相关产品推荐更多 >
万千商家帮你免费找货
0 人在求购买到急需产品
- 详细信息
- 技术资料
- 抗体名:
DIS3L2 Antibody抗体
- 抗体英文名:
DIS3L2 Antibody
- 靶点:
DIS3L2
- 浓度:
Approximately 1mg/ml (varies from batch to batch). Please inquire for precise concentration.
- 应用范围:
FC, IHC, WB
- 宿主:
Mouse
- 适应物种:
Human
- 保质期:
6-12个月
- 抗原来源:
详询
- 目录编号:
orb153515
- 级别:
科研级
- 库存:
88
- 供应商:
biorbyt
- 标记物:
Unconjugated
- 克隆性:
Monoclonal
- 亚型:
Mouse IgG1
- 免疫原:
Purified recombinant fragment of human DIS3L2 (AA: 27-250) expressed in E. Coli.
- 规格:
100 ul
产品描述:Mouse monoclonal antibody to DIS3L2
别名:FAM6A; PRLMNS
免疫原:Purified recombinant fragment of human DIS3L2 (AA: 27-250) expressed in E. Coli.
克隆性:6C7B2
分子量:99.3kDa
应用稀释比例:WB: 1/500 - 1/2000; IHC: 1/200 - 1/1000; FCM: 1/200 - 1/400; ELISA: 1/10000
防腐剂:Purified antibody in PBS with 0.05% sodium azide
保存说明:Maintain refrigerated at 2-8°C for up to 2 weeks. For long term storage store at -20°C in small aliquots to prevent freeze-thaw cycles.
Entrez:129563
UniProt ID:Q8IYB7
Note:For research use only.







别名:FAM6A; PRLMNS
免疫原:Purified recombinant fragment of human DIS3L2 (AA: 27-250) expressed in E. Coli.
克隆性:6C7B2
分子量:99.3kDa
应用稀释比例:WB: 1/500 - 1/2000; IHC: 1/200 - 1/1000; FCM: 1/200 - 1/400; ELISA: 1/10000
防腐剂:Purified antibody in PBS with 0.05% sodium azide
保存说明:Maintain refrigerated at 2-8°C for up to 2 weeks. For long term storage store at -20°C in small aliquots to prevent freeze-thaw cycles.
Entrez:129563
UniProt ID:Q8IYB7
Note:For research use only.

Line graph illustrates about the Ag-Ab reactions using different concentrations of antigen and serial dilutions of DIS3L2 antibody

Flow cytometric analysis of Jurkat cells lysates using DIS3L2 antibody

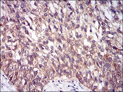
Immunohistochemical analysis of formalin-fixed and paraffin-embedded endometrial cancer tissues using DIS3L2 antibody

Immunohistochemical analysis of formalin-fixed and paraffin-embedded bladder cancer tissues using DIS3L2 antibody

Western blot analysis of human DIS3L2 using DIS3L2 antibody

Western blot analysis of HEK293 (Lane 1) HEK293 (Lane 2) cell lysate using DIS3L2 antibody

Western blot analysis of Hela (Lane 1) HepG2 (Lane 2) cell lysate using DIS3L2 antibody
风险提示:丁香通仅作为第三方平台,为商家信息发布提供平台空间。用户咨询产品时请注意保护个人信息及财产安全,合理判断,谨慎选购商品,商家和用户对交易行为负责。对于医疗器械类产品,请先查证核实企业经营资质和医疗器械产品注册证情况。
技术资料暂无技术资料 索取技术资料
DIS3L2 Antibody抗体,orb153515,biorbyt
¥4550








![ZNF259 antibody [N3C3]抗体,orb556605,biorbyt](https://img1.dxycdn.com/p/s14/2025/1204/381/8001351760443146991.jpg!wh200)

