相关产品推荐更多 >
万千商家帮你免费找货
0 人在求购买到急需产品
- 详细信息
- 技术资料
- 抗体名:
beta 1 Adrenergic Receptor antibody抗体
- 抗体英文名:
beta 1 Adrenergic Receptor antibody
- 靶点:
beta 1 Adrenergic Receptor
- 浓度:
- 100 μg (in 200 μl): 0.5 mg/ml- 200 μg (in 400 μl): 0.5 mg/ml
- 应用范围:
ELISA, ICC, IF, IHC-P, WB
- 宿主:
Rabbit
- 适应物种:
Canine, Human, Mouse, Porcine, Rat
- 保质期:
6-12个月
- 抗原来源:
详询
- 目录编号:
orb229828
- 级别:
科研级
- 库存:
88
- 供应商:
biorbyt
- 标记物:
Unconjugated
- 克隆性:
Polyclonal
- 形态:
10 mM PBS, 0.02% sodium azide
- 亚型:
IgG
- 免疫原:
KLH conjugated synthetic peptide derived from human beta 1 Adrenergic Receptor. Please contact us for the exact immunogen sequence. The peptide is available as orb374842.
- 规格:
100 ug
产品描述:beta 1 Adrenergic Receptor antibody
别名:anti-ADR B1 antibody, anti-ADRB 1 antibody, anti-ADRB1 antibody, anti-ADRB1R antibody, anti-Adrenergic beta 1 receptor antibody, anti-Adrenoceptor beta 1 antibody, anti-B1AR antibody, anti-beta 1 adrenoceptor antibody, anti-beta 1 adrenoreceptor antibody, anti-beta-1 adrenergic receptor antibody, anti-beta-1 adrenoceptor antibody, anti-beta-1 adrenoreceptor antibody, anti-beta1AR antibody, anti-RHR antibody
免疫原:KLH conjugated synthetic peptide derived from human beta 1 Adrenergic Receptor. Please contact us for the exact 免疫原 sequence. The peptide is available as orb374842.
分子量:55 kDa
应用稀释比例:IF/ICC: 1:100, IHC-P:1:100, WB:1:100-500
应用注释:This antibody against Human, Mouse, Rat, Dog, Pig
纯度:Polyclonal antibodies are purified by peptide affinity chromatography
保存说明:Maintain refrigerated at 2-8°C for up to 2 weeks. For long term storage store at -20°C in small aliquots to prevent freeze-thaw cycles.
NCBI:11, 000675, 000684, 21
Entrez:153
UniProt ID:P08588, P18090, P34971
Note:For research use only.





别名:anti-ADR B1 antibody, anti-ADRB 1 antibody, anti-ADRB1 antibody, anti-ADRB1R antibody, anti-Adrenergic beta 1 receptor antibody, anti-Adrenoceptor beta 1 antibody, anti-B1AR antibody, anti-beta 1 adrenoceptor antibody, anti-beta 1 adrenoreceptor antibody, anti-beta-1 adrenergic receptor antibody, anti-beta-1 adrenoceptor antibody, anti-beta-1 adrenoreceptor antibody, anti-beta1AR antibody, anti-RHR antibody
免疫原:KLH conjugated synthetic peptide derived from human beta 1 Adrenergic Receptor. Please contact us for the exact 免疫原 sequence. The peptide is available as orb374842.
分子量:55 kDa
应用稀释比例:IF/ICC: 1:100, IHC-P:1:100, WB:1:100-500
应用注释:This antibody against Human, Mouse, Rat, Dog, Pig
纯度:Polyclonal antibodies are purified by peptide affinity chromatography
保存说明:Maintain refrigerated at 2-8°C for up to 2 weeks. For long term storage store at -20°C in small aliquots to prevent freeze-thaw cycles.
NCBI:11, 000675, 000684, 21
Entrez:153
UniProt ID:P08588, P18090, P34971
Note:For research use only.

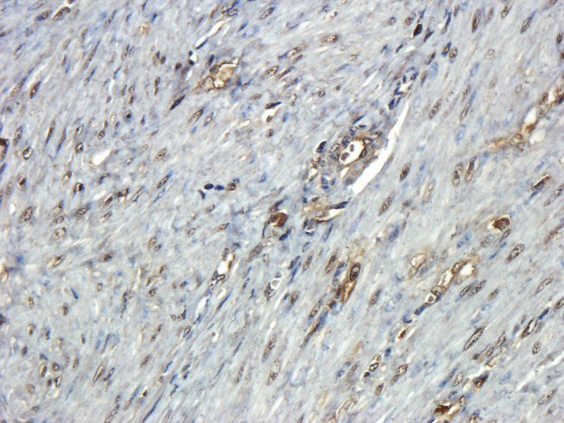
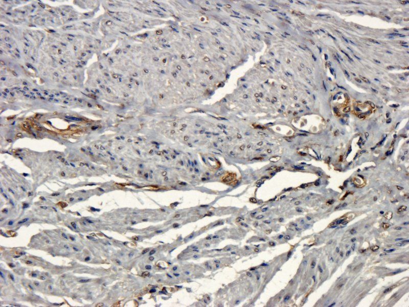
IF image of human endometrial cancer tissue using beta 1 Adrenergic Receptor antibody (primary antibody at 1:100)

IHC-P staining of human endometrial cancer tissue using anti-beta 1 Adrenergic Receptor (dilution at 1:100)

Immunofluorescence image of human endometrial cancer tissue using anti-beta 1 Adrenergic Receptor (dilution at 1:100)

IHC-P image of human endometrial cancer tissue using anti-beta 1 Adrenergic Receptor (dilution of primary antibody at 1:100)

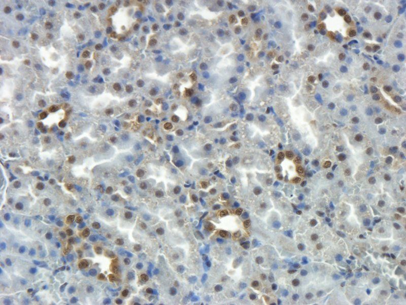
Immunohistochemical staining of paraffin embedded rat kidney tissue using beta 1 Adrenergic Receptor antibody (primary antibody at 1:100)
风险提示:丁香通仅作为第三方平台,为商家信息发布提供平台空间。用户咨询产品时请注意保护个人信息及财产安全,合理判断,谨慎选购商品,商家和用户对交易行为负责。对于医疗器械类产品,请先查证核实企业经营资质和医疗器械产品注册证情况。
技术资料暂无技术资料 索取技术资料
beta 1 Adrenergic Receptor antibody抗体,orb229828,biorbyt
¥3640










