相关产品推荐更多 >
万千商家帮你免费找货
0 人在求购买到急需产品
- 详细信息
- 文献和实验
- 技术资料
- 抗体名:
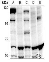
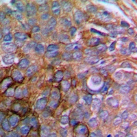
Paxillin Antibody抗体
- 抗体英文名:
Paxillin Antibody
- 应用范围:
IF, IHC, WB
- 宿主:
Rabbit
- 适应物种:
Human, Mouse, Porcine, Rat
- 保质期:
6-12个月
- 抗原来源:
详询
- 目录编号:
orb304535
- 级别:
科研级
- 库存:
88
- 供应商:
biorbyt
- 标记物:
Unconjugated
- 克隆性:
Polyclonal
- 形态:
Liquid in 0.42% Potassium phosphate, 0.87% Sodium chloride, pH 7.3, 30% glycerol, and 0.01% sodium azide.
- 免疫原:
KLH-conjugated synthetic peptide encompassing a sequence within the N-term region of human Paxillin. The exact sequence is proprietary.
- 规格:
30 ul
别名:Paxillin
免疫原:KLH-conjugated synthetic peptide encompassing a sequence within the N-term region of human Paxillin. The exact sequence is proprietary.
应用稀释比例:WB: 1:500-1000, IHC-P: 1:100-200, IF/ICC: 1:100-500
纯化:The antibody was purified by immunogen affinity chromatography.
保存说明:Maintain refrigerated at 2-8°C for up to 2 weeks. For long term storage store at -20°C in small aliquots to prevent freeze-thaw cycles.
Entrez:5829, 360820, 19303
UniProt ID:Q66H76, P49023, Q8VI36
Note:For research use only.



风险提示:丁香通仅作为第三方平台,为商家信息发布提供平台空间。用户咨询产品时请注意保护个人信息及财产安全,合理判断,谨慎选购商品,商家和用户对交易行为负责。对于医疗器械类产品,请先查证核实企业经营资质和医疗器械产品注册证情况。
文献和实验【求助】谁有兔抗Paxillin和鼠抗phorsphotyrosine
kelvin12 请问各位同行谁有多余的兔抗Paxillin和鼠抗phorsphotyrosine,能否相赠?谢谢! iammonkey kelvin12战友:你知道paxillin磷酸化的阻断剂是什么吗?正做相关东西,刚接触不太明白! 磷酸化抗体 我公司有现货,具体如下: IBN4001 e-Acetylated Lysine Antibody IBN4006 e
Sphingosine Kinase: Assay and Product Analysis
-associated protein paxillin (16 ). These tyrosine phosphorylations are mediated through the activation of the small G protein rho, which also mediates stress fiber formation induced by SPP (16 ).
能结合Akt并通过抑制Akt的磷酸化而阻断下游信号的传递, CTMP的过表达能够逆转v-Akt转化细胞的表型. 热休克蛋白90(HSP90)亦能结合Akt, 阻止Akt被PP2A磷酸酶的去磷酸化而失活, 因此具有保护Akt的作用. 本信号转导涉及的信号分子主要包括 Integrin,FAK,Paxillin,ILK,PIP3,S6,p70S6K,RTK,Gab1,Gab2,IRS-1,PI3K,PTEN,AKT,PDK1,Cytokine Receptor,Jak1,CD19,BCR
技术资料暂无技术资料 索取技术资料










