相关产品推荐更多 >
万千商家帮你免费找货
0 人在求购买到急需产品
- 详细信息
- 技术资料
- 抗体名:
BLNK Antibody抗体
- 抗体英文名:
BLNK Antibody
- 靶点:
BLNK
- 浓度:
Approximately 1mg/ml (varies from batch to batch). Please inquire for precise concentration.
- 应用范围:
FC, ICC, IHC, WB
- 宿主:
Mouse
- 适应物种:
Human, Monkey, Mouse, Rat
- 保质期:
6-12个月
- 抗原来源:
详询
- 目录编号:
orb69446
- 级别:
科研级
- 库存:
88
- 供应商:
biorbyt
- 标记物:
Unconjugated
- 克隆性:
Monoclonal
- 亚型:
Mouse IgG1
- 免疫原:
Purified recombinant fragment of human BLNK expressed in E. Coli.
- 规格:
100 ul
产品描述:Mouse monoclonal antibody to BLNK
别名:AGM4; BASH; LY57; SLP65; BLNK-S; SLP-65; MGC111051
免疫原:Purified recombinant fragment of human BLNK expressed in E. Coli.
克隆性:5G9G1
分子量:68kDa
应用稀释比例:WB: 1/500 - 1/2000; IHC: 1/200 - 1/1000; ICC: 1/200 - 1/1000; FCM: 1/200 - 1/400; ELISA: 1/10000
防腐剂:Purified antibody in PBS with 0.05% sodium azide.
保存说明:Maintain refrigerated at 2-8°C for up to 2 weeks. For long term storage store at -20°C in small aliquots to prevent freeze-thaw cycles.
Entrez:29760
UniProt ID:Q8WV28
Note:For research use only.






别名:AGM4; BASH; LY57; SLP65; BLNK-S; SLP-65; MGC111051
免疫原:Purified recombinant fragment of human BLNK expressed in E. Coli.
克隆性:5G9G1
分子量:68kDa
应用稀释比例:WB: 1/500 - 1/2000; IHC: 1/200 - 1/1000; ICC: 1/200 - 1/1000; FCM: 1/200 - 1/400; ELISA: 1/10000
防腐剂:Purified antibody in PBS with 0.05% sodium azide.
保存说明:Maintain refrigerated at 2-8°C for up to 2 weeks. For long term storage store at -20°C in small aliquots to prevent freeze-thaw cycles.
Entrez:29760
UniProt ID:Q8WV28
Note:For research use only.

Western blot analysis of NIH/3T3 (Lane1) and BCBL-1 (Lane2) cell lysate using BLNK antibody

Flow cytometric analysis of NIH/3T3 cells using BLNK antibody

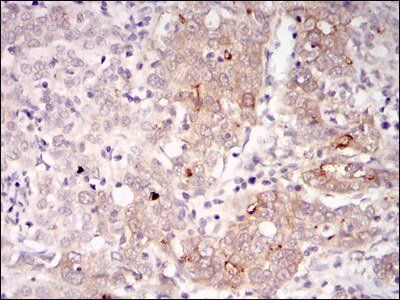
Immunohistochemical analysis of paraffin-embedded human cervical cancer tissues using BLNK antibody



风险提示:丁香通仅作为第三方平台,为商家信息发布提供平台空间。用户咨询产品时请注意保护个人信息及财产安全,合理判断,谨慎选购商品,商家和用户对交易行为负责。对于医疗器械类产品,请先查证核实企业经营资质和医疗器械产品注册证情况。
技术资料暂无技术资料 索取技术资料
BLNK Antibody抗体,orb69446,biorbyt
¥4550










