相关产品推荐更多 >

GTF2F1 Antibody (Center) 抗体,orb1934246,Biorbyt
¥7293
BCAM Antibody - C-terminal region : Biotin 抗体,orb2097613,Biorbyt
¥8216
S100A9 Antibody - N-terminal region : Biotin 抗体,orb2103214,Biorbyt
¥8216
SLC25A46 Antibody - C-terminal region : Biotin 抗体,orb2119723,Biorbyt
¥8216
Dcun1d4 Antibody - middle region : HRP 抗体,orb2097269,Biorbyt
¥8216
万千商家帮你免费找货
0 人在求购买到急需产品
- 详细信息
- 文献和实验
- 技术资料
- 抗体名:
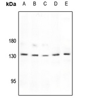
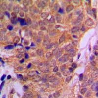
Histone Deacetylase 6 Antibody抗体
- 抗体英文名:
Histone Deacetylase 6 Antibody
- 应用范围:
IF, IHC, WB
- 宿主:
Rabbit
- 适应物种:
Human, Mouse, Rabbit, Rat
- 保质期:
6-12个月
- 抗原来源:
详询
- 目录编号:
orb214950
- 级别:
科研级
- 库存:
88
- 供应商:
biorbyt
- 标记物:
Unconjugated
- 克隆性:
Polyclonal
- 形态:
Liquid in 0.42% Potassium phosphate, 0.87% Sodium chloride, pH 7.3, 30% glycerol, and 0.01% sodium azide.
- 免疫原:
KLH-conjugated synthetic peptide encompassing a sequence within the C-term region of human Histone Deacetylase 6. The exact sequence is proprietary.
- 规格:
30 ul
别名:KIAA0901; Histone deacetylase 6; HD6
免疫原:KLH-conjugated synthetic peptide encompassing a sequence within the C-term region of human Histone Deacetylase 6. The exact sequence is proprietary.
应用稀释比例:WB: 1-500-1-1000, IHC-P: 1-100-1-200, IF/ICC: 1-100-1-500
纯化:The antibody was purified by immunogen affinity chromatography.
保存说明:Maintain refrigerated at 2-8°C for up to 2 weeks. For long term storage store at -20°C in small aliquots to prevent freeze-thaw cycles.
Entrez:15185, 10013
UniProt ID:Q9UBN7, Q9Z2V5
Note:For research use only.



风险提示:丁香通仅作为第三方平台,为商家信息发布提供平台空间。用户咨询产品时请注意保护个人信息及财产安全,合理判断,谨慎选购商品,商家和用户对交易行为负责。对于医疗器械类产品,请先查证核实企业经营资质和医疗器械产品注册证情况。
文献和实验Histone Deacetylase Activity Assay
Histone deacetylases (HDACs) are enzymes that catalyze the removal of acetyl groups from the ɛ-amino groups of conserved lysine residues in the amino terminal tail of histones. In humans, there are 18 potential deacetylase enzymes
Analysis of Checkpoint Responses to Histone Deacetylase Inhibitors
Cell cycle checkpoints respond to a wide range of stresses to prevent compromise to the integrity of the cell. The best studied checkpoints are those induced by genotoxic agents that cause DNA damage. Histone deacetylase inhibitors
Evaluation of Histone Deacetylase Inhibitors as Therapeutics for Neurodegenerative Diseases
Various neurodegenerative diseases are associated with aberrant gene expression. We recently identified a novel class of pimelic o -aminobenzamide histone deacetylase (HDAC) inhibitors that show promise as therapeutics
技术资料暂无技术资料 索取技术资料





