相关产品推荐更多 >
万千商家帮你免费找货
0 人在求购买到急需产品
- 详细信息
- 文献和实验
- 技术资料
- 抗体名:
OPG antibody抗体
- 抗体英文名:
OPG antibody
- 靶点:
OPG
- 浓度:
- 100 μg (in 200 μl): 0.5 mg/ml- 200 μg (in 400 μl): 0.5 mg/ml
- 应用范围:
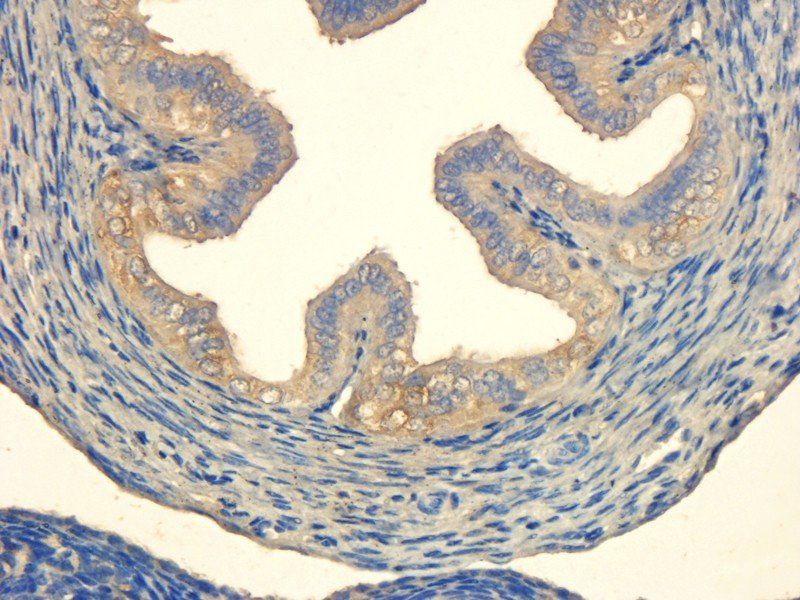
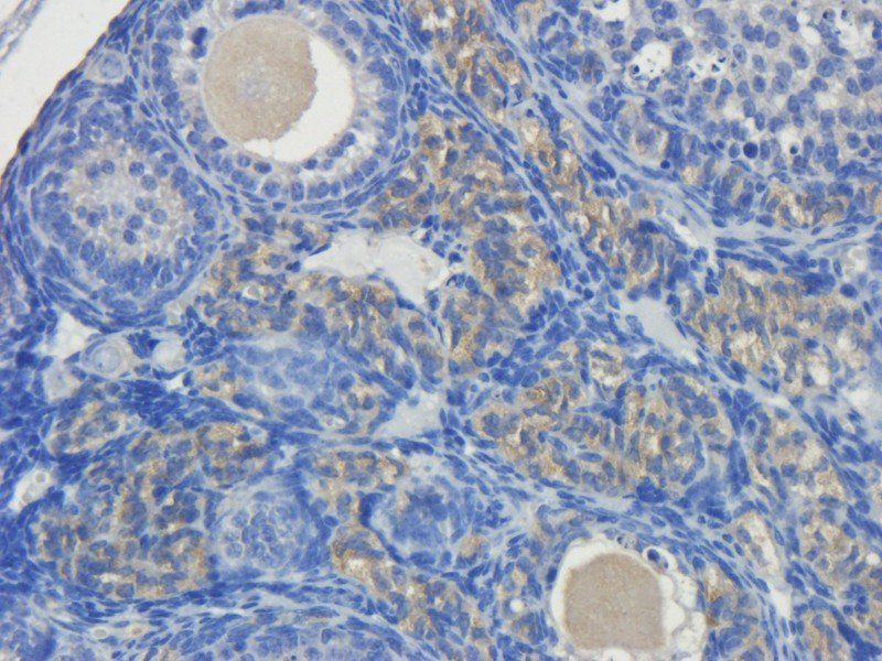
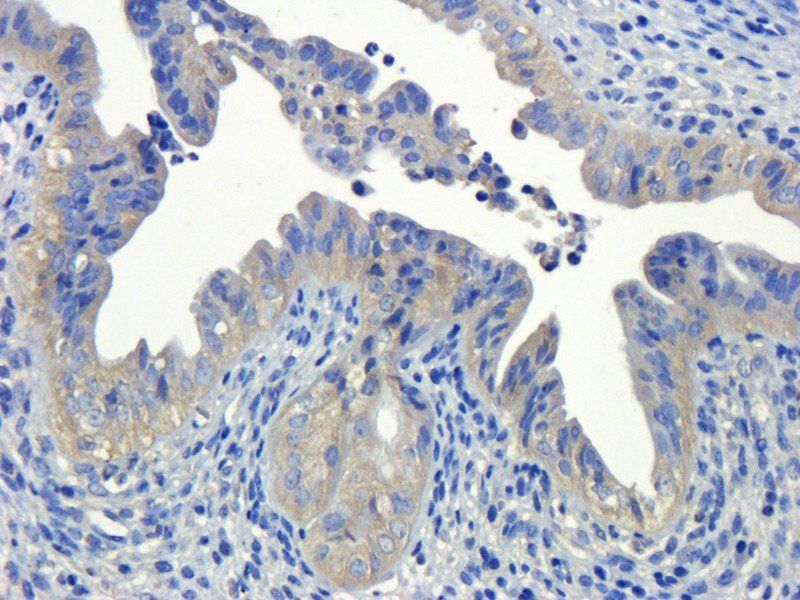
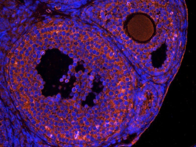
ELISA, ICC, IF, IHC-P, WB
- 宿主:
Rabbit
- 适应物种:
Bovine, Canine, Human, Mouse, Rat
- 保质期:
6-12个月
- 抗原来源:
详询
- 目录编号:
orb247239
- 级别:
科研级
- 库存:
88
- 供应商:
biorbyt
- 标记物:
Unconjugated
- 克隆性:
Polyclonal
- 形态:
10 mM PBS, 0.02% sodium azide
- 亚型:
IgG
- 免疫原:
KLH conjugated synthetic peptide derived from human OPG. Please contact us for the exact immunogen sequence. The peptide is available as orb12899.
- 规格:
100 ug
别名:anti TNFRSF11B antibody, anti Osteoprotegerin antibody, anti TR1 antibody, anti OCIF antibody
免疫原:KLH conjugated synthetic peptide derived from human OPG. Please contact us for the exact 免疫原 sequence. The peptide is available as orb12899.
分子量:43 kDa
应用稀释比例:WB: 1:100-500, IHC-P: 1:100-500 (based on 0.5 mg/ml)
纯度:Purified by Protein A affinity chromatography.
保存说明:Maintain refrigerated at 2-8°C for up to 2 weeks. For long term storage store at -20°C in small aliquots to prevent freeze-thaw cycles.
Pubmed:35813311
NCBI:31, 002537, 002546
Entrez:4982
UniProt ID:O00300
Note:For research use only.










风险提示:丁香通仅作为第三方平台,为商家信息发布提供平台空间。用户咨询产品时请注意保护个人信息及财产安全,合理判断,谨慎选购商品,商家和用户对交易行为负责。对于医疗器械类产品,请先查证核实企业经营资质和医疗器械产品注册证情况。
文献和实验人 骨保护素(OPG ) 酶联免疫分析(ELISA ) 试剂盒使用说明书 本试剂仅供研究使用 目的:本试剂盒用于测定人血清,血浆及相关液体样本中 骨保护素(OPG ) 的 含量。 实验原理: 本试剂盒应用双抗体夹心法测定标本中人 骨保护素(OPG ) 水平。用纯化的人 骨保护素(OPG ) 抗体包被微孔板,制成固相抗体,往包被单抗的微孔中依次加入人 骨保护素(OPG ) ,再与 HRP 标记的 骨保护素(OPG
上海西唐生物科技有限公司 021-55229872, 65333639 www.westang.com 人骨保护素 ( OPG )ELISA 试剂盒 原理 本实验采用双抗体夹心 ABC-ELISA 法。用抗人 OPG 单抗包被于酶标板上,标准品和样品中的 OPG与单抗结合,加入生物素化的抗人 OPG ,形成免疫复合物连接在板上,辣根过氧化物酶标记的 Streptavidin 与生物素结合
上海西唐生物科技有限公司 021-55229872, 65333639 www.westang.com 兔骨保护素 ( OPG )ELISA 试剂盒 原理 本实验采用双抗体夹心 ABC-ELISA 法。用抗兔 OPG 单抗包被于酶标板上,标准品和样品中的 OPG与单抗结合,加入生物素化的抗兔 OPG ,形成免疫复合物连接在板上,辣根过氧化物酶标记的 Streptavidin
技术资料暂无技术资料 索取技术资料










