相关产品推荐更多 >
万千商家帮你免费找货
0 人在求购买到急需产品
- 详细信息
- 文献和实验
- 技术资料
- 抗体名:
PRDM4 Antibody抗体
- 抗体英文名:
PRDM4 Antibody
- 靶点:
PRDM4
- 浓度:
Approximately 1mg/ml (varies from batch to batch). Please inquire for precise concentration.
- 应用范围:
FC, IHC
- 宿主:
Mouse
- 适应物种:
Human
- 保质期:
6-12个月
- 抗原来源:
详询
- 目录编号:
orb333919
- 级别:
科研级
- 库存:
88
- 供应商:
biorbyt
- 标记物:
Unconjugated
- 克隆性:
Monoclonal
- 亚型:
Mouse IgG1
- 免疫原:
Purified recombinant fragment of human PRDM4 (AA: 476-575) expressed in E. Coli.
- 规格:
100 ul
产品描述:Mouse monoclonal antibody to PRDM4
别名:PFM1
免疫原:Purified recombinant fragment of human PRDM4 (AA: 476-575) expressed in E. Coli.
克隆性:4B6E8
分子量:88kDa
应用稀释比例:IHC: 1/200 - 1/1000; FCM: 1/200 - 1/400; ELISA: 1/10000
防腐剂:Purified antibody in PBS with 0.05% sodium azide
保存说明:Maintain refrigerated at 2-8°C for up to 2 weeks. For long term storage store at -20°C in small aliquots to prevent freeze-thaw cycles.
Entrez:11108
UniProt ID:Q9UKN5
Note:For research use only.






别名:PFM1
免疫原:Purified recombinant fragment of human PRDM4 (AA: 476-575) expressed in E. Coli.
克隆性:4B6E8
分子量:88kDa
应用稀释比例:IHC: 1/200 - 1/1000; FCM: 1/200 - 1/400; ELISA: 1/10000
防腐剂:Purified antibody in PBS with 0.05% sodium azide
保存说明:Maintain refrigerated at 2-8°C for up to 2 weeks. For long term storage store at -20°C in small aliquots to prevent freeze-thaw cycles.
Entrez:11108
UniProt ID:Q9UKN5
Note:For research use only.

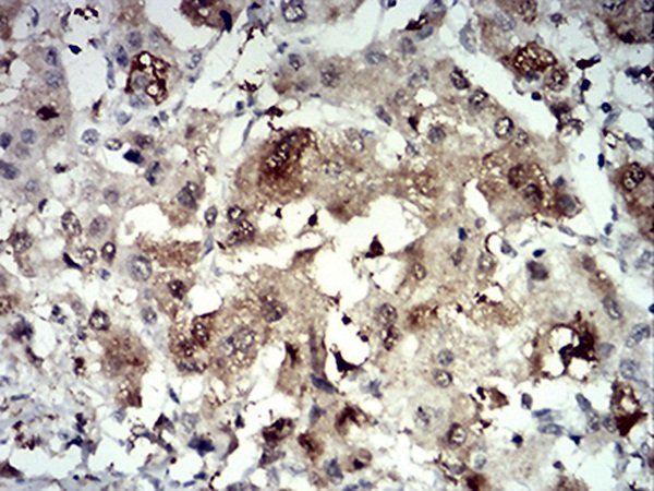
Immunohistochemical analysis of formalin-fixed and paraffin-embedded liver cancer tissues using PRDM4 antibody

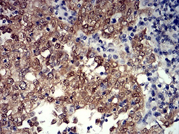
Immunohistochemical analysis of formalin-fixed and paraffin-embedded endometrial cancer tissues using PRDM4 antibody

Western blot analysis of human recombinant protein using PRDM4 antibody

Western blot analysis of HEK293 using PRDM4 antibody

ELISA Black line: Control Antigen (100 ng); Purple line: Antigen(10ng); Blue line: Antigen (50 ng); Red line: Antigen (100 ng)

Flow cytometric analysis of Hela cells using PRDM4 antibody
风险提示:丁香通仅作为第三方平台,为商家信息发布提供平台空间。用户咨询产品时请注意保护个人信息及财产安全,合理判断,谨慎选购商品,商家和用户对交易行为负责。对于医疗器械类产品,请先查证核实企业经营资质和医疗器械产品注册证情况。
文献和实验相关实验
GO:0045449:regulation of transcription ZNF583, SNIP1, PDX1, ZNF253, PDCD4, CBX7, SKAP1, IL11, ARHGAP22, BZW1, APP, LBH, GFI1B, MED29, RAB26, SSBP2, POGZ, OTX1, SLA2, SOX12, ARID5A, HDAC10, FOSB, HDAC11, SPEN, NPAS4, UBN1, CCNL2, ZNF192, CCR6, PRDM4
技术资料暂无技术资料 索取技术资料
PRDM4 Antibody抗体,orb333919,biorbyt
¥4550










