相关产品推荐更多 >

GUCY1A3 Antibody抗体,orb214026,biorbyt
¥1560
TAL1/2 (Acetyl Lys221/Acetyl Lys222/Acetyl Lys36/Acetyl Lys37) rabbit pAb抗体,orb771311,biorbyt
¥3250
TFRC Biosimilar Antibody抗体,orb2670445,biorbyt
¥2210
ALS2CL Antibody - C-terminal region : FITC 抗体,orb2083884,Biorbyt
¥8216
TMPRSS6 Antibody (PerCP) 抗体,orb1815590,Biorbyt
¥4796
万千商家帮你免费找货
0 人在求购买到急需产品
- 详细信息
- 技术资料
- 抗体名:
S6K1 (Phospho-S418) Antibody抗体
- 抗体英文名:
S6K1 (Phospho-S418) Antibody
- 应用范围:
IF, IHC, WB
- 宿主:
Rabbit
- 适应物种:
Bovine, Canine, Gallus, Human, Mouse, Porcine, Rabbit, Rat
- 保质期:
6-12个月
- 抗原来源:
详询
- 目录编号:
orb214537
- 级别:
科研级
- 库存:
88
- 供应商:
biorbyt
- 标记物:
Unconjugated
- 克隆性:
Polyclonal
- 形态:
Liquid in 0.42% Potassium phosphate, 0.87% Sodium chloride, pH 7.3, 30% glycerol, and 0.01% sodium azide.
- 免疫原:
KLH-conjugated synthetic phosphopeptide corresponding to residues surrounding S418 of human S6K1 protein. The exact sequence is proprietary.
- 规格:
30 ul
产品描述:The S6K1 (Phospho-S418) Antibody is suitable for IF, IHC, WB. It is a Polyclonal, Unconjugated antibody which raised against KLH-conjugated synthetic phosphopeptide corresponding to residues surrounding S418 of human S6K1 protein. The exact sequence is proprietary. Purification: The antibody was purified by immunogen affinity chromatography.
别名:STK14A; Ribosomal protein S6 kinase beta-1; S6K-beta-1; S6K1; 70 kDa ribosomal protein S6 kinase 1; P70S6K1; p70-S6K 1; Ribosomal protein S6 kinase I; Serine/threonine-protein kinase 14A; p70 ribosomal S6 kinase alpha; p70 S6 kinase alpha; p70 S6K-alpha; p70 S6KA
免疫原:KLH-conjugated synthetic phosphopeptide corresponding to residues surrounding S418 of human S6K1 protein. The exact sequence is proprietary.
应用稀释比例:WB: 1-500-1-1000, IHC-P: 1-100-1-200, IF/ICC: 1-100-1-500
纯化:The antibody was purified by immunogen affinity chromatography.
保存说明:Maintain refrigerated at 2-8°C for up to 2 weeks. For long term storage store at -20°C in small aliquots to prevent freeze-thaw cycles.
Entrez:83840, 6198, 72508
UniProt ID:Q8BSK8, P23443, P67999
Note:For research use only.



别名:STK14A; Ribosomal protein S6 kinase beta-1; S6K-beta-1; S6K1; 70 kDa ribosomal protein S6 kinase 1; P70S6K1; p70-S6K 1; Ribosomal protein S6 kinase I; Serine/threonine-protein kinase 14A; p70 ribosomal S6 kinase alpha; p70 S6 kinase alpha; p70 S6K-alpha; p70 S6KA
免疫原:KLH-conjugated synthetic phosphopeptide corresponding to residues surrounding S418 of human S6K1 protein. The exact sequence is proprietary.
应用稀释比例:WB: 1-500-1-1000, IHC-P: 1-100-1-200, IF/ICC: 1-100-1-500
纯化:The antibody was purified by immunogen affinity chromatography.
保存说明:Maintain refrigerated at 2-8°C for up to 2 weeks. For long term storage store at -20°C in small aliquots to prevent freeze-thaw cycles.
Entrez:83840, 6198, 72508
UniProt ID:Q8BSK8, P23443, P67999
Note:For research use only.

Western blot analysis of S6K1 (Phospho-S418) expression in 3T3L1 (A), PC12 (B), HEK293T-EGF-30 min (C) whole cell lysates. (Predicted band size: 59 kD; Observed band size: 70 kD)

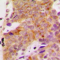
Immunohistochemical analysis of S6K1 (Phospho-S418) staining in human breast cancer formalin fixed paraffin embedded tissue section. The section was pre-treated using heat mediated antigen retrieval with sodium citrate buffer (Phospho-H 6.0). The section was then incubated with the antibody at room temperature and detected using an HRP conjugated compact polymer system. DAB was used as the chromogen. The section was then counterstained with haematoxylin and mounted with DPX.

Immunofluorescent analysis of S6K1 (Phospho-S418) staining in HeLa cells. Formalin-fixed cells were permeabilized with 0.1% Triton X-100 in TBS for 5-10 minutes and blocked with 3% BSA-PBS for 30 minutes at room temperature. Cells were probed with the primary antibody in 3% BSA-PBS and incubated overnight at 4 °C in a humidified chamber. Cells were washed with PBST and incubated with a DyLight 594-conjugated secondary antibody (red) in PBS at room temperature in the dark.
风险提示:丁香通仅作为第三方平台,为商家信息发布提供平台空间。用户咨询产品时请注意保护个人信息及财产安全,合理判断,谨慎选购商品,商家和用户对交易行为负责。对于医疗器械类产品,请先查证核实企业经营资质和医疗器械产品注册证情况。
技术资料暂无技术资料 索取技术资料
S6K1 (Phospho-S418) Antibody抗体,orb214537,biorbyt
¥1820





