相关产品推荐更多 >
万千商家帮你免费找货
0 人在求购买到急需产品
- 详细信息
- 文献和实验
- 技术资料
- 抗体名:
Calponin-1 (Smooth Muscle Marker) Antibody抗体
- 抗体英文名:
Calponin-1 (Smooth Muscle Marker) Antibody
- 靶点:
CNN1
- 应用范围:
FC, IF, IHC, WB
- 宿主:
Mouse
- 适应物种:
Human, Rat
- 保质期:
6-12个月
- 抗原来源:
详询
- 目录编号:
orb387998
- 级别:
科研级
- 库存:
88
- 供应商:
biorbyt
- 标记物:
Unconjugated
- 克隆性:
Monoclonal
- 保存条件:
参考说明书
- 形态:
200ug/ml of Ab produced in CHO cell mammalian-based expression system. Prepared in 10mM PBS with 0.05% rAlbumin & 0.05% azide. Also available WITHOUT rAlbumin & azide at 1.0mg/ml.
- 亚型:
IgG1
- 免疫原:
Recombinant full-length human CNN1 protein
- 规格:
20 ug
产品描述:Mouse monoclonal antibody to CNN1
别名:Calponin 1 basic smooth muscle; Calponin H1 smooth muscle; Calponin-1; CNN1; Cnn1; Sm Calp; SMCC
免疫原:Recombinant full-length human CNN1 protein
克隆性:CNN1/832
分子量:34kDa
应用稀释比例:FACS: 0.5-1 μg/million cells, IF/ICC: 1-2 μg/ml, IHC-P: 0.5-1 μg/ml
应用注释:Calponin-1 (Smooth Muscle Marker)
保存说明:Maintain refrigerated at 2-8°C for up to 2 weeks. For long term storage store at -20°C in small aliquots to prevent freeze-thaw cycles.
Pubmed:40513941
UniProt ID:P51911
Note:For research use only.



别名:Calponin 1 basic smooth muscle; Calponin H1 smooth muscle; Calponin-1; CNN1; Cnn1; Sm Calp; SMCC
免疫原:Recombinant full-length human CNN1 protein
克隆性:CNN1/832
分子量:34kDa
应用稀释比例:FACS: 0.5-1 μg/million cells, IF/ICC: 1-2 μg/ml, IHC-P: 0.5-1 μg/ml
应用注释:Calponin-1 (Smooth Muscle Marker)
保存说明:Maintain refrigerated at 2-8°C for up to 2 weeks. For long term storage store at -20°C in small aliquots to prevent freeze-thaw cycles.
Pubmed:40513941
UniProt ID:P51911
Note:For research use only.

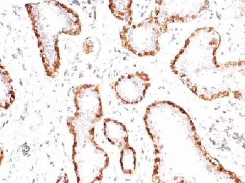
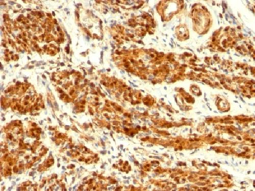
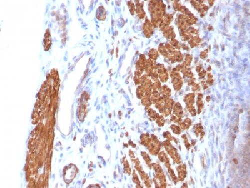
Immunohistochemical staining of human Breast Carcinoma tissue using CNN1 antibody

Immunohistochemical staining of human Uterus tissue using CNN1 antibody

Immunohistochemical staining of rat Uterus tissue using CNN1 antibody
风险提示:丁香通仅作为第三方平台,为商家信息发布提供平台空间。用户咨询产品时请注意保护个人信息及财产安全,合理判断,谨慎选购商品,商家和用户对交易行为负责。对于医疗器械类产品,请先查证核实企业经营资质和医疗器械产品注册证情况。
文献和实验该产品被引用文献
Jia-Bao Su 1, Guo Chen 2, Qing-Yi Sun 2, Xiao Fu 2, Li-Xue Wu 3, Hong-Bo Qiu 2, Zhuo-Lin Lv 2, Jin-Yi Hu 2, Yao Wang 2, You-Yi Zhuang 2, Hai-Jian Sun 4, Qing-Bo Lu 5, Ji-Ru Zhang 6, Xue-Xue Zhu USP48 protects against myocardial ischemia-reperfusion injury by stabilizing and upregulating CNN1 in type 1 diabetes mice Metabolism, (2025)
技术资料暂无技术资料 索取技术资料
文献支持
Calponin-1 (Smooth Muscle Marker) Antibody抗体,orb387998,biorbyt
¥4420










