相关产品推荐更多 >
万千商家帮你免费找货
0 人在求购买到急需产品
- 详细信息
- 技术资料
- 抗体名:
Apolipoprotein B Receptor Antibody抗体
- 抗体英文名:
Apolipoprotein B Receptor Antibody
- 应用范围:
WB
- 宿主:
Rabbit
- 适应物种:
Human, Mouse, Rat
- 保质期:
6-12个月
- 抗原来源:
详询
- 目录编号:
orb234762
- 级别:
科研级
- 库存:
88
- 供应商:
biorbyt
- 标记物:
Unconjugated
- 克隆性:
Polyclonal
- 形态:
Liquid in 0.42% Potassium phosphate, 0.87% Sodium chloride, pH 7.3, 30% glycerol, and 0.01% sodium azide.
- 免疫原:
KLH-conjugated synthetic peptide encompassing a sequence within the N-term region of human Apolipoprotein B Receptor. The exact sequence is proprietary.
- 规格:
30 ul
产品描述:The Apolipoprotein B Receptor Antibody is suitable for WB. It is a Polyclonal, Unconjugated antibody which raised against KLH-conjugated synthetic peptide encompassing a sequence within the N-term region of human Apolipoprotein B Receptor. The exact sequence is proprietary. Purification: The antibody was purified by immunogen affinity chromatography.
别名:APOB48R; Apolipoprotein B receptor; Apolipoprotein B-100 receptor; Apolipoprotein B-48 receptor; Apolipoprotein B48 receptor; apoB-48R
免疫原:KLH-conjugated synthetic peptide encompassing a sequence within the N-term region of human Apolipoprotein B Receptor. The exact sequence is proprietary.
应用稀释比例:WB: 1:500-1000
纯化:The antibody was purified by immunogen affinity chromatography.
保存说明:Maintain refrigerated at 2-8°C for up to 2 weeks. For long term storage store at -20°C in small aliquots to prevent freeze-thaw cycles.
Entrez:171504, 55911
UniProt ID:Q8VBT6, Q0VD83
Note:For research use only.

别名:APOB48R; Apolipoprotein B receptor; Apolipoprotein B-100 receptor; Apolipoprotein B-48 receptor; Apolipoprotein B48 receptor; apoB-48R
免疫原:KLH-conjugated synthetic peptide encompassing a sequence within the N-term region of human Apolipoprotein B Receptor. The exact sequence is proprietary.
应用稀释比例:WB: 1:500-1000
纯化:The antibody was purified by immunogen affinity chromatography.
保存说明:Maintain refrigerated at 2-8°C for up to 2 weeks. For long term storage store at -20°C in small aliquots to prevent freeze-thaw cycles.
Entrez:171504, 55911
UniProt ID:Q8VBT6, Q0VD83
Note:For research use only.

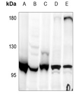
Western blot analysis of Apolipoprotein B Receptor expression in SP20 (A), PC12 (B), SHSY5Y (C), MCF7 (D), H460 (E) whole cell lysates. (Predicted band size: 115 kD; Observed band size: 100 kD)
风险提示:丁香通仅作为第三方平台,为商家信息发布提供平台空间。用户咨询产品时请注意保护个人信息及财产安全,合理判断,谨慎选购商品,商家和用户对交易行为负责。对于医疗器械类产品,请先查证核实企业经营资质和医疗器械产品注册证情况。
技术资料暂无技术资料 索取技术资料
Apolipoprotein B Receptor Antibody抗体,orb234762,biorbyt
¥1560










