1:100-1:500
应用注释:Positive control: H1299 , HeLa , mouse brain , rat brain
纯度:Purified by antigen-affinity chromatography.
防腐剂:0.01% Thimerosal. 1XPBS (pH7), 20% Glycerol
纯化:Purified by antigen-affinity chromatography.
保存说明:Store as concentrated solution. Centrifuge briefly prior to opening vial. For short-term storage (1-2 weeks), store at 4°C. For long-term storage, aliquot and store at -20°lC or below. Avoid multiple freeze-thaw cycles.
UniProt ID:Q12929
Note:For research use only.
![EPS8 antibody [C3], C-term抗体,o](https://img1.dxycdn.com/p/s14/2025/1204/978/8469753668522756991.jpg)
![EPS8 antibody [C3], C-term抗体,o](https://img1.dxycdn.com/p/s14/2025/1204/352/6186454011522756991.jpg)
![EPS8 antibody [C3], C-term抗体,o](https://img1.dxycdn.com/p/s14/2025/1204/685/0420754321522756991.jpg)
![EPS8 antibody [C3], C-term抗体,o](https://img1.dxycdn.com/p/s14/2025/1204/956/0426850001522756991.jpg)
别名:epidermal growth factor receptor pathway substrate 8 , DFNB102
免疫原:Carrier-protein conjugated synthetic peptide encompassing a sequence within the C-terminus region of human EPS8. The exact sequence is proprietary.
分子量:92
应用稀释比例:WB: 1:500-1:3000 , IHC-P: 1:100-1:1000 , IP: 1:100-1:500
应用注释:Positive control: H1299 , HeLa , mouse brain , rat brain
纯度:Purified by antigen-affinity chromatography.
防腐剂:0.01% Thimerosal. 1XPBS (pH7), 20% Glycerol
纯化:Purified by antigen-affinity chromatography.
保存说明:Store as concentrated solution. Centrifuge briefly prior to opening vial. For short-term storage (1-2 weeks), store at 4°C. For long-term storage, aliquot and store at -20°lC or below. Avoid multiple freeze-thaw cycles.
UniProt ID:Q12929
Note:For research use only.
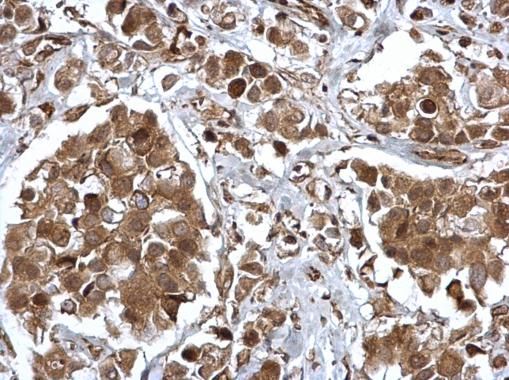
![EPS8 antibody [C3], C-term抗体,o](https://img1.dxycdn.com/p/s14/2025/1204/978/8469753668522756991.jpg)
Immunohistochemical staining of human breast carcinoma using EPS8 antibody
![EPS8 antibody [C3], C-term抗体,o](https://img1.dxycdn.com/p/s14/2025/1204/352/6186454011522756991.jpg)
Immunoprecipitation analysis of HepG2 whole cell using EPS8 antibody
![EPS8 antibody [C3], C-term抗体,o](https://img1.dxycdn.com/p/s14/2025/1204/685/0420754321522756991.jpg)
Western blot analysis of H1299(Lane 1), Hela(Lane 2) using EPS8 antibody
![EPS8 antibody [C3], C-term抗体,o](https://img1.dxycdn.com/p/s14/2025/1204/956/0426850001522756991.jpg)
Western blot analysis of H1299(Lane 1), Hela(Lane 2) using EPS8 antibody
风险提示:丁香通仅作为第三方平台,为商家信息发布提供平台空间。用户咨询产品时请注意保护个人信息及财产安全,合理判断,谨慎选购商品,商家和用户对交易行为负责。对于医疗器械类产品,请先查证核实企业经营资质和医疗器械产品注册证情况。
技术资料暂无技术资料 索取技术资料
EPS8 antibody [C3], C-term抗体,orb555896,biorbyt
¥6890


![EPS8 antibody [C3], C-term抗体,orb555896,biorbyt](https://img1.dxycdn.com/p/s14/2025/1204/381/8001351760443146991.jpg)







