相关产品推荐更多 >
万千商家帮你免费找货
0 人在求购买到急需产品
- 详细信息
- 技术资料
- 抗体名:
LPP Antibody抗体
- 抗体英文名:
LPP Antibody
- 靶点:
LPP
- 浓度:
Approximately 1mg/ml (varies from batch to batch). Please inquire for precise concentration.
- 应用范围:
ICC, IHC, WB
- 宿主:
Mouse
- 适应物种:
Hamster, Human, Monkey, Mouse
- 保质期:
6-12个月
- 抗原来源:
详询
- 目录编号:
orb97535
- 级别:
科研级
- 库存:
88
- 供应商:
biorbyt
- 标记物:
Unconjugated
- 克隆性:
Monoclonal
- 亚型:
Mouse IgG1
- 免疫原:
Purified recombinant fragment of human LPP expressed in E. Coli.
- 规格:
100 ul
产品描述:Mouse monoclonal antibody to LPP
别名:LPP
免疫原:Purified recombinant fragment of human LPP expressed in E. Coli.
克隆性:8B3A11
分子量:66kDa
应用稀释比例:WB: 1/500 - 1/2000; IHC: 1/200 - 1/1000; ICC: 1/200 - 1/1000; ELISA: 1/10000
防腐剂:Purified antibody in PBS with 0.05% sodium azide.
保存说明:Maintain refrigerated at 2-8°C for up to 2 weeks. For long term storage store at -20°C in small aliquots to prevent freeze-thaw cycles.
Entrez:4026
UniProt ID:Q93052
Note:For research use only.





别名:LPP
免疫原:Purified recombinant fragment of human LPP expressed in E. Coli.
克隆性:8B3A11
分子量:66kDa
应用稀释比例:WB: 1/500 - 1/2000; IHC: 1/200 - 1/1000; ICC: 1/200 - 1/1000; ELISA: 1/10000
防腐剂:Purified antibody in PBS with 0.05% sodium azide.
保存说明:Maintain refrigerated at 2-8°C for up to 2 weeks. For long term storage store at -20°C in small aliquots to prevent freeze-thaw cycles.
Entrez:4026
UniProt ID:Q93052
Note:For research use only.

Western blot analysis of Hela (Lane1), NIH/3T3 (Lane2), COS (Lane3), Caki (Lane4), MCF-7 (Lane5), HepG2 (Lane6) and SMMC-7721 (Lane7) cell lysate using LPP antibody

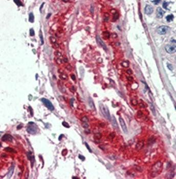
Immunohistochemical analysis of formalin fixed and paraffin-embedded human vessels tissues using LPP antibody

Confocal immunofluorescence analysis of Hela cells using LPP antibody

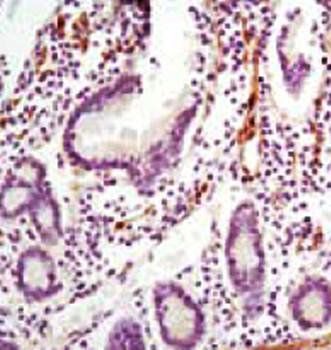
IHC-P of paraffin-embedded human small intestine using LPP antibody

Confocal immunofluorescence analysis of COS cells using LPP antibody
风险提示:丁香通仅作为第三方平台,为商家信息发布提供平台空间。用户咨询产品时请注意保护个人信息及财产安全,合理判断,谨慎选购商品,商家和用户对交易行为负责。对于医疗器械类产品,请先查证核实企业经营资质和医疗器械产品注册证情况。
技术资料暂无技术资料 索取技术资料
LPP Antibody抗体,orb97535,biorbyt
¥4550










