相关产品推荐更多 >
万千商家帮你免费找货
0 人在求购买到急需产品
- 详细信息
- 技术资料
- 抗体名:
CSF1R Antibody抗体
- 抗体英文名:
CSF1R Antibody
- 靶点:
CSF1R
- 浓度:
Approximately 1mg/ml (varies from batch to batch). Please inquire for precise concentration.
- 应用范围:
ICC, IHC
- 宿主:
Mouse
- 适应物种:
Human
- 保质期:
6-12个月
- 抗原来源:
详询
- 目录编号:
orb153536
- 级别:
科研级
- 库存:
88
- 供应商:
biorbyt
- 标记物:
Unconjugated
- 克隆性:
Monoclonal
- 亚型:
Mouse IgG2b
- 免疫原:
Purified recombinant fragment of human CSF1R (AA: 344-497) expressed in E. Coli.
- 规格:
100 ul
产品描述:Mouse monoclonal antibody to CSF1R
别名:FMS; CSFR; FIM2; HDLS; C-FMS; CD115; CSF-1R; M-CSF-R
免疫原:Purified recombinant fragment of human CSF1R (AA: 344-497) expressed in E. Coli.
克隆性:6B9B9
分子量:108kDa
应用稀释比例:IHC: 1/200 - 1/1000; ICC: 1/200 - 1/1000; ELISA: 1/10000
防腐剂:Purified antibody in PBS with 0.05% sodium azide
保存说明:Maintain refrigerated at 2-8°C for up to 2 weeks. For long term storage store at -20°C in small aliquots to prevent freeze-thaw cycles.
Entrez:1436
UniProt ID:P07333
Note:For research use only.





别名:FMS; CSFR; FIM2; HDLS; C-FMS; CD115; CSF-1R; M-CSF-R
免疫原:Purified recombinant fragment of human CSF1R (AA: 344-497) expressed in E. Coli.
克隆性:6B9B9
分子量:108kDa
应用稀释比例:IHC: 1/200 - 1/1000; ICC: 1/200 - 1/1000; ELISA: 1/10000
防腐剂:Purified antibody in PBS with 0.05% sodium azide
保存说明:Maintain refrigerated at 2-8°C for up to 2 weeks. For long term storage store at -20°C in small aliquots to prevent freeze-thaw cycles.
Entrez:1436
UniProt ID:P07333
Note:For research use only.

Line graph illustrates about the Ag-Ab reactions using different concentrations of antigen and serial dilutions of CSF1R antibody

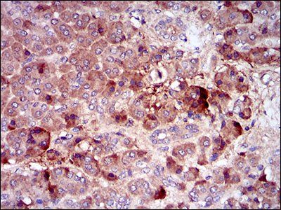
Immunohistochemical analysis of formalin-fixed and paraffin-embedded pancreas tissues using CSF1R antibody

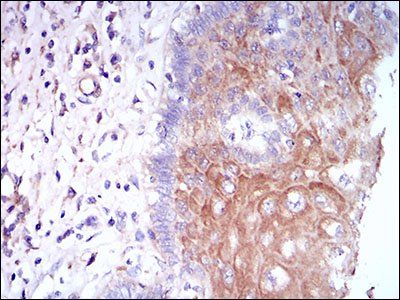
Immunohistochemical analysis of formalin-fixed and paraffin-embedded esophageal tissues using CSF1R antibody

Western blot analysis of human CSF1R using CSF1R antibody

Western blot analysis of HEK293 (Lane 1) HEK293 (Lane 2) cell lysate using CSF1R antibody
风险提示:丁香通仅作为第三方平台,为商家信息发布提供平台空间。用户咨询产品时请注意保护个人信息及财产安全,合理判断,谨慎选购商品,商家和用户对交易行为负责。对于医疗器械类产品,请先查证核实企业经营资质和医疗器械产品注册证情况。
技术资料暂无技术资料 索取技术资料
CSF1R Antibody抗体,orb153536,biorbyt
¥4550










