相关产品推荐更多 >
万千商家帮你免费找货
0 人在求购买到急需产品
- 详细信息
- 技术资料
- 抗体名:
PD-1 Mouse Monoclonal Antibody抗体
- 抗体英文名:
PD-1 Mouse Monoclonal Antibody
- 靶点:
PDCD1
- 浓度:
1mg/1ml
- 应用范围:
IF, IHC-Fr, IHC-P
- 宿主:
Mouse
- 适应物种:
Human
- 保质期:
6-12个月
- 抗原来源:
详询
- 目录编号:
orb2563528
- 级别:
科研级
- 库存:
88
- 供应商:
biorbyt
- 标记物:
Unconjugated
- 克隆性:
Monoclonal
- 形态:
Liquid
- 亚型:
IgG1
- 免疫原:
Recombinant human PD1
- 规格:
50 ul
产品描述:PD-1 Mouse Monoclonal Antibody
别名:Programmed cell death protein 1; CD279; CD279 antigen; hPD 1; hPD-1; hSLE1; PD 1; PD1; PDCD 1; PDCD1; PDCD1_HUMAN; Programmed cell death 1; Protein PD 1; Protein PD-1; SLEB2; Systemic lupus erythematosus susceptibility 2.
免疫原:Recombinant human PD1
克隆性:1C4
分子量:32 kDa
应用稀释比例:IHC-P=1:50-200, IHC-F=1:50-200, IF=1:50-200
防腐剂:0.01M TBS (pH7.4) with 1% rAlbumin, 0.02% Proclin300 and 50% Glycerol.
纯化:Affinity purified by Protein G
保存说明:Maintain refrigerated at 2-8°C for up to 2 weeks. For long term storage store at -20°C in small aliquots to prevent freeze-thaw cycles.
UniProt ID:Q15116
Note:For research use only.


别名:Programmed cell death protein 1; CD279; CD279 antigen; hPD 1; hPD-1; hSLE1; PD 1; PD1; PDCD 1; PDCD1; PDCD1_HUMAN; Programmed cell death 1; Protein PD 1; Protein PD-1; SLEB2; Systemic lupus erythematosus susceptibility 2.
免疫原:Recombinant human PD1
克隆性:1C4
分子量:32 kDa
应用稀释比例:IHC-P=1:50-200, IHC-F=1:50-200, IF=1:50-200
防腐剂:0.01M TBS (pH7.4) with 1% rAlbumin, 0.02% Proclin300 and 50% Glycerol.
纯化:Affinity purified by Protein G
保存说明:Maintain refrigerated at 2-8°C for up to 2 weeks. For long term storage store at -20°C in small aliquots to prevent freeze-thaw cycles.
UniProt ID:Q15116
Note:For research use only.

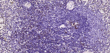
paraffin embedded Human Spleen, Antigen retrieval by boiling in sodium citrate buffer (pH6.0) for 15 min, Antibody incubation with PD-1 Monoclonal Antibody, Unconjugated (orb2563528) at 1:200 overnight at 4°C, followed by conjugation to the SP Kit (Mouse) and DAB staining.

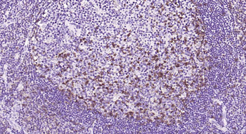
Fixative-fixed, paraffin embedded Human Tonsil, Antigen retrieval by boiling in sodium citrate buffer (pH6.0) for 15 min, Antibody incubation with PD-1 Monoclonal Antibody, Unconjugated (orb2563528) at 1:200 overnight at 4°C, followed by conjugation to the SP Kit (Mouse) and DAB staining.
风险提示:丁香通仅作为第三方平台,为商家信息发布提供平台空间。用户咨询产品时请注意保护个人信息及财产安全,合理判断,谨慎选购商品,商家和用户对交易行为负责。对于医疗器械类产品,请先查证核实企业经营资质和医疗器械产品注册证情况。
技术资料暂无技术资料 索取技术资料
PD-1 Mouse Monoclonal Antibody抗体,orb2563528,biorbyt
¥3120










