相关产品推荐更多 >

Double Stranded DNA (dsDNA) (Nuclear Marker) Antibody - With BSA and Azide 抗体,orb1789465,Biorbyt
¥5889
CK10 Antibody (BF350) 抗体,orb1577736,Biorbyt
¥4796
IRF2BP2 Antibody - C-terminal region : HRP 抗体,orb2090234,Biorbyt
¥8216
CREB3L3 Antibody (BF488) 抗体,orb1598211,Biorbyt
¥4796
CD63 Antibody 抗体,orb1789531,Biorbyt
¥5889
万千商家帮你免费找货
0 人在求购买到急需产品
- 详细信息
- 技术资料
- 抗体名:
Nesprin 1 antibody抗体
- 抗体英文名:
Nesprin 1 antibody
- 靶点:
Nesprin 1
- 浓度:
- 100 μg (in 200 μl): 0.5 mg/ml- 200 μg (in 400 μl): 0.5 mg/ml
- 应用范围:
IHC-P, WB
- 宿主:
Rabbit
- 适应物种:
Human, Mouse, Rat
- 保质期:
6-12个月
- 抗原来源:
详询
- 目录编号:
orb221707
- 级别:
科研级
- 库存:
88
- 供应商:
biorbyt
- 标记物:
Unconjugated
- 克隆性:
Polyclonal
- 形态:
10 mM PBS, 0.02% sodium azide
- 亚型:
IgG
- 免疫原:
KLH conjugated synthetic peptide derived from human Nesprin 1. Please contact us for the exact immunogen sequence. The peptide is available as orb12948.
- 规格:
100 ug
产品描述:Nesprin 1 antibody
别名:anti CPG2 antibody, anti Enaptin antibody, anti Myne-1 antibody, anti MYNE1 antibody, anti Myocyte nuclear envelope protein 1 antibody, anti Nesprin-1 antibody, anti Nuclear envelope spectrin repeat protein 1 antibody, anti SCAR8 antibody, anti Synaptic nuclear envelope protein 1 antibody, anti Syne-1 antibody, anti SYNE1 antibody, anti SYNE1_HUMAN antibody, anti SYNE1B antibody
免疫原:KLH conjugated synthetic peptide derived from human Nesprin 1. Please contact us for the exact 免疫原 sequence. The peptide is available as orb12948.
预测反应性:Bovine, Canine, Equine, Sheep
分子量:112 kDa
应用稀释比例:IHC-P: 1:100-600, WB: 1:200-2000
纯度:Polyclonal antibodies are purified by peptide affinity chromatography
保存说明:Maintain refrigerated at 2-8°C for up to 2 weeks. For long term storage store at -20°C in small aliquots to prevent freeze-thaw cycles.
Entrez:23345
UniProt ID:Q8NF91, Q6ZWR6
Note:For research use only.





别名:anti CPG2 antibody, anti Enaptin antibody, anti Myne-1 antibody, anti MYNE1 antibody, anti Myocyte nuclear envelope protein 1 antibody, anti Nesprin-1 antibody, anti Nuclear envelope spectrin repeat protein 1 antibody, anti SCAR8 antibody, anti Synaptic nuclear envelope protein 1 antibody, anti Syne-1 antibody, anti SYNE1 antibody, anti SYNE1_HUMAN antibody, anti SYNE1B antibody
免疫原:KLH conjugated synthetic peptide derived from human Nesprin 1. Please contact us for the exact 免疫原 sequence. The peptide is available as orb12948.
预测反应性:Bovine, Canine, Equine, Sheep
分子量:112 kDa
应用稀释比例:IHC-P: 1:100-600, WB: 1:200-2000
纯度:Polyclonal antibodies are purified by peptide affinity chromatography
保存说明:Maintain refrigerated at 2-8°C for up to 2 weeks. For long term storage store at -20°C in small aliquots to prevent freeze-thaw cycles.
Entrez:23345
UniProt ID:Q8NF91, Q6ZWR6
Note:For research use only.

IHC-P image of pig heart tissue using Nesprin 1 antibody (2.5 ug/ml)

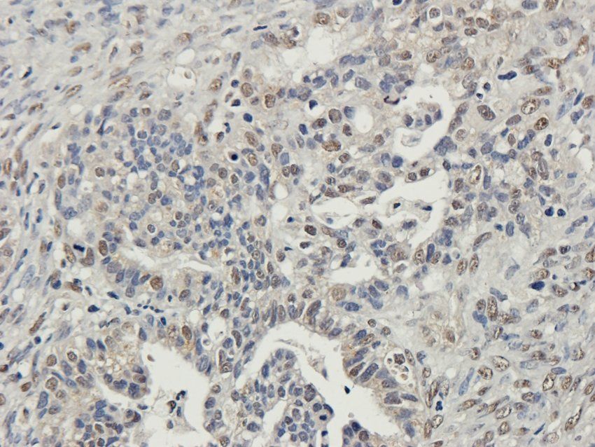
Immunohistochemical staining of human ovarina cancer tissue using anti-Nesprin 1 (2.5 ug/ml)

IHC-P staining of guinea pig cerebel tissue using Nesprin 1 antibody (2.5 ug/ml)

Western blot analysis of rat muscle (lane 1), rat heart (lane 2), mouse spleen (lane 3), u251 cells (lane 4), hela cells (lane 5), human breast cancer (lane 6) using Nesprin 1 antibody (1 ug/ml)

IHC-P staining of rat pancreas tissue using anti-Nesprin 1 (2.5 ug/ml)
风险提示:丁香通仅作为第三方平台,为商家信息发布提供平台空间。用户咨询产品时请注意保护个人信息及财产安全,合理判断,谨慎选购商品,商家和用户对交易行为负责。对于医疗器械类产品,请先查证核实企业经营资质和医疗器械产品注册证情况。
技术资料暂无技术资料 索取技术资料
Nesprin 1 antibody抗体,orb221707,biorbyt
¥3640





