相关产品推荐更多 >

PODXL Antibody (BF594) 抗体,orb1603026,Biorbyt
¥4796
TWIST1 Antibody抗体,orb1257909,biorbyt
¥10400
Metallothionein 3 Rabbit Polyclonal Antibody抗体,orb2871,biorbyt
¥3120
Anti-HGFR / c-Met Reference Antibody (emibetuzumab) 抗体,orb1818471,Biorbyt
¥7293
TRPM3 Antibody - N-terminal region : FITC 抗体,orb2131366,Biorbyt
¥8216
万千商家帮你免费找货
0 人在求购买到急需产品
- 详细信息
- 技术资料
- 抗体名:
PKR (Phospho-T451) Antibody抗体
- 抗体英文名:
PKR (Phospho-T451) Antibody
- 应用范围:
IHC, WB
- 宿主:
Rabbit
- 适应物种:
Human, Mouse
- 保质期:
6-12个月
- 抗原来源:
详询
- 目录编号:
orb223990
- 级别:
科研级
- 库存:
88
- 供应商:
biorbyt
- 标记物:
Unconjugated
- 克隆性:
Polyclonal
- 形态:
Liquid in 0.42% Potassium phosphate, 0.87% Sodium chloride, pH 7.3, 30% glycerol, and 0.01% sodium azide.
- 免疫原:
KLH-conjugated synthetic phosphopeptide corresponding to residues surrounding T451 of human PKR protein. The exact sequence is proprietary.
- 规格:
30 ul
产品描述:The PKR (Phospho-T451) Antibody is suitable for IHC, WB. It is a Polyclonal, Unconjugated antibody which raised against KLH-conjugated synthetic phosphopeptide corresponding to residues surrounding T451 of human PKR protein. The exact sequence is proprietary. Purification: The antibody was purified by immunogen affinity chromatography.
别名:PKR; PRKR; Interferon-induced, double-stranded RNA-activated protein kinase; Eukaryotic translation initiation factor 2-alpha kinase 2; eIF-2A protein kinase 2; Interferon-inducible RNA-dependent protein kinase; P1/eIF-2A protein kinase; Protein kinase RNA-activated; PKR; Tyrosine-protein kinase EIF2AK2; p68 kinase
免疫原:KLH-conjugated synthetic phosphopeptide corresponding to residues surrounding T451 of human PKR protein. The exact sequence is proprietary.
应用稀释比例:WB: 1:500-1:1000, IHC-P: 1:100-1:200
纯化:The antibody was purified by immunogen affinity chromatography.
保存说明:Maintain refrigerated at 2-8°C for up to 2 weeks. For long term storage store at -20°C in small aliquots to prevent freeze-thaw cycles.
Entrez:5610, 19106
UniProt ID:P19525, Q03963
Note:For research use only.



别名:PKR; PRKR; Interferon-induced, double-stranded RNA-activated protein kinase; Eukaryotic translation initiation factor 2-alpha kinase 2; eIF-2A protein kinase 2; Interferon-inducible RNA-dependent protein kinase; P1/eIF-2A protein kinase; Protein kinase RNA-activated; PKR; Tyrosine-protein kinase EIF2AK2; p68 kinase
免疫原:KLH-conjugated synthetic phosphopeptide corresponding to residues surrounding T451 of human PKR protein. The exact sequence is proprietary.
应用稀释比例:WB: 1:500-1:1000, IHC-P: 1:100-1:200
纯化:The antibody was purified by immunogen affinity chromatography.
保存说明:Maintain refrigerated at 2-8°C for up to 2 weeks. For long term storage store at -20°C in small aliquots to prevent freeze-thaw cycles.
Entrez:5610, 19106
UniProt ID:P19525, Q03963
Note:For research use only.

Western blot analysis of PKR (Phospho-T451) expression in HeLa PMA-treated (A), Raw264.7 H2O2-treated (B), NIH3T3 LPS-treated (C) whole cell lysates. (Predicted band size: 62 kD; Observed band size: 62 kD)

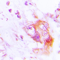
Immunohistochemical analysis of PKR (Phospho-T451) staining in human lung cancer formalin fixed paraffin embedded tissue section. The section was pre-treated using heat mediated antigen retrieval with sodium citrate buffer (Phospho-H 6.0). The section was then incubated with the antibody at room temperature and detected using an HRP conjugated compact polymer system. DAB was used as the chromogen. The section was then counterstained with haematoxylin and mounted with DPX.

Direct ELISA antibody dose-response curve using Anti-PKR (Phospho-T451) Antibody. Antigen (Phosphopeptide and non-phosphopeptide) concentration is 5 ug/ml. Goat Anti-Rabbit IgG (H&L) - HRP was used as the secondary antibody, and signal was developed by TMB substrate.
风险提示:丁香通仅作为第三方平台,为商家信息发布提供平台空间。用户咨询产品时请注意保护个人信息及财产安全,合理判断,谨慎选购商品,商家和用户对交易行为负责。对于医疗器械类产品,请先查证核实企业经营资质和医疗器械产品注册证情况。
技术资料暂无技术资料 索取技术资料
PKR (Phospho-T451) Antibody抗体,orb223990,biorbyt
¥1820






