相关产品推荐更多 >
万千商家帮你免费找货
0 人在求购买到急需产品
- 详细信息
- 技术资料
- 抗体名:
FER Antibody抗体
- 抗体英文名:
FER Antibody
- 靶点:
FER
- 浓度:
Approximately 1mg/ml (varies from batch to batch). Please inquire for precise concentration.
- 应用范围:
ICC, IHC, WB
- 宿主:
Mouse
- 适应物种:
Human, Mouse
- 保质期:
6-12个月
- 抗原来源:
详询
- 目录编号:
orb97524
- 级别:
科研级
- 库存:
88
- 供应商:
biorbyt
- 标记物:
Unconjugated
- 克隆性:
Monoclonal
- 亚型:
Mouse IgG1
- 免疫原:
Purified recombinant fragment of human FER expressed in E. Coli.
- 规格:
100 ul
产品描述:Mouse monoclonal antibody to FER
别名:TYK3; FER
免疫原:Purified recombinant fragment of human FER expressed in E. Coli.
克隆性:5D2C4
分子量:95kDa
应用稀释比例:WB: 1/500 - 1/2000; IHC: 1/200 - 1/1000; ICC: 1/200 - 1/1000; ELISA: 1/10000
防腐剂:Ascitic fluid containing 0.03% sodium azide.
保存说明:Maintain refrigerated at 2-8°C for up to 2 weeks. For long term storage store at -20°C in small aliquots to prevent freeze-thaw cycles.
Entrez:2241
UniProt ID:P16591
Note:For research use only.



别名:TYK3; FER
免疫原:Purified recombinant fragment of human FER expressed in E. Coli.
克隆性:5D2C4
分子量:95kDa
应用稀释比例:WB: 1/500 - 1/2000; IHC: 1/200 - 1/1000; ICC: 1/200 - 1/1000; ELISA: 1/10000
防腐剂:Ascitic fluid containing 0.03% sodium azide.
保存说明:Maintain refrigerated at 2-8°C for up to 2 weeks. For long term storage store at -20°C in small aliquots to prevent freeze-thaw cycles.
Entrez:2241
UniProt ID:P16591
Note:For research use only.

Confocal immunofluorescence analysis of Hela cells using FER antibody

Western blot analysis of NIH/3T3 (Lane1), A549 (Lane2) and SK-MEL-5 (Lane3) cell lysate using FER antibody

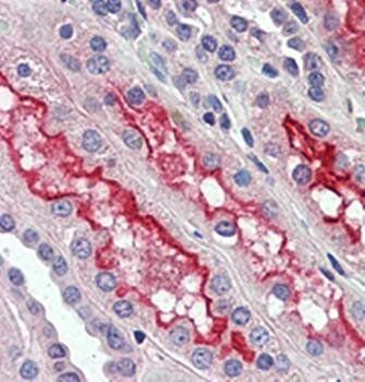
Immunohistochemical analysis of formalin fixed and paraffin-embedded human kidney tissues using FER antibody
风险提示:丁香通仅作为第三方平台,为商家信息发布提供平台空间。用户咨询产品时请注意保护个人信息及财产安全,合理判断,谨慎选购商品,商家和用户对交易行为负责。对于医疗器械类产品,请先查证核实企业经营资质和医疗器械产品注册证情况。
技术资料暂无技术资料 索取技术资料
FER Antibody抗体,orb97524,biorbyt
¥4550










