相关产品推荐更多 >
万千商家帮你免费找货
0 人在求购买到急需产品
- 详细信息
- 文献和实验
- 技术资料
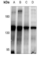
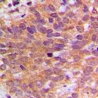
- 抗体名:
ABL1 Antibody抗体
- 抗体英文名:
ABL1 Antibody
- 应用范围:
IF, IHC, WB
- 宿主:
Rabbit
- 适应物种:
Human, Mouse, Rat
- 保质期:
6-12个月
- 抗原来源:
详询
- 目录编号:
orb215994
- 级别:
科研级
- 库存:
88
- 供应商:
biorbyt
- 标记物:
Unconjugated
- 克隆性:
Polyclonal
- 形态:
Liquid in 0.42% Potassium phosphate, 0.87% Sodium chloride, pH 7.3, 30% glycerol, and 0.01% sodium azide.
- 免疫原:
KLH-conjugated synthetic peptide encompassing a sequence within the C-term region of human ABL1. The exact sequence is proprietary.
- 规格:
30 ul
别名:ABL; JTK7; Tyrosine-protein kinase ABL1; Abelson murine leukemia viral oncogene homolog 1; Abelson tyrosine-protein kinase 1; Proto-oncogene c-Abl; p150
免疫原:KLH-conjugated synthetic peptide encompassing a sequence within the C-term region of human ABL1. The exact sequence is proprietary.
应用稀释比例:WB: 1:500-1:1000, IHC-P: 1:100-1-200, IF/ICC: 1:100-1:500
纯化:The antibody was purified by immunogen affinity chromatography.
保存说明:Maintain refrigerated at 2-8°C for up to 2 weeks. For long term storage store at -20°C in small aliquots to prevent freeze-thaw cycles.
Entrez:25, 11350
UniProt ID:P00520, P00519
Note:For research use only.



风险提示:丁香通仅作为第三方平台,为商家信息发布提供平台空间。用户咨询产品时请注意保护个人信息及财产安全,合理判断,谨慎选购商品,商家和用户对交易行为负责。对于医疗器械类产品,请先查证核实企业经营资质和医疗器械产品注册证情况。
文献和实验Quantitative BCR-ABL1 RQ-PCR Fusion Transcript Monitoring in Chronic Myelogenous Leukemia
The reciprocal Philadelphia translocation between chromosomes 9 and 22 [t(9;22)(q34;q11)] creates a BCR-ABL1 fusion protein that occurs in approximately 95% of cases of chronic myelogenous leukemia (CML), 15% of cases of adult acute
The reciprocal translocation between chromosomes 9 and 22 [t(9;22)(q34;q11), Philadelphia chromosome] creates a BCR-ABL1 fusion protein that occurs in approximately 95% of cases of chronic myelogenous leukemia (CML), 15% of cases of adult
Chronic Myeloid Leukemia: Cytogenetic Methods and Applications for Diagnosis and Treatment
Chronic myeloid leukemia (CML) is a clonal myeloproliferative disease caused by recombination between the BCR gene on chromosome 22 and the ABL1 gene on chromosome 9. This rearrangement generates the BCR–ABL1 fusion gene that characterizes
技术资料暂无技术资料 索取技术资料










