相关产品推荐更多 >
万千商家帮你免费找货
0 人在求购买到急需产品
- 详细信息
- 文献和实验
- 技术资料
- 抗体名:
alpha 1a Adrenergic Receptor antibody抗体
- 抗体英文名:
alpha 1a Adrenergic Receptor antibody
- 靶点:
alpha 1a Adrenergic Receptor
- 浓度:
1 mg/ml
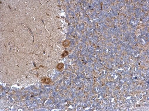
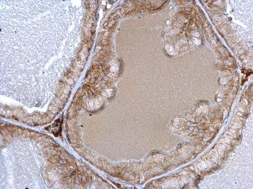
- 应用范围:
ICC, IHC-P, WB
- 宿主:
Rabbit
- 适应物种:
Feline, Human, Mouse, Rat
- 保质期:
6-12个月
- 抗原来源:
详询
- 目录编号:
orb555887
- 级别:
科研级
- 库存:
88
- 供应商:
biorbyt
- 标记物:
Unconjugated
- 克隆性:
Polyclonal
- 形态:
Liquid: 1XPBS, 20% Glycerol (pH7). 0.01% Thimerosal was added as a preservative.
- 亚型:
IgG
- 免疫原:
Carrier-protein conjugated synthetic peptide encompassing a sequence within the center region of human alpha 1a Adrenergic Receptor. The exact sequence is proprietary.
- 规格:
100 ul
别名:adrenoceptor alpha 1A , ADRA1C , ADRA1L1 , ALPHA1AAR
免疫原:Carrier-protein conjugated synthetic peptide encompassing a sequence within the center region of human alpha 1a Adrenergic Receptor. The exact sequence is proprietary.
分子量:51
应用稀释比例:WB: 1:500-1:3000 , IF: 1:100-1:1000 , IHC-P: 1:100-1:1000
应用注释:Positive control: Raji , Jurkat , Raji , NCI-H929
纯度:Purified by antigen-affinity chromatography.
防腐剂:0.01% Thimerosal. 1XPBS (pH7), 20% Glycerol
纯化:Purified by antigen-affinity chromatography.
保存说明:Store as concentrated solution. Centrifuge briefly prior to opening vial. For short-term storage (1-2 weeks), store at 4°C. For long-term storage, aliquot and store at -20°lC or below. Avoid multiple freeze-thaw cycles.
UniProt ID:P35348
Note:For research use only.






风险提示:丁香通仅作为第三方平台,为商家信息发布提供平台空间。用户咨询产品时请注意保护个人信息及财产安全,合理判断,谨慎选购商品,商家和用户对交易行为负责。对于医疗器械类产品,请先查证核实企业经营资质和医疗器械产品注册证情况。
文献和实验Adrenergic receptors (ARs) are G-protein-coupled transmembrane glyco-proteins that play a key role in mediating the sympathoadrenal response to stress. Pharmacological studies have suggested the existence of multiple adrenergic receptor subtypes
adrenergic receptor/Arg389Gly MDR1/C3435T il-2 il-4 il-10 TNF alpha IFN gamma hOGG1 bcr\abl human serum albumin VEGF165 GalNacT agouti-related protein, AGRP PAI-1 MDR1 MRP1 OPN U6 Promoter GFP MDR1 exon7~11 MDR1 exon12/14/18/20/22
Characterization of Adrenoceptors
Literature Cited Brede, M., Philipp, M., Knaus, A., Muthig, V., and Hein, L. 2004. Alpha‐2 adrenergic receptor subtypes
技术资料暂无技术资料 索取技术资料










