相关产品推荐更多 >
万千商家帮你免费找货
0 人在求购买到急需产品
- 详细信息
- 技术资料
- 抗体名:
cIAP2 Antibody抗体
- 抗体英文名:
cIAP2 Antibody
- 应用范围:
IF, IHC, WB
- 宿主:
Rabbit
- 适应物种:
Human
- 保质期:
6-12个月
- 抗原来源:
详询
- 目录编号:
orb411626
- 级别:
科研级
- 库存:
88
- 供应商:
biorbyt
- 标记物:
Unconjugated
- 克隆性:
Polyclonal
- 形态:
Liquid in 0.42% Potassium phosphate, 0.87% Sodium chloride, pH 7.3, 30% glycerol, and 0.01% sodium azide.
- 免疫原:
Recombinant fusion protein of human cIAP2
- 规格:
30 ul
产品描述:The cIAP2 Antibody is suitable for IF, IHC, WB. It is a Polyclonal, Unconjugated antibody which raised against Recombinant fusion protein of human cIAP2 .Purification: The antibody was purified by immunogen affinity chromatography.
别名:API2; IAP1; MIHC; RNF49; Baculoviral IAP repeat-containing protein 3; Apoptosis inhibitor 2; API2; C-IAP2; IAP homolog C; Inhibitor of apoptosis protein 1; IAP-1; hIAP-1; hIAP1; RING finger protein 49; TNFR2-TRAF-signaling complex protein 1
免疫原:Recombinant fusion protein of human cIAP2
应用稀释比例:WB: 1:500-2000
纯化:The antibody was purified by immunogen affinity chromatography.
保存说明:Maintain refrigerated at 2-8°C for up to 2 weeks. For long term storage store at -20°C in small aliquots to prevent freeze-thaw cycles.
Entrez:330
UniProt ID:Q13489
Note:For research use only.



别名:API2; IAP1; MIHC; RNF49; Baculoviral IAP repeat-containing protein 3; Apoptosis inhibitor 2; API2; C-IAP2; IAP homolog C; Inhibitor of apoptosis protein 1; IAP-1; hIAP-1; hIAP1; RING finger protein 49; TNFR2-TRAF-signaling complex protein 1
免疫原:Recombinant fusion protein of human cIAP2
应用稀释比例:WB: 1:500-2000
纯化:The antibody was purified by immunogen affinity chromatography.
保存说明:Maintain refrigerated at 2-8°C for up to 2 weeks. For long term storage store at -20°C in small aliquots to prevent freeze-thaw cycles.
Entrez:330
UniProt ID:Q13489
Note:For research use only.

Western blot analysis of cIAP2 expression in U937 (A) whole cell lysates. (Predicted band size: 68 kD; Observed band size: 75 kD)

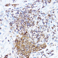
Immunohistochemical analysis of cIAP2 staining in human colon cancer formalin fixed paraffin embedded tissue section. The section was pre-treated using heat mediated antigen retrieval with sodium citrate buffer (pH 6.0). The section was then incubated with the antibody at room temperature and detected using an HRP conjugated compact polymer system. DAB was used as the chromogen. The section was then counterstained with haematoxylin and mounted with DPX.

Immunofluorescent analysis of cIAP2 staining in C6 cells. Formalin-fixed cells were permeabilized with 0.1% Triton X-100 in TBS for 5-10 minutes and blocked with 3% BSA-PBS for 30 minutes at room temperature. Cells were probed with the primary antibody in 3% BSA-PBS and incubated overnight at 4 °C in a humidified chamber. Cells were washed with PBST and incubated with a AF594-conjugated secondary antibody (red) in PBS at room temperature in the dark. DAPI was used to stain the cell nuclei (blue).
风险提示:丁香通仅作为第三方平台,为商家信息发布提供平台空间。用户咨询产品时请注意保护个人信息及财产安全,合理判断,谨慎选购商品,商家和用户对交易行为负责。对于医疗器械类产品,请先查证核实企业经营资质和医疗器械产品注册证情况。
技术资料暂无技术资料 索取技术资料
cIAP2 Antibody抗体,orb411626,biorbyt
¥1560










