相关产品推荐更多 >

ERBB3 Antibody (N-term) 抗体,orb1929060,Biorbyt
¥7293
FGF-23 Antibody / Fibroblast Growth Factor 23 抗体,orb1825773,Biorbyt
¥5265
RGS7BP Antibody - middle region : FITC 抗体,orb2086845,Biorbyt
¥8216
RAB24 Antibody抗体,orb382482,biorbyt
¥1560
NR3C2/Mineralocorticoid receptor Antibody (Cy7) 抗体,orb1591922,Biorbyt
¥4796
万千商家帮你免费找货
0 人在求购买到急需产品
- 详细信息
- 技术资料
- 抗体名:
EIF2A Antibody抗体
- 抗体英文名:
EIF2A Antibody
- 靶点:
EIF2A
- 浓度:
Approximately 1mg/ml (varies from batch to batch). Please inquire for precise concentration.
- 应用范围:
FC, IHC, WB
- 宿主:
Mouse
- 适应物种:
Human, Monkey, Mouse, Rat
- 保质期:
6-12个月
- 抗原来源:
详询
- 目录编号:
orb153544
- 级别:
科研级
- 库存:
88
- 供应商:
biorbyt
- 标记物:
Unconjugated
- 克隆性:
Monoclonal
- 亚型:
Mouse IgG1
- 免疫原:
Purified recombinant fragment of human EIF2A (AA: 448-576) expressed in E. Coli.
- 规格:
100 ul
产品描述:Mouse monoclonal antibody to EIF2A
别名:CDA02; EIF-2A; MST089; MSTP004; MSTP089
免疫原:Purified recombinant fragment of human EIF2A (AA: 448-576) expressed in E. Coli.
克隆性:3A7B11
分子量:65kDa
应用稀释比例:WB: 1/500 - 1/2000; IHC: 1/200 - 1/1000; FCM: 1/200 - 1/400; ELISA: 1/10000
防腐剂:Purified antibody in PBS with 0.05% sodium azide.
保存说明:Maintain refrigerated at 2-8°C for up to 2 weeks. For long term storage store at -20°C in small aliquots to prevent freeze-thaw cycles.
Entrez:83939
UniProt ID:Q9BY44
Note:For research use only.







别名:CDA02; EIF-2A; MST089; MSTP004; MSTP089
免疫原:Purified recombinant fragment of human EIF2A (AA: 448-576) expressed in E. Coli.
克隆性:3A7B11
分子量:65kDa
应用稀释比例:WB: 1/500 - 1/2000; IHC: 1/200 - 1/1000; FCM: 1/200 - 1/400; ELISA: 1/10000
防腐剂:Purified antibody in PBS with 0.05% sodium azide.
保存说明:Maintain refrigerated at 2-8°C for up to 2 weeks. For long term storage store at -20°C in small aliquots to prevent freeze-thaw cycles.
Entrez:83939
UniProt ID:Q9BY44
Note:For research use only.

Line graph illustrates about the Ag-Ab reactions using different concentrations of antigen and serial dilutions of EIF2A antibody

Flow cytometric analysis of HepG2 cells lysates using EIF2A antibody

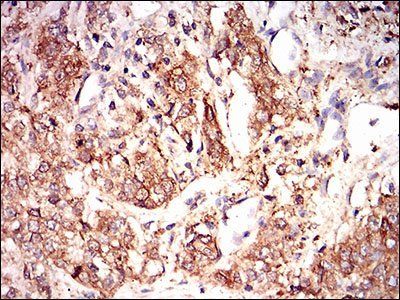
Immunohistochemical analysis of formalin-fixed and paraffin-embedded cervical cancer tissues using EIF2A antibody

Immunohistochemical analysis of formalin-fixed and paraffin-embedded bladder cancer tissues using EIF2A antibody

Western blot analysis of human EIF2A using EIF2A antibody

Western blot analysis of HEK293 (Lane 1) HEK293 (Lane 2) cell lysate using EIF2A antibody

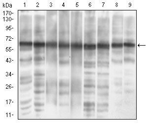
Western blot analysis of MCF-7 (Lane 1), PC-12 (Lane 2), HepG2 (Lane 3), Hela (Lane 4), Cos7 (Lane 5), K562 (Lane 6), Jurkat (Lane 7), A431 (Lane 8) NIH/3T3 (Lane 9) cell lysate using EIF2A antibody
风险提示:丁香通仅作为第三方平台,为商家信息发布提供平台空间。用户咨询产品时请注意保护个人信息及财产安全,合理判断,谨慎选购商品,商家和用户对交易行为负责。对于医疗器械类产品,请先查证核实企业经营资质和医疗器械产品注册证情况。
技术资料暂无技术资料 索取技术资料
EIF2A Antibody抗体,orb153544,biorbyt
¥4550





