相关产品推荐更多 >
万千商家帮你免费找货
0 人在求购买到急需产品
- 详细信息
- 文献和实验
- 技术资料
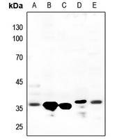
- 抗体名:
Annexin A1 Antibody抗体
- 抗体英文名:
Annexin A1 Antibody
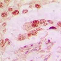
- 应用范围:
IF, IHC, WB
- 宿主:
Rabbit
- 适应物种:
Human, Monkey, Mouse, Rat
- 保质期:
6-12个月
- 抗原来源:
详询
- 目录编号:
orb213556
- 级别:
科研级
- 库存:
88
- 供应商:
biorbyt
- 标记物:
Unconjugated
- 克隆性:
Polyclonal
- 形态:
Liquid in 0.42% Potassium phosphate, 0.87% Sodium chloride, pH 7.3, 30% glycerol, and 0.01% sodium azide.
- 免疫原:
KLH-conjugated synthetic peptide encompassing a sequence within the center region of human Annexin A1. The exact sequence is proprietary.
- 规格:
30 ul
别名:ANX1; LPC1; Annexin A1; Annexin I; Annexin-1; Calpactin II; Calpactin-2; Chromobindin-9; Lipocortin I; Phospholipase A2 inhibitory protein; p35
免疫原:KLH-conjugated synthetic peptide encompassing a sequence within the center region of human Annexin A1. The exact sequence is proprietary.
应用稀释比例:WB: 1-500-1-1000, IHC-P: 1-100-1-200, IF/ICC: 1-100-1-500
纯化:The antibody was purified by immunogen affinity chromatography.
保存说明:Maintain refrigerated at 2-8°C for up to 2 weeks. For long term storage store at -20°C in small aliquots to prevent freeze-thaw cycles.
Entrez:301, 16952
UniProt ID:P10107, P04083
Note:For research use only.



风险提示:丁香通仅作为第三方平台,为商家信息发布提供平台空间。用户咨询产品时请注意保护个人信息及财产安全,合理判断,谨慎选购商品,商家和用户对交易行为负责。对于医疗器械类产品,请先查证核实企业经营资质和医疗器械产品注册证情况。
文献和实验Annexin V-PI 双染法 在细胞凋亡的早期就有细胞膜表面破损发生。破损时凋亡细胞表面的磷脂腺丝氨酸(PS)可以从细胞内膜翻转至细胞的外膜。该过程发生在DNA片段化之前,因而检测PS的表达,能反映早期凋亡。AnnexinV是相对分子质量为35 000大小的Ca2+依赖的磷脂结合蛋白,对PS有很高的亲和性,并且可以与暴露于细胞外的PS相结合。利用这一原理,可以将AnnexinV标记荧光来识别早期的细胞凋亡。通常利用AnnexinV-FITC和碘化丙啶(P1)来区分凋亡和坏死细胞。PI
Tumor Targeting by a Carbohydrate Ligand-Mimicking Peptide
Annexin A1 (Anxa1) is a highly specific surface marker of tumor vasculature. We used peptide-displaying phage technology to identify a carbohydrate ligand-mimicking 7-mer peptide, IFLLWQR (IF7), which can target Anxa1 in tumor vasculature
Use of Polyamine Derivatives as Selective Histone Deacetylase Inhibitors
suppressor proteins and hyperacetylation of histones H3 and H4. Procedures are also described to examine the ability of PAHAs and PABAs to utilize the polyamine transport system and to induce overexpression of the early apoptotic factor annexin A1.
技术资料暂无技术资料 索取技术资料










