相关产品推荐更多 >
万千商家帮你免费找货
0 人在求购买到急需产品
- 详细信息
- 文献和实验
- 技术资料
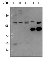
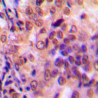
- 抗体名:
NF-kappaB p105/p50 Antibody抗体
- 抗体英文名:
NF-kappaB p105/p50 Antibody
- 应用范围:
IF, IHC, WB
- 宿主:
Rabbit
- 适应物种:
Bovine, Canine, Gallus, Human, Mouse, Porcine, Rat
- 保质期:
6-12个月
- 抗原来源:
详询
- 目录编号:
orb393122
- 级别:
科研级
- 库存:
88
- 供应商:
biorbyt
- 标记物:
Unconjugated
- 克隆性:
Polyclonal
- 形态:
Liquid in 0.42% Potassium phosphate, 0.87% Sodium chloride, pH 7.3, 30% glycerol, and 0.01% sodium azide.
- 免疫原:
KLH-conjugated synthetic peptide encompassing a sequence within the center region of human NF-kappaB p105/p50. The exact sequence is proprietary.
- 规格:
30 ul
别名:Nuclear factor NF-kappa-B p105 subunit; DNA-binding factor KBF1; EBP-1; Nuclear factor of kappa light polypeptide gene enhancer in B-cells 1
免疫原:KLH-conjugated synthetic peptide encompassing a sequence within the center region of human NF-kappaB p105/p50. The exact sequence is proprietary.
应用稀释比例:WB: 1:500:1000, IHC-P: 1:100:200
纯化:The antibody was purified by immunogen affinity chromatography.
保存说明:Maintain refrigerated at 2-8°C for up to 2 weeks. For long term storage store at -20°C in small aliquots to prevent freeze-thaw cycles.
Entrez:4790, 18033
UniProt ID:Q63369, P25799, P19838
Note:For research use only.



风险提示:丁香通仅作为第三方平台,为商家信息发布提供平台空间。用户咨询产品时请注意保护个人信息及财产安全,合理判断,谨慎选购商品,商家和用户对交易行为负责。对于医疗器械类产品,请先查证核实企业经营资质和医疗器械产品注册证情况。
文献和实验【进展|热点】Nature Immunology:发现三个调控NF-kB非经典信号通路的microRNA
://www.nature.com/ni/journal/v11/n9/abs/ni.1918.html 内容简介: NF-κB是一组重要的转录因子,参与了诸多免疫反应过程,其中最为人熟知的就是在天然免疫中,NF-κB是最终启动炎症因子表达的因素之一。 NF-κB家族包括5个成员,即RelA(p65)、RelB、c-Rel、p105-p50(NF-κB1)和p100-p52(NF-κB2),两两形成同源或者异源二聚体的形式发挥作用。通常情况下,NF-κB与其抑制蛋白IκB(包括IκBα、IκBβ
技术资料暂无技术资料 索取技术资料











