相关产品推荐更多 >
万千商家帮你免费找货
0 人在求购买到急需产品
- 详细信息
- 技术资料
- 抗体名:
ADAMTS18 Antibody抗体
- 抗体英文名:
ADAMTS18 Antibody
- 应用范围:
WB
- 宿主:
Rabbit
- 适应物种:
Human, Mouse, Rat
- 保质期:
6-12个月
- 抗原来源:
详询
- 目录编号:
orb234751
- 级别:
科研级
- 库存:
88
- 供应商:
biorbyt
- 标记物:
Unconjugated
- 克隆性:
Polyclonal
- 形态:
Liquid in 0.42% Potassium phosphate, 0.87% Sodium chloride, pH 7.3, 30% glycerol, and 0.01% sodium azide.
- 免疫原:
KLH-conjugated synthetic peptide encompassing a sequence within the C-term region of human ADAMTS18. The exact sequence is proprietary.
- 规格:
30 ul
产品描述:The ADAMTS18 Antibody is suitable for WB. It is a Polyclonal, Unconjugated antibody which raised against KLH-conjugated synthetic peptide encompassing a sequence within the C-term region of human ADAMTS18. The exact sequence is proprietary. Purification: The antibody was purified by immunogen affinity chromatography.
别名:ADAMTS21; A disintegrin and metalloproteinase with thrombospondin motifs 18; ADAM-TS 18; ADAM-TS18; ADAMTS-18
免疫原:KLH-conjugated synthetic peptide encompassing a sequence within the C-term region of human ADAMTS18. The exact sequence is proprietary.
应用稀释比例:WB: 1:500-1000
纯化:The antibody was purified by immunogen affinity chromatography.
保存说明:Maintain refrigerated at 2-8°C for up to 2 weeks. For long term storage store at -20°C in small aliquots to prevent freeze-thaw cycles.
Entrez:170692, 208936
UniProt ID:Q4VC17, Q8TE60
Note:For research use only.

别名:ADAMTS21; A disintegrin and metalloproteinase with thrombospondin motifs 18; ADAM-TS 18; ADAM-TS18; ADAMTS-18
免疫原:KLH-conjugated synthetic peptide encompassing a sequence within the C-term region of human ADAMTS18. The exact sequence is proprietary.
应用稀释比例:WB: 1:500-1000
纯化:The antibody was purified by immunogen affinity chromatography.
保存说明:Maintain refrigerated at 2-8°C for up to 2 weeks. For long term storage store at -20°C in small aliquots to prevent freeze-thaw cycles.
Entrez:170692, 208936
UniProt ID:Q4VC17, Q8TE60
Note:For research use only.

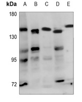
Western blot analysis of ADAMTS18 expression in H1792 (A), mouse liver (B), mouse kidney (C), rat liver (D), rat kidney (E) whole cell lysates. (Predicted band size: 135 kD; Observed band size: 135 kD)
风险提示:丁香通仅作为第三方平台,为商家信息发布提供平台空间。用户咨询产品时请注意保护个人信息及财产安全,合理判断,谨慎选购商品,商家和用户对交易行为负责。对于医疗器械类产品,请先查证核实企业经营资质和医疗器械产品注册证情况。
技术资料暂无技术资料 索取技术资料
ADAMTS18 Antibody抗体,orb234751,biorbyt
¥1560










