相关产品推荐更多 >
万千商家帮你免费找货
0 人在求购买到急需产品
- 详细信息
- 技术资料
- 抗体名:
SLC6A5 antibody抗体
- 抗体英文名:
SLC6A5 antibody
- 靶点:
SLC6A5
- 浓度:
- 100 μg (in 200 μl): 0.5 mg/ml & - 200 μg (in 400 μl): 0.5 mg/ml
- 应用范围:
IHC-P, WB
- 宿主:
Rabbit
- 适应物种:
Mouse, Rat
- 保质期:
6-12个月
- 抗原来源:
详询
- 目录编号:
orb395803
- 级别:
科研级
- 库存:
88
- 供应商:
biorbyt
- 标记物:
Unconjugated
- 克隆性:
Polyclonal
- 形态:
10 mM PBS, 0.02% sodium azide
- 亚型:
IgG
- 免疫原:
KLH conjugated synthetic peptide derived from human SLC6A5. Please contact us for the exact immunogen sequence.
- 规格:
100 ug
产品描述:SLC6A5 antibody
免疫原:KLH conjugated synthetic peptide derived from human SLC6A5. Please contact us for the exact 免疫原 sequence.
预测反应性:Human
分子量:87 kDa
应用稀释比例:IHC-P: 1: 100-600, WB: 1:100-800
纯度:Polyclonal antibodies are purified by peptide affinity chromatography
保存说明:Maintain refrigerated at 2-8°C for up to 2 weeks. For long term storage store at -20°C in small aliquots to prevent freeze-thaw cycles.
NCBI:001305298, 001318369
Entrez:9152
UniProt ID:P58295, Q9Y345, Q761V0
Note:For research use only.



免疫原:KLH conjugated synthetic peptide derived from human SLC6A5. Please contact us for the exact 免疫原 sequence.
预测反应性:Human
分子量:87 kDa
应用稀释比例:IHC-P: 1: 100-600, WB: 1:100-800
纯度:Polyclonal antibodies are purified by peptide affinity chromatography
保存说明:Maintain refrigerated at 2-8°C for up to 2 weeks. For long term storage store at -20°C in small aliquots to prevent freeze-thaw cycles.
NCBI:001305298, 001318369
Entrez:9152
UniProt ID:P58295, Q9Y345, Q761V0
Note:For research use only.

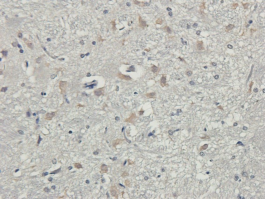
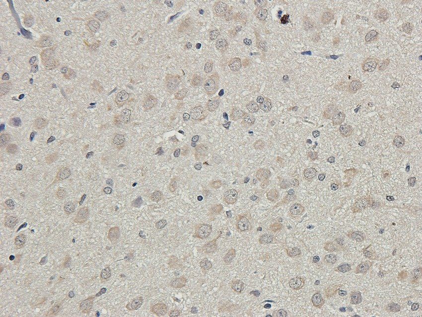
Immunohistochemical staining of rat brain tissue using anti-SLC6A5 (2.5 ug/ml)

Western blot analysis of rat spinal cord (lane 1), mouse brain (lane2), mouse testis (lane 3), rat bone marrow (lane4), rat lung (lane 5), rat heart (lane 6), tissue using SLC6A5 antibody (0.5 ug/ml)

Immunohistochemical staining of paraffin embedded rat brain tissue using SLC6A5 antibody (2.5 ug/ml)
风险提示:丁香通仅作为第三方平台,为商家信息发布提供平台空间。用户咨询产品时请注意保护个人信息及财产安全,合理判断,谨慎选购商品,商家和用户对交易行为负责。对于医疗器械类产品,请先查证核实企业经营资质和医疗器械产品注册证情况。
技术资料暂无技术资料 索取技术资料
SLC6A5 antibody抗体,orb395803,biorbyt
¥3640










