相关产品推荐更多 >
万千商家帮你免费找货
0 人在求购买到急需产品
- 详细信息
- 文献和实验
- 技术资料
- 抗体名:
MEF2C Antibody抗体
- 抗体英文名:
MEF2C Antibody
- 应用范围:
ChIP, IF, IHC, WB
- 宿主:
Rabbit
- 适应物种:
Human, Mouse, Porcine, Zebrafish
- 保质期:
6-12个月
- 抗原来源:
详询
- 目录编号:
orb256682
- 级别:
科研级
- 库存:
88
- 供应商:
biorbyt
- 标记物:
Unconjugated
- 克隆性:
Polyclonal
- 形态:
Liquid in 0.42% Potassium phosphate, 0.87% Sodium chloride, pH 7.3, 30% glycerol, and 0.01% sodium azide.
- 免疫原:
KLH-conjugated synthetic peptide encompassing a sequence within the C-term region of human MEF2C. The exact sequence is proprietary.
- 规格:
30 ul
产品描述:The MEF2C Antibody is suitable for ChIP, IF, IHC, WB. It is a Polyclonal, Unconjugated antibody which raised against KLH-conjugated synthetic peptide encompassing a sequence within the C-term region of human MEF2C. The exact sequence is proprietary. Purification: The antibody was purified by immunogen affinity chromatography.
别名:Myocyte-specific enhancer factor 2C
免疫原:KLH-conjugated synthetic peptide encompassing a sequence within the C-term region of human MEF2C. The exact sequence is proprietary.
应用稀释比例:WB: 1:500-1000, IHC-P: 1:100-200, IF/ICC: 1:100-500
纯化:The antibody was purified by immunogen affinity chromatography.
保存说明:Maintain refrigerated at 2-8°C for up to 2 weeks. For long term storage store at -20°C in small aliquots to prevent freeze-thaw cycles.
Pubmed:39747457, 41034455, 34397091, 34486669
Entrez:4208, 17260
UniProt ID:Q06413, Q8CFN5
Note:For research use only.



别名:Myocyte-specific enhancer factor 2C
免疫原:KLH-conjugated synthetic peptide encompassing a sequence within the C-term region of human MEF2C. The exact sequence is proprietary.
应用稀释比例:WB: 1:500-1000, IHC-P: 1:100-200, IF/ICC: 1:100-500
纯化:The antibody was purified by immunogen affinity chromatography.
保存说明:Maintain refrigerated at 2-8°C for up to 2 weeks. For long term storage store at -20°C in small aliquots to prevent freeze-thaw cycles.
Pubmed:39747457, 41034455, 34397091, 34486669
Entrez:4208, 17260
UniProt ID:Q06413, Q8CFN5
Note:For research use only.

Western blot analysis of MEF2C expression in zebrafish (A) whole cell lysates. (Predicted band size: 51 kD; Observed band size: 55 kD)

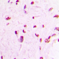
Immunohistochemical analysis of MEF2C staining in human lung cancer formalin fixed paraffin embedded tissue section. The section was pre-treated using heat mediated antigen retrieval with sodium citrate buffer (pH 6.0). The section was then incubated with the antibody at room temperature and detected using an HRP conjugated compact polymer system. DAB was used as the chromogen. The section was then counterstained with haematoxylin and mounted with DPX.

Immunofluorescent analysis of MEF2C staining in PC12 cells. Formalin-fixed cells were permeabilized with 0.1% Triton X-100 in TBS for 5-10 minutes and blocked with 3% BSA-PBS for 30 minutes at room temperature. Cells were probed with the primary antibody in 3% BSA-PBS and incubated overnight at 4 °C in a hidified chamber. Cells were washed with PBST and incubated with a DyLight 594-conjugated secondary antibody (red) in PBS at room temperature in the dark.
风险提示:丁香通仅作为第三方平台,为商家信息发布提供平台空间。用户咨询产品时请注意保护个人信息及财产安全,合理判断,谨慎选购商品,商家和用户对交易行为负责。对于医疗器械类产品,请先查证核实企业经营资质和医疗器械产品注册证情况。
文献和实验该产品被引用文献
Mara Bouwman # 1, Dennis E M de Bakker # 1 2, Hessel Honkoop 1, Alexandra E Giovou 3, Danielle Versteeg 1, Arie R Boender 3 4, Phong D Nguyen 1 5, Merel Slotboom 1, Daniel Colquhoun 6, Marta Vigil-Garcia 1, Lieneke Kooijman 1, Rob Janssen 3, Ingeborg B Hooijkaas 3, Marie Günthel 3, Kimberly J Visser 1, Mischa Klerk 3, Lorena Zentilin 7, Mauro Giacca 7 8, Jan Kaslin 6, Gerard J J Boink 3 4 9, Eva van Rooij 1 10, Vincent M Christoffels 3, Jeroen Bakkers Cross-species comparison reveals that Hmga1 reduces H3K27me3 levels to promote cardiomyocyte proliferation and cardiac regeneration Nat Cardiovasc Res, (2024), Konstantinos Lekkos 1 2, Zhilian Hu 1 2, Phong D Nguyen 3 4, Hessel Honkoop 3, Esra Sengul 1 2, Rita Alonaizan 1 2 5, Jana Koth 6, Jun Ying 1 2 7, Madeleine E Lemieux 8, Alisha Kenward 1 2, Sean Keeley 9, Bastiaan Spanjaard 10 11, Brett W C Kennedy 2, Xin Sun 1 2, Katherine Banecki 2, Helen G Potts 2, Gennaro Ruggiero 1 2, James Montgomery 12, Daniela Panáková 10 13 14, Jan Philipp Junker 10 11 13, Lisa C Heather 2, Xiaonan Wang 15, Juan Manuel Gonzalez-Rosa 9 16, Jeroen Bakkers 3 17, Mathilda T M Mommersteeg 18 19 Oxidative phosphorylation is required for cardiomyocyte re-differentiation and long-term fish heart regeneration Nat Cardiovasc Res ., (2025), Honkoop, Hessel et al. Live imaging of adult zebrafish cardiomyocyte proliferation ex vivo Development, (2021), de Bakker, Dennis E. M. et al. Prrx1b restricts fibrosis and promotes Nrg1-dependent cardiomyocyte proliferation during zebrafish heart regeneration Development, (2021)
技术资料暂无技术资料 索取技术资料
文献支持
MEF2C Antibody抗体,orb256682,biorbyt
¥1560









