相关产品推荐更多 >

PTPN22 Antibody抗体,orb1260113,biorbyt
¥10400
Immunosuppression PathPlex Panel (CD3E, Cytokeratin, CD8 alpha, CD68, PD-L1, FOXP3)抗体,orb1519156,biorbyt
¥34840
Anti-Integrin aVb3 (ITGAV & ITGB3) Reference Antibody 抗体,orb1805664,Biorbyt
¥781
MLF2 Antibody - C-terminal region : Biotin 抗体,orb2116630,Biorbyt
¥8216
CCDC106 Rabbit Polyclonal Antibody抗体,orb100277,biorbyt
¥3120
万千商家帮你免费找货
0 人在求购买到急需产品
- 详细信息
- 技术资料
- 抗体名:
Cystatin A Antibody抗体
- 抗体英文名:
Cystatin A Antibody
- 应用范围:
IF, IHC, WB
- 宿主:
Rabbit
- 适应物种:
Human, Mouse, Rat
- 保质期:
6-12个月
- 抗原来源:
详询
- 目录编号:
orb338840
- 级别:
科研级
- 库存:
88
- 供应商:
biorbyt
- 标记物:
Unconjugated
- 克隆性:
Polyclonal
- 形态:
Liquid in 0.42% Potassium phosphate, 0.87% Sodium chloride, pH 7.3, 30% glycerol, and 0.01% sodium azide.
- 免疫原:
KLH-conjugated synthetic peptide encompassing a sequence within the center region of human Cystatin A. The exact sequence is proprietary.
- 规格:
30 ul
产品描述:The Cystatin A Antibody is suitable for IF, IHC, WB. It is a Polyclonal, Unconjugated antibody which raised against KLH-conjugated synthetic peptide encompassing a sequence within the center region of human Cystatin A. The exact sequence is proprietary. Purification: The antibody was purified by immunogen affinity chromatography.
别名:STF1; STFA; Cystatin-A; Cystatin-AS; Stefin-A
免疫原:KLH-conjugated synthetic peptide encompassing a sequence within the center region of human Cystatin A. The exact sequence is proprietary.
应用稀释比例:WB: 1:500-1000, IHC-P: 1:100-200, IF/ICC: 1:100-500
纯化:The antibody was purified by immunogen affinity chromatography.
保存说明:Maintain refrigerated at 2-8°C for up to 2 weeks. For long term storage store at -20°C in small aliquots to prevent freeze-thaw cycles.
Entrez:1475, 209294, 288075
UniProt ID:P01039, P01040, P56567
Note:For research use only.



别名:STF1; STFA; Cystatin-A; Cystatin-AS; Stefin-A
免疫原:KLH-conjugated synthetic peptide encompassing a sequence within the center region of human Cystatin A. The exact sequence is proprietary.
应用稀释比例:WB: 1:500-1000, IHC-P: 1:100-200, IF/ICC: 1:100-500
纯化:The antibody was purified by immunogen affinity chromatography.
保存说明:Maintain refrigerated at 2-8°C for up to 2 weeks. For long term storage store at -20°C in small aliquots to prevent freeze-thaw cycles.
Entrez:1475, 209294, 288075
UniProt ID:P01039, P01040, P56567
Note:For research use only.

Western blot analysis of Cystatin A expression in K562 (A), HT29 (B), A549 (C) whole cell lysates. (Predicted band size: 11 kD; Observed band size: 11 kD)

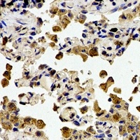
Immunohistochemical analysis of Cystatin A staining in human lung cancer formalin fixed paraffin embedded tissue section. The section was pre-treated using heat mediated antigen retrieval with sodium citrate buffer (pH 6.0). The section was then incubated with the antibody at room temperature and detected using an HRP conjugated compact polymer system. DAB was used as the chromogen. The section was then counterstained with haematoxylin and mounted with DPX.

Immunofluorescent analysis of Cystatin A staining in A549 cells. Formalin-fixed cells were permeabilized with 0.1% Triton X-100 in TBS for 5-10 minutes and blocked with 3% BSA-PBS for 30 minutes at room temperature. Cells were probed with the primary antibody in 3% BSA-PBS and incubated overnight at 4 °C in a hidified chamber. Cells were washed with PBST and incubated with a DyLight 594-conjugated secondary antibody (red) in PBS at room temperature in the dark. DAPI was used to stain the cell nuclei (blue).
风险提示:丁香通仅作为第三方平台,为商家信息发布提供平台空间。用户咨询产品时请注意保护个人信息及财产安全,合理判断,谨慎选购商品,商家和用户对交易行为负责。对于医疗器械类产品,请先查证核实企业经营资质和医疗器械产品注册证情况。
技术资料暂无技术资料 索取技术资料
Cystatin A Antibody抗体,orb338840,biorbyt
¥1560





